验证数据展示
经过测试的应用
| Positive WB detected in | Caco-2 cells, fetal human brain tissue, HepG2 cells, human milk, HeLa cells, U-87 MG cells, U2OS cells, human urine, human serum, mouse brain tissue |
| Positive IP detected in | Caco-2 cells |
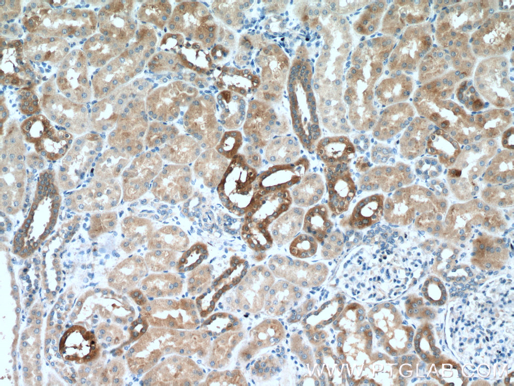
| Positive IHC detected in | mouse kidney tissue, human kidney tissue, human ovary tissue, human ovary cancer tissue Note: suggested antigen retrieval with TE buffer pH 9.0; (*) Alternatively, antigen retrieval may be performed with citrate buffer pH 6.0 |
| Positive IF-P detected in | mouse kidney tissue |
| Positive IF/ICC detected in | HeLa cells |
推荐稀释比
| 应用 | 推荐稀释比 |
|---|---|
| Western Blot (WB) | WB : 1:2000-1:16000 |
| Immunoprecipitation (IP) | IP : 0.5-4.0 ug for 1.0-3.0 mg of total protein lysate |
| Immunohistochemistry (IHC) | IHC : 1:200-1:2000 |
| Immunofluorescence (IF)-P | IF-P : 1:50-1:500 |
| Immunofluorescence (IF)/ICC | IF/ICC : 1:50-1:500 |
| It is recommended that this reagent should be titrated in each testing system to obtain optimal results. | |
| Sample-dependent, Check data in validation data gallery. | |
产品信息
12245-1-AP targets Cystatin C in WB, IHC, IF/ICC, IF-P, IP, ELISA applications and shows reactivity with human, mouse samples.
| 经测试应用 | WB, IHC, IF/ICC, IF-P, IP, ELISA Application Description |
| 文献引用应用 | WB, IHC, IF |
| 经测试反应性 | human, mouse |
| 文献引用反应性 | human, mouse, rat, pig, duck |
| 免疫原 |
CatNo: Ag2890 Product name: Recombinant human Cystatin C protein Source: e coli.-derived, PGEX-4T Tag: GST Domain: 25-146 aa of BC013083 Sequence: AGSSPGKPPRLVGGPMDASVEEEGVRRALDFAVGEYNKASNDMYHSRALQVVRARKQIVAGVNYFLDVELGRTTCTKTQPNLDNCPFHDQPHLKRKAFCSFQIYAVPWQGTMTLSKSTCQDA 种属同源性预测 |
| 宿主/亚型 | Rabbit / IgG |
| 抗体类别 | Polyclonal |
| 产品类型 | Antibody |
| 全称 | cystatin C |
| 别名 | CST3, Cystatin 3, Cystatin-3, Cystatin-C, Gamma-trace |
| 计算分子量 | 146 aa, 16 kDa |
| 观测分子量 | 13 kDa |
| GenBank蛋白编号 | BC013083 |
| 基因名称 | Cystatin C |
| Gene ID (NCBI) | 1471 |
| RRID | AB_2088058 |
| 偶联类型 | Unconjugated |
| 形式 | Liquid |
| 纯化方式 | Antigen affinity purification |
| UNIPROT ID | P01034 |
| 储存缓冲液 | PBS with 0.02% sodium azide and 50% glycerol, pH 7.3. |
| 储存条件 | Store at -20°C. Stable for one year after shipment. Aliquoting is unnecessary for -20oC storage. |
背景介绍
Cystatin C is a 13-kDa inhibitor of cysteine proteinases which is secreted by all cell types and is completely cleared from the organism through glomerular filtration, shown to be an early and sensitive biomarker of renal dysfunction. It is also used as an emerging biomarker in cardiovascular disease. Cystatin C is involved in a variety of inflammatory reactions. The concentration of serum cystatin C has also been shown to be unaltered in certain inflammatory conditions or other disorders of metabolism. The plasma level of serum cystatin C can be expressed as its level of generation from cells and diet and its subsequent elimination through the gut, liver, and kidneys.
实验方案
| Product Specific Protocols | |
|---|---|
| IF protocol for Cystatin C antibody 12245-1-AP | Download protocol |
| IHC protocol for Cystatin C antibody 12245-1-AP | Download protocol |
| IP protocol for Cystatin C antibody 12245-1-AP | Download protocol |
| WB protocol for Cystatin C antibody 12245-1-AP | Download protocol |
| Standard Protocols | |
|---|---|
| Click here to view our Standard Protocols |
发表文章
| Species | Application | Title |
|---|---|---|
Biosens Bioelectron Microneedle patches integrated with lateral flow cassettes for blood-free chronic kidney disease point-of-care testing during a pandemic. | ||
Environ Pollut Insight into the negative impact of ionic liquid: A cytotoxicity mechanism of 1-methyl-3-octylimidazolium bromide. | ||
J Hazard Mater Graphene oxide disrupted mitochondrial homeostasis through inducing intracellular redox deviation and autophagy-lysosomal network dysfunction in SH-SY5Y cells. | ||
Cell Biol Toxicol Inhibition of ER stress attenuates kidney injury and apoptosis induced by 3-MCPD via regulating mitochondrial fission/fusion and Ca2+ homeostasis. | ||
Mol Nutr Food Res Diosgenin Protects Against Kidney Injury and Mitochondrial Apoptosis Induced by 3-MCPD Through the Regulation of ER Stress, Ca2+ Homeostasis, and Bcl2 Expression. | ||
J Cell Mol Med LINC00963 targeting miR-128-3p promotes acute kidney injury process by activating JAK2/STAT1 pathway. |


















