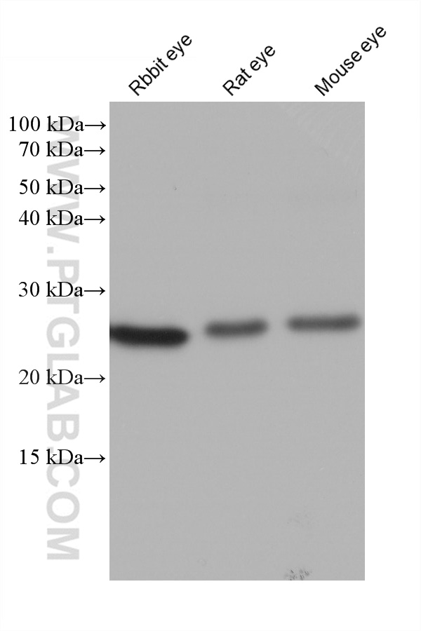
Recombinant human CRYBB2 protein
Source
e coli.-derived, PGEX-4T
Tag
GST
Format
Liquid
Species
human
Cat no : Ag12906
Synonyms
CRYBB2, Beta-B2 crystallin, Beta-crystallin B2, Beta-crystallin Bp, CCA2
Validation Data Gallery View All
Product Information
| Peptide Sequence |
MASDHQTQAGKPQSLNPKIIIFEQENFQGHSHELNGPCPNLKETGVEKAGSVLVQAGPWVGYEQANCKGEQFVFEKGEYPRWDSWTSSRRTDSLSSLRPIKVDSQEHKIILYENPNFTGKKMEIIDDDVPSFHAHGYQEKVSSVRVQSGTWVGYQYPGYRGLQYLLEKGDYKDSSDFGAPHPQVQSVRRIRDMQWHQRGAFHPSN
(1-205 aa encoded by BC069535) |
| Activity | Not tested. |
| Endotoxin Level |
Please contact the lab for more information.
Note:Remove endotoxin and sterilization is required for cell assay. |
