验证数据展示
经过测试的应用
| Positive WB detected in | HeLa cells, mouse heart tissue |
| Positive IP detected in | HeLa cells |
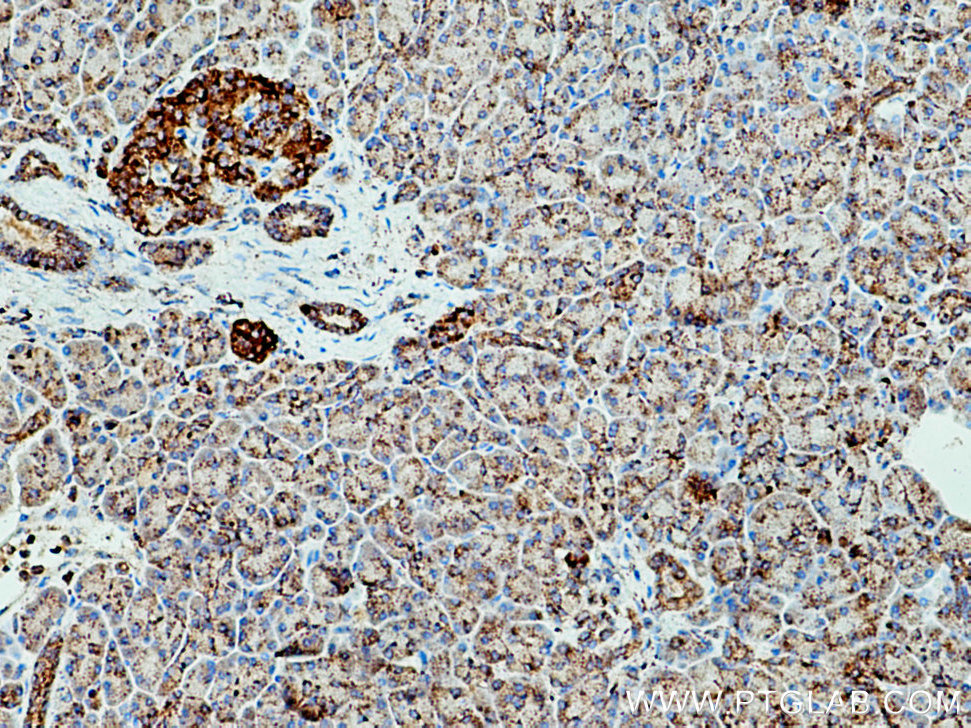
| Positive IHC detected in | human pancreas tissue Note: suggested antigen retrieval with TE buffer pH 9.0; (*) Alternatively, antigen retrieval may be performed with citrate buffer pH 6.0 |
推荐稀释比
| 应用 | 推荐稀释比 |
|---|---|
| Western Blot (WB) | WB : 1:500-1:3000 |
| Immunoprecipitation (IP) | IP : 0.5-4.0 ug for 1.0-3.0 mg of total protein lysate |
| Immunohistochemistry (IHC) | IHC : 1:50-1:500 |
| It is recommended that this reagent should be titrated in each testing system to obtain optimal results. | |
| Sample-dependent, Check data in validation data gallery. | |
发表文章中的应用
| WB | See 4 publications below |
| IF | See 1 publications below |
产品信息
16578-1-AP targets CTSZ in WB, IHC, IF, IP, ELISA applications and shows reactivity with human, mouse, rat samples.
| 经测试应用 | WB, IP, IHC, ELISA Application Description |
| 文献引用应用 | WB, IF |
| 经测试反应性 | human, mouse, rat |
| 文献引用反应性 | human, mouse |
| 免疫原 |
CatNo: Ag9865 Product name: Recombinant human CTSZ protein Source: e coli.-derived, PGEX-4T Tag: GST Domain: 1-303 aa of BC042168 Sequence: MARRGPGWRPLLLLVLLAGAAQGGLYFRRGQTCYRPLRGDGLAPLGRSTYPRPHEYLSPADLPKSWDWRNVDGVNYASITRNQHIPQYCGSCWAHASTSAMADRINIKRKGAWPSTLLSVQNVIDCGNAGSCEGGNDLSVWDYAHQHGIPDETCNNYQAKDQECDKFNQCGTCNEFKECHAIRNYTLWRVGDYGSLSGREKMMAEIYANGPISCGIMATERLANYTGGIYAEYQDTTYINHVVSVAGWGISDGTEYWIVRNSWGEPWGERGWLRIVTSTYKDGKGARYNLAIEEHCTFGDPIV 种属同源性预测 |
| 宿主/亚型 | Rabbit / IgG |
| 抗体类别 | Polyclonal |
| 产品类型 | Antibody |
| 全称 | cathepsin Z |
| 别名 | Cathepsin P, Cathepsin X, cathepsin Z, CTSX, CTSZ |
| 计算分子量 | 303 aa, 34 kDa |
| 观测分子量 | 34-37 kDa |
| GenBank蛋白编号 | BC042168 |
| 基因名称 | CTSZ |
| Gene ID (NCBI) | 1522 |
| RRID | AB_2878282 |
| 偶联类型 | Unconjugated |
| 形式 | Liquid |
| 纯化方式 | Antigen affinity purification |
| UNIPROT ID | Q9UBR2 |
| 储存缓冲液 | PBS with 0.02% sodium azide and 50% glycerol, pH 7.3. |
| 储存条件 | Store at -20°C. Stable for one year after shipment. Aliquoting is unnecessary for -20oC storage. |
实验方案
| Product Specific Protocols | |
|---|---|
| IHC protocol for CTSZ antibody 16578-1-AP | Download protocol |
| IP protocol for CTSZ antibody 16578-1-AP | Download protocol |
| WB protocol for CTSZ antibody 16578-1-AP | Download protocol |
| Standard Protocols | |
|---|---|
| Click here to view our Standard Protocols |
发表文章
| Species | Application | Title |
|---|---|---|
Anal Chem Ionic Liquid-Based Extraction System for In-Depth Analysis of Membrane Protein Complexes. | ||
Alzheimers Dement Urolithin A improves Alzheimer's disease cognition and restores mitophagy and lysosomal functions | ||
Front Immunol Prognostic and immunological implications of cathepsin Z overexpression in prostate cancer | ||




