验证数据展示
经过测试的应用
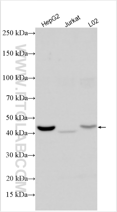
| Positive WB detected in | HepG2 cells, Jurkat cells, L02 cells |
推荐稀释比
| 应用 | 推荐稀释比 |
|---|---|
| Western Blot (WB) | WB : 1:500-1:2000 |
| It is recommended that this reagent should be titrated in each testing system to obtain optimal results. | |
| Sample-dependent, Check data in validation data gallery. | |
产品信息
28365-1-AP targets CRLF2 in WB, ELISA applications and shows reactivity with human samples.
| 经测试应用 | WB, ELISA Application Description |
| 经测试反应性 | human |
| 免疫原 |
CatNo: Ag26842 Product name: Recombinant human CRLF2 protein Source: e coli.-derived, PGEX-4T Tag: GST Domain: 24-123 aa of NM_001012288 Sequence: MGGAAEGVQIQIIYFNLETVQVTWNASKYSRTNLTFHYRFNGDEAYDQCTNYLLQEGHTSGCLLDAEQRDDILYFSIRNGTHPVFTASRWMVYYLKPSSPK 种属同源性预测 |
| 宿主/亚型 | Rabbit / IgG |
| 抗体类别 | Polyclonal |
| 产品类型 | Antibody |
| 全称 | cytokine receptor-like factor 2 |
| 别名 | CRL2, CRLF2Y, IL XR, ILXR, TSLP receptor |
| 计算分子量 | 42 kDa |
| 观测分子量 | 42 kDa |
| GenBank蛋白编号 | NM_001012288 |
| 基因名称 | CRLF2 |
| Gene ID (NCBI) | 64109 |
| 偶联类型 | Unconjugated |
| 形式 | Liquid |
| 纯化方式 | Antigen affinity purification |
| UNIPROT ID | Q9HC73 |
| 储存缓冲液 | PBS with 0.02% sodium azide and 50% glycerol, pH 7.3. |
| 储存条件 | Store at -20°C. Stable for one year after shipment. Aliquoting is unnecessary for -20oC storage. |
背景介绍
Cytokine receptor-like factor 2 (CRLF2), also known as the thymic stromal derived lymphopoietin receptor (TSLPR), which in combination with the interleukin 7 receptor a chain (IL-7R) forms the receptor for thymic stromal lymphopoietin. CRLF2 is a type I cytokine receptor. CRLF2 rearrangements occur either as a translocation to the immunoglobulin heavy-chain enhancer region (IGH-CRLF2) or by a deletion of upstream PAR1 that leads to joining of CRLF2 to adjacent P2RY8. CRLF2 is expressed in heart, skeletal muscle, kidney and adult and fetal liver and is primarily expressed in dendrites and monocytes. (PMID: 20807819; 31644323; 33485429)
实验方案
| Product Specific Protocols | |
|---|---|
| WB protocol for CRLF2 antibody 28365-1-AP | Download protocol |
| Standard Protocols | |
|---|---|
| Click here to view our Standard Protocols |

