验证数据展示
经过测试的应用
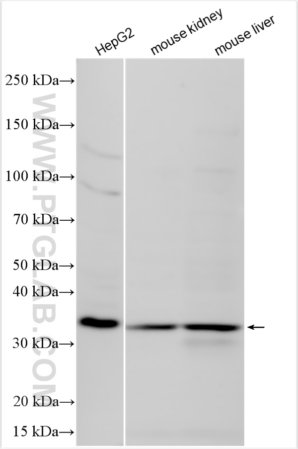
| Positive WB detected in | HepG2 cells, mouse kidney tissue, mouse liver tissue |
推荐稀释比
| 应用 | 推荐稀释比 |
|---|---|
| Western Blot (WB) | WB : 1:500-1:2000 |
| It is recommended that this reagent should be titrated in each testing system to obtain optimal results. | |
| Sample-dependent, Check data in validation data gallery. | |
发表文章中的应用
| KD/KO | See 1 publications below |
| WB | See 4 publications below |
产品信息
10952-1-AP targets CTDSP1 in WB, ELISA applications and shows reactivity with human, mouse samples.
| 经测试应用 | WB, ELISA Application Description |
| 文献引用应用 | WB |
| 经测试反应性 | human, mouse |
| 文献引用反应性 | human, mouse |
| 免疫原 |
CatNo: Ag1410 Product name: Recombinant human CTDSP1 protein Source: e coli.-derived, PGEX-4T Tag: GST Domain: 1-261 aa of BC012977 Sequence: MDSSAVITQISKEEARGPLRGKGDQKSAASQKPRSRGILHSLFCCVCRDDGEALPAHSGAPLLVEENGAIPKQTPVQYLLPEAKAQDSDKICVVIDLDETLVHSSFKPVNNADFIIPVEIDGVVHQVYVLKRPHVDEFLQRMGELFECVLFTASLAKYADPVADLLDKWGAFRARLFRESCVFHRGNYVKDLSRLGRDLRRVLILDNSPASYVFHPDNAVPVASWFDNMSDTELHDLLPFFEQLSRVDDVYSVLRQPRPGS 种属同源性预测 |
| 宿主/亚型 | Rabbit / IgG |
| 抗体类别 | Polyclonal |
| 产品类型 | Antibody |
| 全称 | CTD (carboxy-terminal domain, RNA polymerase II, polypeptide A) small phosphatase 1 |
| 别名 | NLIIF, NLI IF, NIF3, EC:3.1.3.16, CTDSP 1 |
| 计算分子量 | 29 kDa |
| 观测分子量 | 29-33 kDa |
| GenBank蛋白编号 | BC012977 |
| 基因名称 | CTDSP1 |
| Gene ID (NCBI) | 58190 |
| RRID | AB_2087073 |
| 偶联类型 | Unconjugated |
| 形式 | Liquid |
| 纯化方式 | Antigen affinity purification |
| UNIPROT ID | Q9GZU7 |
| 储存缓冲液 | PBS with 0.02% sodium azide and 50% glycerol, pH 7.3. |
| 储存条件 | Store at -20°C. Stable for one year after shipment. Aliquoting is unnecessary for -20oC storage. |
背景介绍
CTDSP1 also named as NIF3, NLIIF, or SCP1, is a 261 amino acid protein, which contains one FCP1 homology domain. CTDSP1 localizes in the nucleus and colocalizes with RNA polymerase II. CTDSP1 is expressed in non-neuronal tissues. It is highly expressed in skeletal muscle, spleen, lung and placenta. CTDSP1 preferentially catalyzes the dephosphorylation of 'Ser-5' within the tandem 7 residues repeats in the C-terminal domain (CTD) of the largest RNA polymerase II subunit POLR2.
实验方案
| Product Specific Protocols | |
|---|---|
| WB protocol for CTDSP1 antibody 10952-1-AP | Download protocol |
| Standard Protocols | |
|---|---|
| Click here to view our Standard Protocols |
发表文章
| Species | Application | Title |
|---|---|---|
J Biol Chem Phosphatase activity of Small C-terminal domain phosphatase 1 (SCP1) controls the stability of the key neuronal regulator RE1-silencing transcription factor (REST).
| ||
Iran J Basic Med Sci MiR-574-5p promotes cell proliferation by negatively regulating small C-terminal domain phosphatase 1 in esophageal squamous cell carcinoma | ||
Cell Mol Neurobiol Elabela, a Novel Peptide, Exerts Neuroprotective Effects Against Ischemic Stroke Through the APJ/miR-124-3p/CTDSP1/AKT Pathway |
