验证数据展示
经过测试的应用
| Positive WB detected in | HEK-293 cells, HeLa cells, K-562 cells |
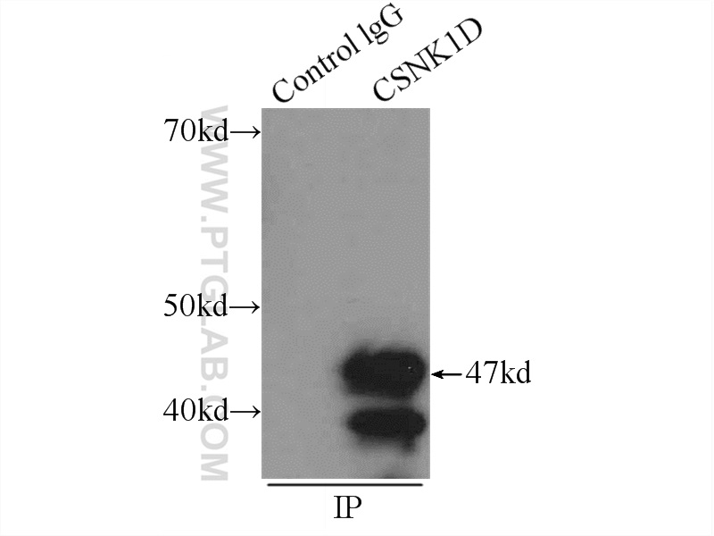
| Positive IP detected in | HeLa cells |
| Positive IHC detected in | mouse brain tissue, mouse heart tissue Note: suggested antigen retrieval with TE buffer pH 9.0; (*) Alternatively, antigen retrieval may be performed with citrate buffer pH 6.0 |
| Positive IF/ICC detected in | U-251 cells, HepG2 cells |
推荐稀释比
| 应用 | 推荐稀释比 |
|---|---|
| Western Blot (WB) | WB : 1:5000-1:50000 |
| Immunoprecipitation (IP) | IP : 0.5-4.0 ug for 1.0-3.0 mg of total protein lysate |
| Immunohistochemistry (IHC) | IHC : 1:50-1:500 |
| Immunofluorescence (IF)/ICC | IF/ICC : 1:50-1:500 |
| It is recommended that this reagent should be titrated in each testing system to obtain optimal results. | |
| Sample-dependent, Check data in validation data gallery. | |
产品信息
14388-1-AP targets Casein Kinase 1 Delta in WB, IHC, IF/ICC, IP, CoIP, ELISA applications and shows reactivity with human, mouse, rat samples.
| 经测试应用 | WB, IHC, IF/ICC, IP, ELISA Application Description |
| 文献引用应用 | WB, IHC, IF, IP, CoIP |
| 经测试反应性 | human, mouse, rat |
| 文献引用反应性 | human, mouse |
| 免疫原 |
CatNo: Ag5856 Product name: Recombinant human CSNK1D protein Source: e coli.-derived, PGEX-4T Tag: GST Domain: 103-373 aa of BC003558 Sequence: KTVLLLADQMISRIEYIHSKNFIHRDVKPDNFLMGLGKKGNLVYIIDFGLAKKYRDARTHQHIPYRENKNLTGTARYASINTHLGIEQSRRDDLESLGYVLMYFNLGSLPWQGLKAATKRQKYERISEKKMSTPIEVLCKGYPSEFATYLNFCRSLRFDDKPDYSYLRQLFRNLFHRQGFSYDYVFDWNMLKFGASRAADDAERERRDREERLRHSRNPATRGLPSTASGRLRGTQEVAPPTPLTPTSHTANTSPRPVSGMERERKVSMRL 种属同源性预测 |
| 宿主/亚型 | Rabbit / IgG |
| 抗体类别 | Polyclonal |
| 产品类型 | Antibody |
| 全称 | casein kinase 1, delta |
| 别名 | EC:2.7.11.26, EC:2.7.11.1, CSNK1D, CKI-delta, CKId |
| 计算分子量 | 47 kDa |
| 观测分子量 | 47 kDa |
| GenBank蛋白编号 | BC003558 |
| 基因名称 | CK1 Delta |
| Gene ID (NCBI) | 1453 |
| RRID | AB_2084484 |
| 偶联类型 | Unconjugated |
| 形式 | Liquid |
| 纯化方式 | Antigen affinity purification |
| UNIPROT ID | P48730 |
| 储存缓冲液 | PBS with 0.02% sodium azide and 50% glycerol, pH 7.3. |
| 储存条件 | Store at -20°C. Stable for one year after shipment. Aliquoting is unnecessary for -20oC storage. |
背景介绍
CSNK1D(casein kinase I isoform delta) is also named as HCKID, CKId and belongs to the casein kinase I subfamily. CKI is a ubiquitous enzyme which has been found in the cytosol, associated with membranes, and in the nucleus. It can phosphorylate a large number of cytosolic, membrane-associated, and nuclear proteins(PMID:8454611). CSNK1D is found to be associated generally with granulovacuolar bodies and tau-containing neurofibrillary tangles in AD, DS, PSP, PDC, PPND, and controls, and Pick bodies and ballooned neurons in PiD(PMID:10924763). It has 2 isoforms produced by alternative splicing.
实验方案
| Product Specific Protocols | |
|---|---|
| IF protocol for Casein Kinase 1 Delta antibody 14388-1-AP | Download protocol |
| IHC protocol for Casein Kinase 1 Delta antibody 14388-1-AP | Download protocol |
| IP protocol for Casein Kinase 1 Delta antibody 14388-1-AP | Download protocol |
| WB protocol for Casein Kinase 1 Delta antibody 14388-1-AP | Download protocol |
| Standard Protocols | |
|---|---|
| Click here to view our Standard Protocols |
发表文章
| Species | Application | Title |
|---|---|---|
Mol Cancer SPOP-mediated ubiquitination and degradation of PDK1 suppresses AKT kinase activity and oncogenic functions. | ||
Dev Cell Mitotic ER Exit Site Disassembly and Reassembly Are Regulated by the Phosphorylation Status of TANGO1. | ||
J Cell Biol CHMP2B regulates TDP-43 phosphorylation and cytotoxicity independent of autophagy via CK1.
| ||
Cell Chem Biol CDK2 heterobifunctional degraders co-degrade CDK2 and cyclin E resulting in efficacy in CCNE1-amplified and overexpressed cancers | ||
Oncogene β-Trcp and CK1δ-mediated degradation of LZTS2 activates PI3K/AKT signaling to drive tumorigenesis and metastasis in hepatocellular carcinoma.
| ||






