验证数据展示
经过测试的应用
| Positive WB detected in | HEK-293 cells, HeLa cells, HepG2 cells, mouse heart tissue, mouse kidney tissue, rat heart tissue, MDCK cells, pig kidney tissue, pig liver tissue, mouse liver tissue, rat liver tissue, rat kidney tissue |
| Positive IP detected in | mouse liver tissue |
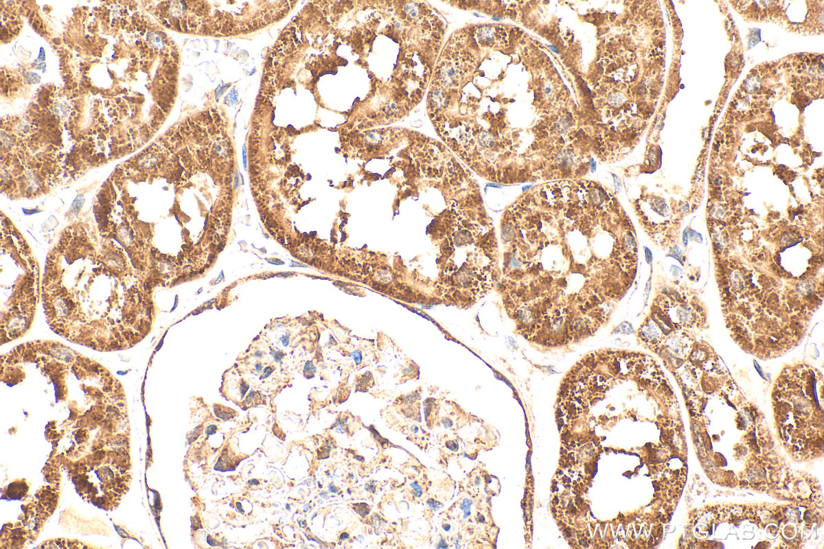
| Positive IHC detected in | human liver cancer tissue, human breast cancer tissue, human kidney tissue Note: suggested antigen retrieval with TE buffer pH 9.0; (*) Alternatively, antigen retrieval may be performed with citrate buffer pH 6.0 |
| Positive IF-P detected in | human liver cancer tissue |
| Positive IF/ICC detected in | HepG2 cells |
| Positive FC (Intra) detected in | MCF-7 cells |
推荐稀释比
| 应用 | 推荐稀释比 |
|---|---|
| Western Blot (WB) | WB : 1:5000-1:20000 |
| Immunoprecipitation (IP) | IP : 0.5-4.0 ug for 1.0-3.0 mg of total protein lysate |
| Immunohistochemistry (IHC) | IHC : 1:100-1:500 |
| Immunofluorescence (IF)-P | IF-P : 1:200-1:800 |
| Immunofluorescence (IF)/ICC | IF/ICC : 1:200-1:800 |
| Flow Cytometry (FC) (INTRA) | FC (INTRA) : 0.80 ug per 10^6 cells in a 100 µl suspension |
| It is recommended that this reagent should be titrated in each testing system to obtain optimal results. | |
| Sample-dependent, Check data in validation data gallery. | |
产品信息
12217-1-AP targets Gamma Cystathionase in WB, IHC, IF/ICC, IF-P, FC (Intra), IP, CoIP, ELISA applications and shows reactivity with human, mouse, rat, pig, canine samples.
| 经测试应用 | WB, IHC, IF/ICC, IF-P, FC (Intra), IP, ELISA Application Description |
| 文献引用应用 | WB, IHC, IF, IP, CoIP |
| 经测试反应性 | human, mouse, rat, pig, canine |
| 文献引用反应性 | human, mouse, rat, pig, rabbit, canine |
| 免疫原 |
CatNo: Ag2872 Product name: Recombinant human CSE protein Source: e coli.-derived, PGEX-4T Tag: GST Domain: 74-406 aa of BC015807 Sequence: AVAALDGAKYCLAFASGLAATVTITHLLKAGDQIICMDDVYGGTNRYFRQVASEFGLKISFVDCSKIKLLEAAITPETKLVWIETPTNPTQKVIDIEGCAHIVHKHGDIILVVDNTFMSPYFQRPLALGADISMYSATKYMNGHSDVVMGLVSVNCESLHNRLRFLQNSLGAVPSPIDCYLCNRGLKTLHVRMEKHFKNGMAVAQFLESNPWVEKVIYPGLPSHPQHELVKRQCTGCTGMVTFYIKGTLQHAEIFLKNLKLFTLAESLGGFESLAELPAIMTHASVLKNDRDVLGISDTLIRLSVGLEDEEDLLEDLDQALKAAHPPSGSHS 种属同源性预测 |
| 宿主/亚型 | Rabbit / IgG |
| 抗体类别 | Polyclonal |
| 产品类型 | Antibody |
| 全称 | cystathionase (cystathionine gamma-lyase) |
| 别名 | CSE, CGL, CTH, Cystathionine gamma-lyase, EC:4.4.1.1 |
| 计算分子量 | 405 aa, 45 kDa |
| 观测分子量 | 40-45 kDa |
| GenBank蛋白编号 | BC015807 |
| 基因名称 | Gamma Cystathionase |
| Gene ID (NCBI) | 1491 |
| RRID | AB_2087497 |
| 偶联类型 | Unconjugated |
| 形式 | Liquid |
| 纯化方式 | Antigen affinity purification |
| UNIPROT ID | P32929 |
| 储存缓冲液 | PBS with 0.02% sodium azide and 50% glycerol, pH 7.3. |
| 储存条件 | Store at -20°C. Stable for one year after shipment. Aliquoting is unnecessary for -20oC storage. |
背景介绍
CTH, also named as Gamma-cystathionase and CSE, belongs to the transsulfuration enzymes family. It catalyzes the last step in the transsulfuration pathway from methionine to cysteine. CTH converts two cysteine molecules to lanthionine and hydrogen sulfide. CTH can also accept homocysteine as substrate. It specificity depends on the levels of the endogenous substrates. CTH is the major H2S-producing enzyme in kidney, liver, vascular smooth muscle cells and enterocytes. The endogenous production of H2S plays a significant role in the regulation of cellular functions, including cell growth, hyperpolarization of cell membranes, modulation of neuronal excitability and relaxation of smooth muscle cells. The CSE/H2S pathway is upregulated in the heart in a murine model of CVB3-induced myocarditis and that inhibition of endogenous H2S is beneficial to treatment early in the disease while administration of exogenous H2S is protective to infected myocardium during the later stage. Mutations in the gene encoding CTH can result in the autosomal recessive disease cystathioninuria; a disorder characterized by the unusual accumulation of plasma cystathionine causing increased urinary excretion. Both male and female CTH-null mice showed hypercystathioninemia and hyperhomocysteinemia, but not hypermethioninemia. CSE has also been reported to be expressed in endothelial cells and contribute to endothelium-dependent vasorelaxation. It can be detected a minor 36 kDa band probably representing a degradative intermediate except the major 43 kDa band in vitamin B6-deficient rat liver(PMID:8660672). CTH also can be detected as ~70kD in rat liver (PMID: 18974309). This antibody is a rabbit polyclonal antibody raised against residues near the C terminus of human CTH.
实验方案
| Product Specific Protocols | |
|---|---|
| FC protocol for Gamma Cystathionase antibody 12217-1-AP | Download protocol |
| IF protocol for Gamma Cystathionase antibody 12217-1-AP | Download protocol |
| IHC protocol for Gamma Cystathionase antibody 12217-1-AP | Download protocol |
| IP protocol for Gamma Cystathionase antibody 12217-1-AP | Download protocol |
| WB protocol for Gamma Cystathionase antibody 12217-1-AP | Download protocol |
| Standard Protocols | |
|---|---|
| Click here to view our Standard Protocols |
发表文章
| Species | Application | Title |
|---|---|---|
Cell Metab Transsulfuration Activity Can Support Cell Growth upon Extracellular Cysteine Limitation. | ||
Cell Metab Fibroblast Growth Factor 21 Drives Dynamics of Local and Systemic Stress Responses in Mitochondrial Myopathy with mtDNA Deletions. | ||
Cell Metab mTORC1 Regulates Mitochondrial Integrated Stress Response and Mitochondrial Myopathy Progression. | ||
Cell Metab Mitochondrial DNA Replication Defects Disturb Cellular dNTP Pools and Remodel One-Carbon Metabolism. | ||
Mol Cell mTORC1 stimulates cell growth through SAM synthesis and m6A mRNA-dependent control of protein synthesis. |

















