验证数据展示
经过测试的应用
| Positive WB detected in | HeLa cells, mouse brain tissue, Jurkat cells, MCF-7 cells, NIH/3T3 cells, U-87 MG cells, rat brain tissue |
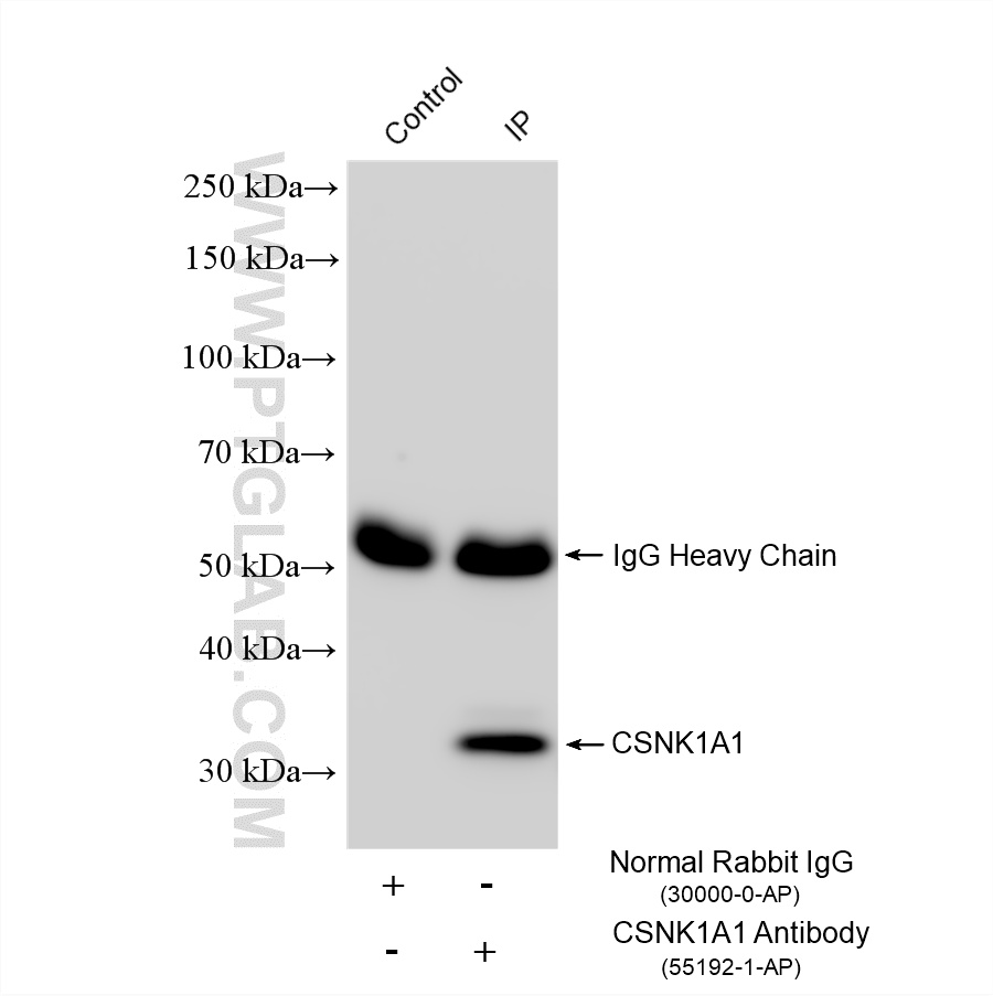
| Positive IP detected in | HeLa cells |
| Positive IHC detected in | human breast cancer tissue, human lung cancer tissue Note: suggested antigen retrieval with TE buffer pH 9.0; (*) Alternatively, antigen retrieval may be performed with citrate buffer pH 6.0 |
| Positive IF/ICC detected in | A549 cells |
推荐稀释比
| 应用 | 推荐稀释比 |
|---|---|
| Western Blot (WB) | WB : 1:1000-1:4000 |
| Immunoprecipitation (IP) | IP : 0.5-4.0 ug for 1.0-3.0 mg of total protein lysate |
| Immunohistochemistry (IHC) | IHC : 1:50-1:500 |
| Immunofluorescence (IF)/ICC | IF/ICC : 1:200-1:800 |
| It is recommended that this reagent should be titrated in each testing system to obtain optimal results. | |
| Sample-dependent, Check data in validation data gallery. | |
产品信息
55192-1-AP targets CSNK1A1 in WB, IHC, IF/ICC, IP, CoIP, RIP, ELISA applications and shows reactivity with human, mouse, rat samples.
| 经测试应用 | WB, IHC, IF/ICC, IP, ELISA Application Description |
| 文献引用应用 | WB, IHC, IF, IP, CoIP, RIP |
| 经测试反应性 | human, mouse, rat |
| 文献引用反应性 | human, mouse |
| 免疫原 |
Peptide 种属同源性预测 |
| 宿主/亚型 | Rabbit / IgG |
| 抗体类别 | Polyclonal |
| 产品类型 | Antibody |
| 全称 | casein kinase 1, alpha 1 |
| 别名 | CK1, CK1α, CKI alpha, CKI-alpha, CSNK |
| 计算分子量 | 42 kDa |
| 观测分子量 | 30-35 kDa, 42-45 kDa |
| GenBank蛋白编号 | NM_001892 |
| 基因名称 | CSNK1A1 |
| Gene ID (NCBI) | 1452 |
| RRID | AB_11183034 |
| 偶联类型 | Unconjugated |
| 形式 | Liquid |
| 纯化方式 | Antigen affinity purification |
| UNIPROT ID | P48729 |
| 储存缓冲液 | PBS with 0.02% sodium azide and 50% glycerol, pH 7.3. |
| 储存条件 | Store at -20°C. Stable for one year after shipment. Aliquoting is unnecessary for -20oC storage. |
背景介绍
CSNK1A1, also named as CK1, belongs to the protein kinase superfamily, CK1 Ser/Thr protein kinase family and Casein kinase I subfamily. Casein kinases are operationally defined by their preferential utilization of acidic proteins such as caseins as substrates. CSNK1A1 can phosphorylate a large number of proteins. It participates in Wnt signaling. CSNK1A1 phosphorylates CTNNB1 at 'Ser-45'. May play a role in segregating chromosomes during mitosis. This antibody is specific to CSNK1A1.
实验方案
| Product Specific Protocols | |
|---|---|
| IF protocol for CSNK1A1 antibody 55192-1-AP | Download protocol |
| IHC protocol for CSNK1A1 antibody 55192-1-AP | Download protocol |
| IP protocol for CSNK1A1 antibody 55192-1-AP | Download protocol |
| WB protocol for CSNK1A1 antibody 55192-1-AP | Download protocol |
| Standard Protocols | |
|---|---|
| Click here to view our Standard Protocols |
发表文章
| Species | Application | Title |
|---|---|---|
Pharmacol Res Upregulation of CSNK1A1 induced by ITGB5 confers to hepatocellular carcinoma resistance to sorafenib in vivo by disrupting the EPS15/EGFR complex
| ||
J Cell Biol CHMP2B regulates TDP-43 phosphorylation and cytotoxicity independent of autophagy via CK1. | ||
Virol Sin CK1α upregulates the IFNAR1 expression to prompt the anti-HBV effect of type I IFN in hepatoma carcinoma cells | ||
Stem Cell Res Ther Nicotinamide improves in vitro lens regeneration in a mouse capsular bag model. | ||
Int J Biol Sci Pantothenate Kinase 1 Inhibits the Progression of Hepatocellular Carcinoma by Negatively Regulating Wnt/β-catenin Signaling. | ||
Endocrinology Casein kinase 1α regulates testosterone synthesis and testis development in adult mice |









