验证数据展示
经过测试的应用
| Positive WB detected in | Raji cells, K-562 cells, HL-60 cells, Jurkat cells, rat lung tissue |
| Positive IP detected in | HL-60 cells |
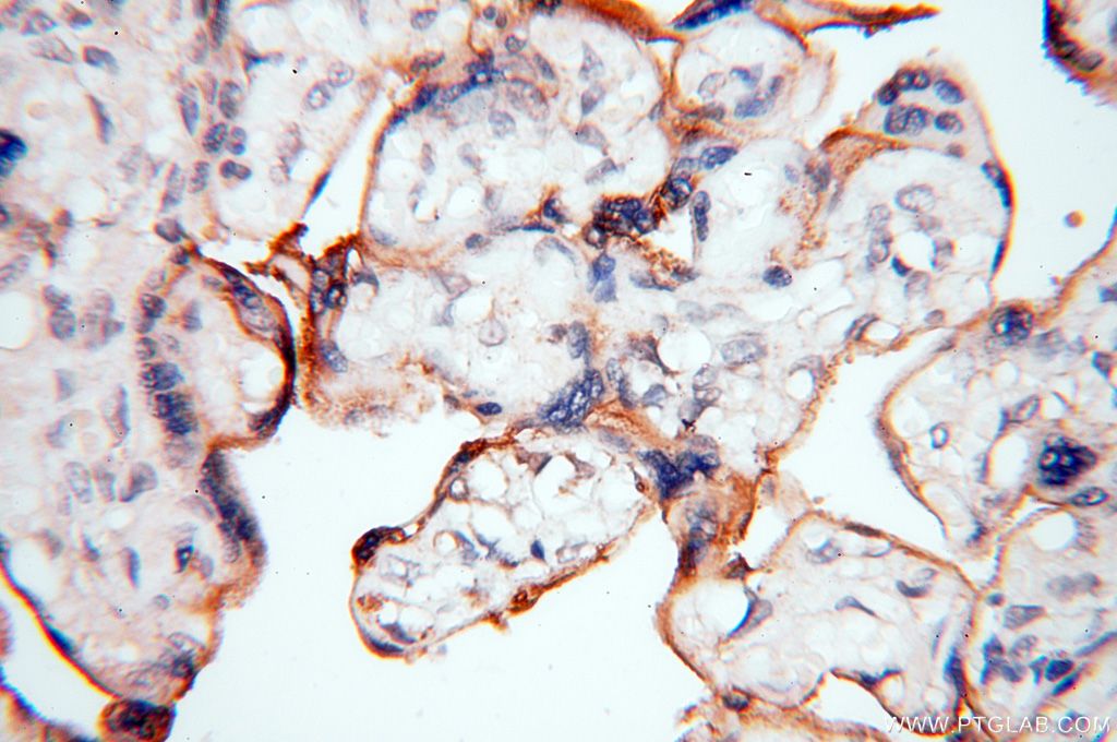
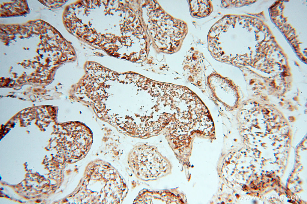
| Positive IHC detected in | human lung tissue, human skin tissue, human placenta tissue, human kidney tissue, human brain tissue, human ovary tissue, human testis tissue Note: suggested antigen retrieval with TE buffer pH 9.0; (*) Alternatively, antigen retrieval may be performed with citrate buffer pH 6.0 |
| Positive IF/ICC detected in | A431 cells |
推荐稀释比
| 应用 | 推荐稀释比 |
|---|---|
| Western Blot (WB) | WB : 1:1000-1:6000 |
| Immunoprecipitation (IP) | IP : 0.5-4.0 ug for 1.0-3.0 mg of total protein lysate |
| Immunohistochemistry (IHC) | IHC : 1:20-1:200 |
| Immunofluorescence (IF)/ICC | IF/ICC : 1:50-1:500 |
| It is recommended that this reagent should be titrated in each testing system to obtain optimal results. | |
| Sample-dependent, Check data in validation data gallery. | |
产品信息
17720-1-AP targets CSK in WB, IHC, IF/ICC, IP, ELISA applications and shows reactivity with human, rat samples.
| 经测试应用 | WB, IHC, IF/ICC, IP, ELISA Application Description |
| 文献引用应用 | WB, IHC, IF, IP |
| 经测试反应性 | human, rat |
| 文献引用反应性 | human, mouse |
| 免疫原 |
CatNo: Ag12103 Product name: Recombinant human CSK protein Source: e coli.-derived, PET28a Tag: 6*His Domain: 83-450 aa of BC106073 Sequence: FHGKITREQAERLLYPPETGLFLVRESTNYPGDYTLCVSCDGKVEHYRIMYHASKLSIDEEVYFENLMQLVEHYTSDADGLCTRLIKPKVMEGTVAAQDEFYRSGWALNMKELKLLQTIGKGEFGDVMLGDYRGNKVAVKCIKNDATAQAFLAEASVMTQLRHSNLVQLLGVIVEEKGGLYIVTEYMAKGSLVDYLRSRGRSVLGGDCLLKFSLDVCEAMEYLEGNNFVHRDLAARNVLVSEDNVAKVSDFGLTKEASSTQDTGKLPVKWTAPEALREKKFSTKSDVWSFGILLWEIYSFGRVPYPRIPLKDVVPRVEKGYKMDAPDGCPPAVYEVMKNCWHLDAAMRPSFLQLREQLEHIKTHELHL 种属同源性预测 |
| 宿主/亚型 | Rabbit / IgG |
| 抗体类别 | Polyclonal |
| 产品类型 | Antibody |
| 全称 | c-src tyrosine kinase |
| 别名 | C Src kinase, c src tyrosine kinase, CSK, Protein tyrosine kinase CYL, Tyrosine protein kinase CSK |
| 计算分子量 | 450 aa, 50 kDa |
| 观测分子量 | 50 kDa |
| GenBank蛋白编号 | BC106073 |
| 基因名称 | CSK |
| Gene ID (NCBI) | 1445 |
| RRID | AB_2084150 |
| 偶联类型 | Unconjugated |
| 形式 | Liquid |
| 纯化方式 | Antigen affinity purification |
| UNIPROT ID | P41240 |
| 储存缓冲液 | PBS with 0.02% sodium azide and 50% glycerol, pH 7.3. |
| 储存条件 | Store at -20°C. Stable for one year after shipment. Aliquoting is unnecessary for -20oC storage. |
背景介绍
CSK(Tyrosine-protein kinase CSK) is also named as C-Src kinase, protein-tyrosine kinase CYL and belongs to the protein kinase superfamily. Csk is a non-receptor tyrosine kinase with a molecular mass of 50 kDa. It contains the SH3 and SH2 domains in its N-terminus and a kinase domain in its C-terminus. It negatively regulates the kinase activity of SFKs and plays an important role in physiological functions via signaling pathways for cell proliferation, differentiation, adhesion, and migration(PMID:23548896). Csk may play a role in tumor suppression by inhibiting the oncogenic activity of SFKs. Indeed, overexpression of Csk can inhibit tumor growth of human colon cancer cells(PMID:23139636). This protein can be autophosphorylated(PMID:11181701).
实验方案
| Product Specific Protocols | |
|---|---|
| IF protocol for CSK antibody 17720-1-AP | Download protocol |
| IHC protocol for CSK antibody 17720-1-AP | Download protocol |
| IP protocol for CSK antibody 17720-1-AP | Download protocol |
| WB protocol for CSK antibody 17720-1-AP | Download protocol |
| Standard Protocols | |
|---|---|
| Click here to view our Standard Protocols |
发表文章
| Species | Application | Title |
|---|---|---|
Cell Chem Biol A strategy to assess the cellular activity of E3 ligase components against neo-substrates using electrophilic probes. | ||
J Immunol Systemic Lupus Erythematosus Immune Complexes Increase the Expression of SLAM Family Members CD319 (CRACC) and CD229 (LY-9) on Plasmacytoid Dendritic Cells and CD319 on CD56dim NK Cells. | ||
bioRxiv Crk mediates Csk-Hippo signaling independently of Yap tyrosine phosphorylation to induce cell extrusion | ||
Mol Carcinog MAZ Coordinates With HDAC1 to Promote Hepatocarcinoma Proliferation and Metastasis Through Transcriptional Repression of CSK | ||
Nat Commun PEAK1 maintains tight junctions in intestinal epithelial cells and resists colitis by inhibiting autophagy-mediated ZO-1 degradation |






















