验证数据展示
经过测试的应用
| Positive WB detected in | human placenta tissue, human colon tissue | 
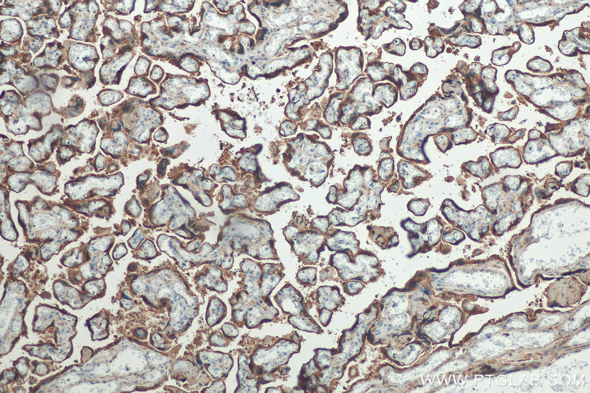
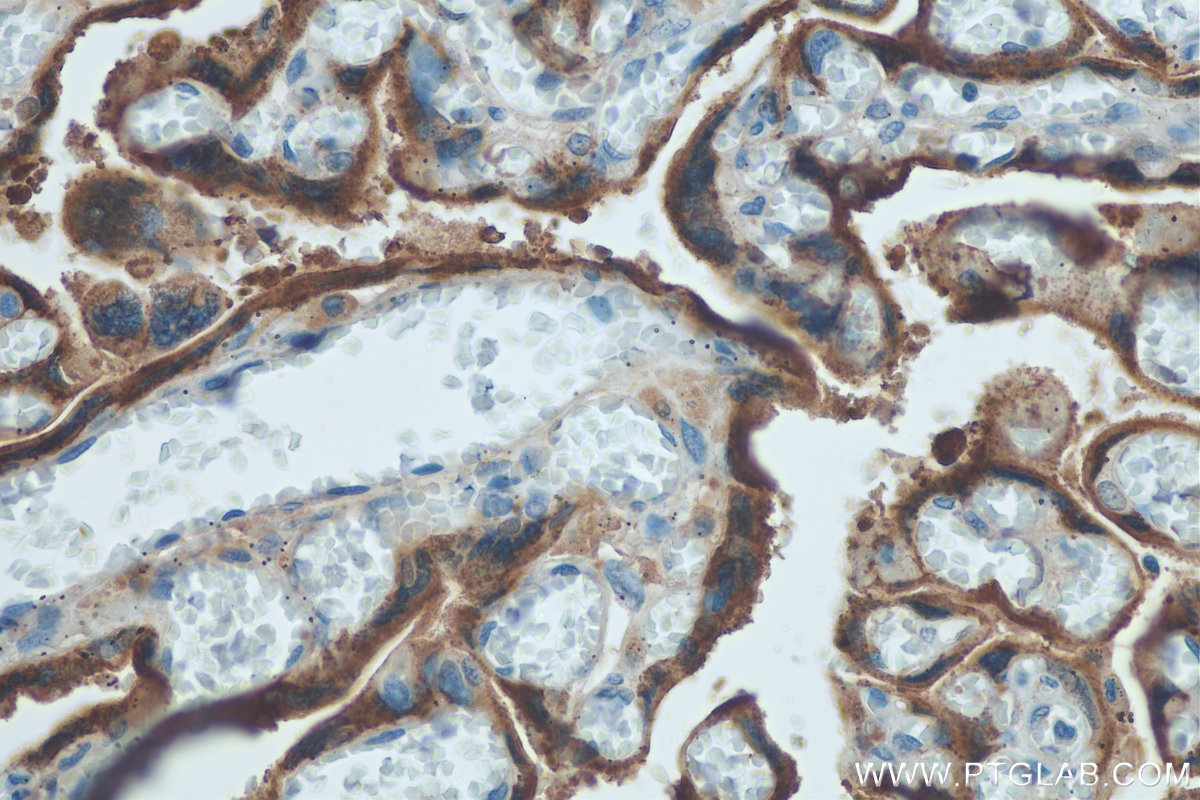
| Positive IHC detected in | human placenta tissue Note: suggested antigen retrieval with TE buffer pH 9.0; (*) Alternatively, antigen retrieval may be performed with citrate buffer pH 6.0 | 
| Positive IF-P detected in | human placenta tissue | 
推荐稀释比
| 应用 | 推荐稀释比 | 
|---|---|
| Western Blot (WB) | WB : 1:1000-1:8000 | 
| Immunohistochemistry (IHC) | IHC : 1:50-1:500 | 
| Immunofluorescence (IF)-P | IF-P : 1:50-1:500 | 
| It is recommended that this reagent should be titrated in each testing system to obtain optimal results. | |
| Sample-dependent, Check data in validation data gallery. | |
发表文章中的应用
| IHC | See 1 publications below | 
产品信息
16326-1-AP targets Placental lactogen in WB, IHC, IF-P, ELISA applications and shows reactivity with human samples.
| 经测试应用 | WB, IHC, IF-P, ELISA Application Description | 
| 文献引用应用 | IHC | 
| 经测试反应性 | human | 
| 免疫原 | CatNo: Ag9412 Product name: Recombinant human CSH2 protein Source: e coli.-derived, PGEX-4T Tag: GST Domain: 1-217 aa of BC022044 Sequence: MAAGSRTSLLLAFALLCLPWLQEAGAVQTVPLSRLFDHAMLQAHRAHQLAIDTYQEFEETYIPKDQKYSFLHDSQTSFCFSDSIPTPSNMEETQQKSNLELLRISLLLIESWLEPVRFLRSMFANNLVYDTSDSDDYHLLKDLEEGIQTLMGRLEDGSRRTGQILKQTYSKFDTNSHNHDALLKNYGLLYCFRKDMDKVETFLRMVQCRSVEGSCGF种属同源性预测 | 
| 宿主/亚型 | Rabbit / IgG | 
| 抗体类别 | Polyclonal | 
| 产品类型 | Antibody | 
| 全称 | chorionic somatomammotropin hormone 2 | 
| 别名 | CSH2, Choriomammotropin, CS 2, CSB, CSH1 | 
| 计算分子量 | 217 aa, 25 kDa | 
| 观测分子量 | 20-25 kDa | 
| GenBank蛋白编号 | BC022044 | 
| 基因名称 | CSH2 | 
| Gene ID (NCBI) | 1443 | 
| RRID | AB_2083883 | 
| 偶联类型 | Unconjugated | 
| 形式 | Liquid | 
| 纯化方式 | Antigen affinity purification | 
| UNIPROT ID | P01243 | 
| 储存缓冲液 | PBS with 0.02% sodium azide and 50% glycerol, pH 7.3. | 
| 储存条件 | Store at -20°C. Stable for one year after shipment. Aliquoting is unnecessary for -20oC storage. | 
背景介绍
The human growth hormone (GH) locus is comprised by two GH (GH1 and GH2) genes and three chorionic somatomammotropin (CSH1, CSH2 and CSH-L) genes. Placental lactogens (CSH1, CSH2) are produced in the mammalian placenta and are similar in structure and function to growth hormones. Together, placental lactogens and growth factors play an essential role to assure successful lactation after pregnancy. Placental lactogens also modify the metabolic state of the mother during pregnancy to supply energy to the fetus.
实验方案
| Product Specific Protocols | |
|---|---|
| IF protocol for Placental lactogen antibody 16326-1-AP | Download protocol | 
| IHC protocol for Placental lactogen antibody 16326-1-AP | Download protocol | 
| WB protocol for Placental lactogen antibody 16326-1-AP | Download protocol | 
| Standard Protocols | |
|---|---|
| Click here to view our Standard Protocols | 









