验证数据展示
经过测试的应用
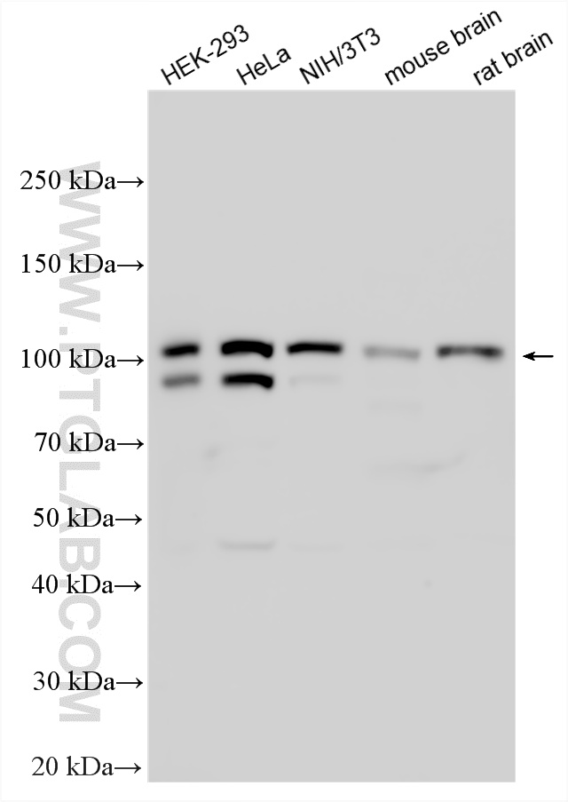
| Positive WB detected in | HEK-293 cells, HeLa cells, human brain tissue, mouse brain tissue, NIH/3T3 cells, RAW264.7, rat brain tissue |
| Positive IP detected in | mouse brain tissue |
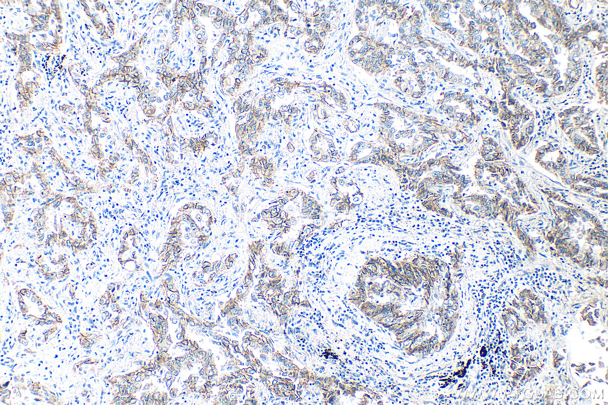
| Positive IHC detected in | human lung cancer tissue, human breast cancer tissue, human colon cancer tissue Note: suggested antigen retrieval with TE buffer pH 9.0; (*) Alternatively, antigen retrieval may be performed with citrate buffer pH 6.0 |
| Positive IF/ICC detected in | HepG2 cells |
推荐稀释比
| 应用 | 推荐稀释比 |
|---|---|
| Western Blot (WB) | WB : 1:1000-1:6000 |
| Immunoprecipitation (IP) | IP : 0.5-4.0 ug for 1.0-3.0 mg of total protein lysate |
| Immunohistochemistry (IHC) | IHC : 1:200-1:800 |
| Immunofluorescence (IF)/ICC | IF/ICC : 1:10-1:100 |
| It is recommended that this reagent should be titrated in each testing system to obtain optimal results. | |
| Sample-dependent, Check data in validation data gallery. | |
产品信息
12180-1-AP targets p120 Catenin in WB, IHC, IF/ICC, IP, CoIP, ELISA applications and shows reactivity with human, mouse, rat samples.
| 经测试应用 | WB, IHC, IF/ICC, IP, ELISA Application Description |
| 文献引用应用 | WB, IHC, IF, IP, CoIP |
| 经测试反应性 | human, mouse, rat |
| 文献引用反应性 | human, mouse, rat, canine |
| 免疫原 |
CatNo: Ag2824 Product name: Recombinant human CTNND1 protein Source: e coli.-derived, PGEX-4T Tag: GST Domain: 546-830 aa of BC010501 Sequence: GYELLFQPEVVRIYISLLKESKTPAILEASAGAIQNLCAGRWTYGRYIRSALRQEKALSAIADLLTNEHERVVKAASGALRNLAVDARNKELIGKHAIPNLVKNLPGGQQNSSWNFSEDTVISILNTINEVIAENLEAAKKLRETQGIEKLVLINKSGNRSEKEVRAAALVLQTIWGYKELRKPLEKEGWKKSDFQVNLNNASRSQSSHSYDDSTLPLIDRNQKSDKKPDREEIQMSNMGSNTKSLDNNYSTPNERGDHNKTLDRSGDLGDMEPLKGTTPLMQKI 种属同源性预测 |
| 宿主/亚型 | Rabbit / IgG |
| 抗体类别 | Polyclonal |
| 产品类型 | Antibody |
| 全称 | catenin (cadherin-associated protein), delta 1 |
| 别名 | CTNND1, Cadherin-associated Src substrate, CAS, Catenin delta 1, Catenin delta-1 |
| 计算分子量 | 948 aa, 105 kDa |
| 观测分子量 | 90-120 kDa |
| GenBank蛋白编号 | BC010501 |
| 基因名称 | p120 Catenin |
| Gene ID (NCBI) | 1500 |
| RRID | AB_2086267 |
| 偶联类型 | Unconjugated |
| 形式 | Liquid |
| 纯化方式 | Antigen affinity purification |
| UNIPROT ID | O60716 |
| 储存缓冲液 | PBS with 0.02% sodium azide and 50% glycerol, pH 7.3. |
| 储存条件 | Store at -20°C. Stable for one year after shipment. Aliquoting is unnecessary for -20oC storage. |
背景介绍
Catenins were discovered as proteins that are linked to the cytoplasmic domain of transmembrane cadherins (PMID: 9653641). p120 catenin, also called p120 ctn or catenin delta-1, regulates cell-cell adhesion through its interaction with the cytoplasmic tail of classical and type II cadherins. p120 catenin is a tyrosine kinase substrate implicated in cell transformation by SRC, as well as in ligand-induced receptor signaling through the EGF receptor, the PDGF receptor, and the CSF1 receptor. Different expression patterns of p120 catenin in lobular and ductal carcinomas of breast have been reported: membrane stain for ductal carcinoma and cytoplasmic stain for lobular carcinoma (PMID: 24966968). Different isoforms of p120 catenin are variably expressed in different tissues as a result of alternative splicing and the use of multiple translation initiation codons (PMID: 19150613).
实验方案
| Product Specific Protocols | |
|---|---|
| IF protocol for p120 Catenin antibody 12180-1-AP | Download protocol |
| IHC protocol for p120 Catenin antibody 12180-1-AP | Download protocol |
| IP protocol for p120 Catenin antibody 12180-1-AP | Download protocol |
| WB protocol for p120 Catenin antibody 12180-1-AP | Download protocol |
| Standard Protocols | |
|---|---|
| Click here to view our Standard Protocols |
发表文章
| Species | Application | Title |
|---|---|---|
Nat Hum Behav Genome-wide meta-analysis, functional genomics and integrative analyses implicate new risk genes and therapeutic targets for anxiety disorders | ||
EMBO Mol Med Inhibition of Sema4D/PlexinB1 signaling alleviates vascular dysfunction in diabetic retinopathy. | ||
Ecotoxicol Environ Saf A phosphoproteomic study uncovers the importance of PP2A-B56α in liver injury precipitated by NLRP3 activation during MC-LR exposure | ||
EBioMedicine NDRG2 regulates adherens junction integrity to restrict colitis and tumourigenesis. | ||
CNS Neurosci Ther The Neuroprotective Mechanisms of PPAR-γ: Inhibition of Microglia-Mediated Neuroinflammation and Oxidative Stress in a Neonatal Mouse Model of Hypoxic-Ischemic White Matter Injury | ||
Cell Cycle Hsa-miR-425-5p promotes tumor growth and metastasis by activating the CTNND1-mediated β-catenin pathway and EMT in colorectal cancer. |













