验证数据展示
经过测试的应用
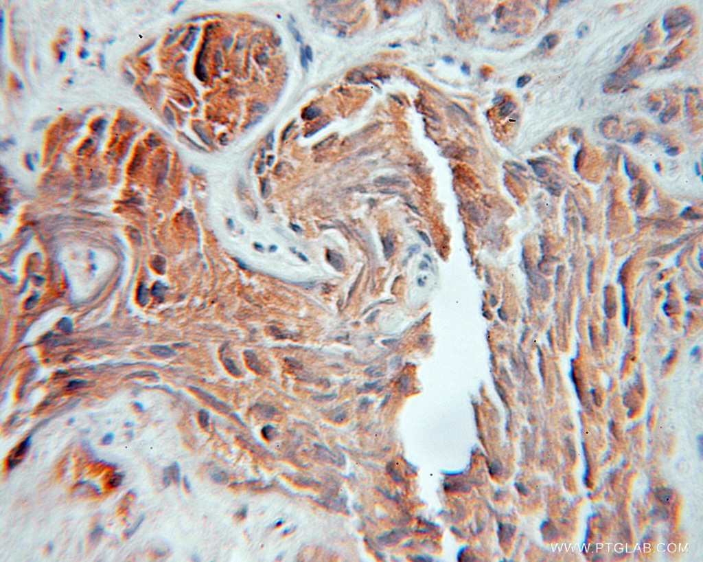
| Positive IHC detected in | human prostate cancer tissue, human heart tissue, human stomach cancer tissue, mouse heart tissue, mouse liver tissue Note: suggested antigen retrieval with TE buffer pH 9.0; (*) Alternatively, antigen retrieval may be performed with citrate buffer pH 6.0 |
推荐稀释比
| 应用 | 推荐稀释比 |
|---|---|
| Immunohistochemistry (IHC) | IHC : 1:20-1:200 |
| It is recommended that this reagent should be titrated in each testing system to obtain optimal results. | |
| Sample-dependent, Check data in validation data gallery. | |
发表文章中的应用
| KD/KO | See 3 publications below |
| WB | See 2 publications below |
| IHC | See 3 publications below |
产品信息
11055-1-AP targets Cathepsin F in WB, IHC, ELISA applications and shows reactivity with human, mouse, rat samples.
| 经测试应用 | IHC, ELISA Application Description |
| 文献引用应用 | WB, IHC |
| 经测试反应性 | human, mouse, rat |
| 文献引用反应性 | human, rat |
| 免疫原 |
CatNo: Ag1521 Product name: Recombinant human CTSF protein Source: e coli.-derived, PGEX-4T Tag: GST Domain: 136-484 aa of BC011682 Sequence: EPKSAFTQGSAMISSLSQNHPDNRNETFSSVISLLNEDPLSQDLPVKMASIFKNFVITYNRTYESKEEARWRLSVFVNNMVRAQKIQALDRGTAQYGVTKFSDLTEEEFRTIYLNTLLRKEPGNKMKQAKSVGDLAPPEWDWRSKGAVTKVKDQGMCGSCWAFSVTGNVEGQWFLNQGTLLSLSEQELLDCDKMDKACMGGLPSNAYSAIKNLGGLETEDDYSYQGHMQSCNFSAEKAKVYINDSVELSQNEQKLAAWLAKRGPISVAINAFGMQFYRHGISRPLRPLCSPWLIDHAVLLVGYGNRSDVPFWAIKNSWGTDWGEKGYYYLHRGSGACGVNTMASSAVVD 种属同源性预测 |
| 宿主/亚型 | Rabbit / IgG |
| 抗体类别 | Polyclonal |
| 产品类型 | Antibody |
| 全称 | cathepsin F |
| 别名 | Cathepsin F, CATSF, CTSF |
| 计算分子量 | 53 kDa and 34 kDa |
| GenBank蛋白编号 | BC011682 |
| 基因名称 | Cathepsin F |
| Gene ID (NCBI) | 8722 |
| RRID | AB_2292434 |
| 偶联类型 | Unconjugated |
| 形式 | Liquid |
| 纯化方式 | Antigen affinity purification |
| UNIPROT ID | Q9UBX1 |
| 储存缓冲液 | PBS with 0.02% sodium azide and 50% glycerol, pH 7.3. |
| 储存条件 | Store at -20°C. Stable for one year after shipment. Aliquoting is unnecessary for -20oC storage. |
背景介绍
CTSF(Cathepsin F) is a member of the papain family of cysteine proteases. These enzymes represent a major component of the lysosomal proteolytic system. They are synthesized as inactive precursors consisting of a signal sequence, a propeptide, and a catalytically active mature region. Cathepsins are routed to the endosomal/lysosomal compartment via the mannose 6-phosphate receptor pathway. The deduced 484-amino acid cathepsin F protein has a signal sequence and potential glycosylation sites.
实验方案
| Product Specific Protocols | |
|---|---|
| IHC protocol for Cathepsin F antibody 11055-1-AP | Download protocol |
| Standard Protocols | |
|---|---|
| Click here to view our Standard Protocols |
发表文章
| Species | Application | Title |
|---|---|---|
Stem Cell Res Ther Adipose-derived stem cells alleviate radiation-induced dermatitis by suppressing apoptosis and downregulating cathepsin F expression.
| ||
Brain Res Bull Adenovirus-driven overexpression of proteinases in organ-cultured normal human corneas leads to diabetic-like changes. | ||
Proc Natl Acad Sci U S A A small-molecule drug inhibits autophagy gene expression through the central regulator TFEB | ||
Oncol Res Cathepsin F Knockdown Induces Proliferation and Inhibits Apoptosis in Gastric Cancer Cells
| ||
iScience Identifying CTSF and GSTM3 as chemoresistance therapeutic targets in breast cancer through multi-omics MR analysis.
|








