CUEDC2 Recombinant monoclonal antibody

CUEDC2 Uni-rAb® Recombinant Antibody for WB, IHC, ELISA
Cat No. 86610-2-RR

产品说明书

CloneNo. 251583E6

宿主/亚型

Rabbit / IgG

种属反应性

human

应用

WB, IHC, ELISA

C10orf66, CUE domain containing 2, CUE domain-containing protein 2, HOYS6

缓冲液配方:  PBS, Azide, Glycerol
PBS, Azide, Glycerol
PBS Only
偶联物:  Unconjugated
Unconjugated
规格价格库存


经过测试的应用

Positive WB detected inHeLa cells, HepG2 cells, Jurkat cells, HCT 116 cells, ACHN cells
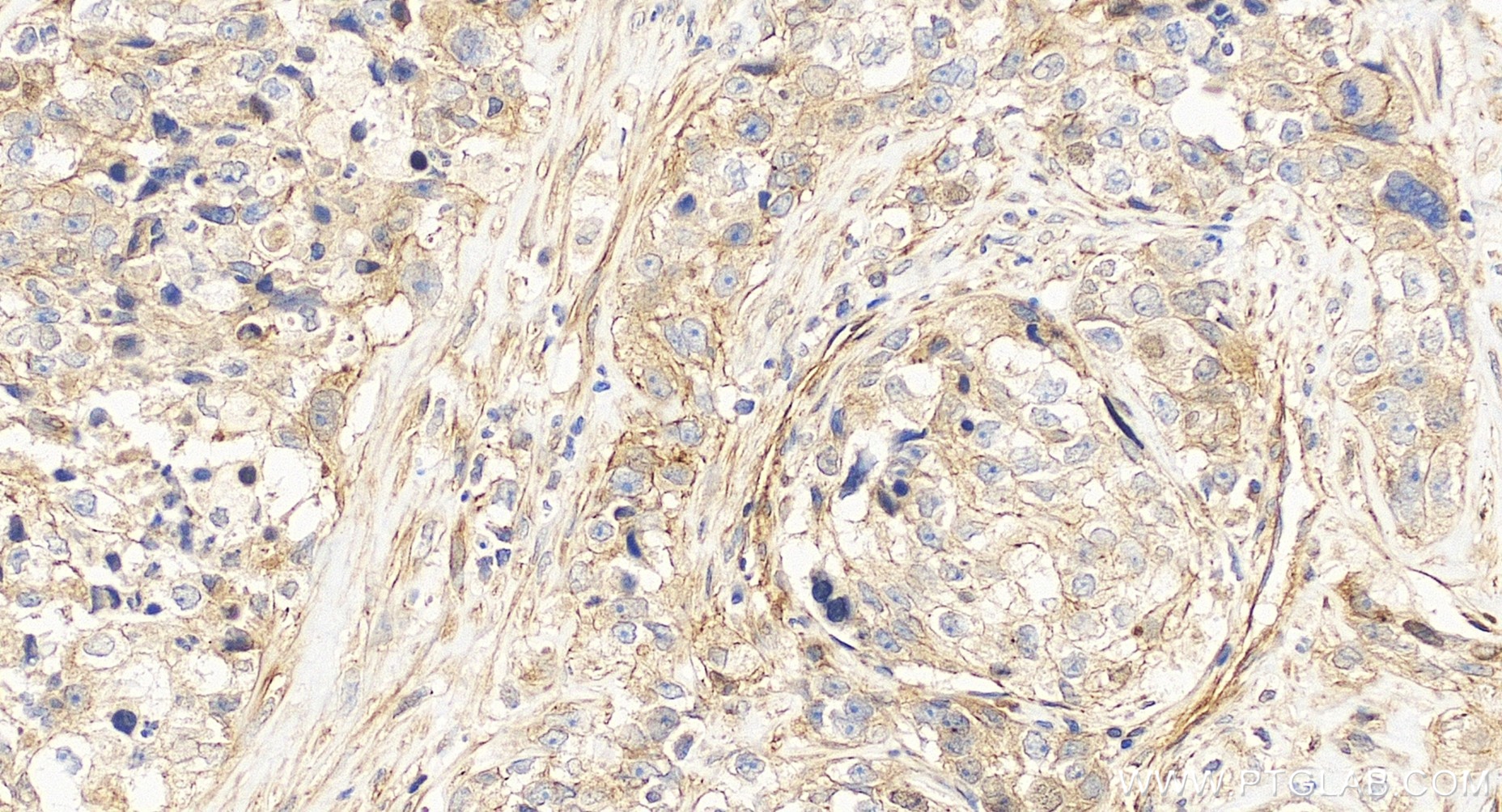
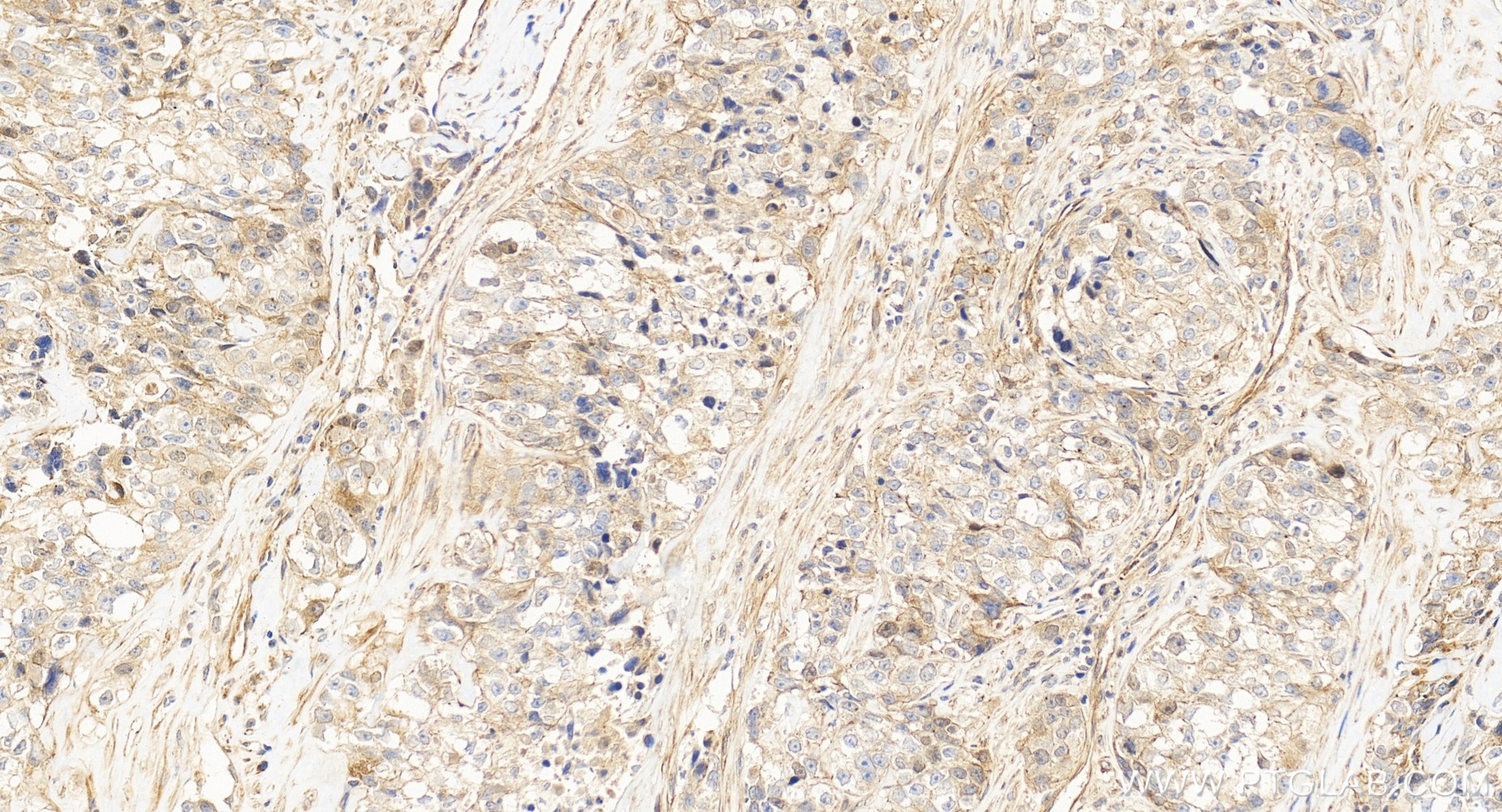
Positive IHC detected inhuman ovary cancer tissue
Note: suggested antigen retrieval with TE buffer pH 9.0; (*) Alternatively, antigen retrieval may be performed with citrate buffer pH 6.0

推荐稀释比

应用推荐稀释比
Western Blot (WB)WB : 1:1000-1:4000
Immunohistochemistry (IHC)IHC : 1:50-1:500
It is recommended that this reagent should be titrated in each testing system to obtain optimal results.
Sample-dependent, Check data in validation data gallery.

产品信息

86610-2-RR targets CUEDC2 in WB, IHC, ELISA applications and shows reactivity with human samples.

经测试应用 WB, IHC, ELISA Application Description
经测试反应性 human
免疫原

CatNo: Ag13847

Product name: Recombinant human CUEDC2 protein

Source: e coli.-derived, PGEX-4T

Tag: GST

Domain: 1-226 aa of BC000262

Sequence: MELERIVSAALLAFVQTHLPEADLSGLDEVIFSYVLGVLEDLGPSGPSEENFDMEAFTEMMEAYVPGFAHIPRGTIGDMMQKLSGQLSDARNKENLQPQSSGVQGQVPISPEPLQRPEMLKEETRSSAAAAADTQDEATGAEEELLPGVDVLLEVFPTCSVEQAQWVLAKARGDLEEAVQMLVEGKEEGPAAWEGPNQDLPRRLRGPQKDELKSFILQKYMMVDSA

种属同源性预测
宿主/亚型 Rabbit / IgG
抗体类别 Recombinant
产品类型 Antibody
全称 CUE domain containing 2
别名 C10orf66, CUE domain containing 2, CUE domain-containing protein 2, HOYS6
计算分子量 287 aa, 32 kDa
观测分子量32 kDa
GenBank蛋白编号BC000262
基因名称 CUEDC2
Gene ID (NCBI) 79004
偶联类型 Unconjugated
形式Liquid
纯化方式Protein A purification
UNIPROT IDQ9H467
储存缓冲液 PBS with 0.02% sodium azide and 50% glycerol, pH 7.3.
储存条件Store at -20°C. Stable for one year after shipment. Aliquoting is unnecessary for -20oC storage.

背景介绍

CUE domain-containing 2 (CUEDC2) is a ubiquitin-binding motif-containing protein involved in the regulation of the cell cycle, inflammation, and tumorigenesis. It is ubiquitously expressed in human tissues and organs, not only highly expressed in the normal brain, heart and testis, but also some kinds of cancers, such as breast, ovarian and kidney cancers. CUEDC2 could act as an adaptor protein to target IκB kinase (IKK) for dephosphorylation and inactivation by recruiting protein phosphatase (PP1), and thus repressed activation of the transcription factor NF-κB. Moreover, CUEDC2, is a key factor in endocrine resistance in breast cancer.

实验方案

Product Specific Protocols
IHC protocol for CUEDC2 antibody 86610-2-RRDownload protocol
WB protocol for CUEDC2 antibody 86610-2-RRDownload protocol
Standard Protocols
Click here to view our Standard Protocols
Loading...
||
New chat

Able

正在加载,请稍候...