验证数据展示
经过测试的应用
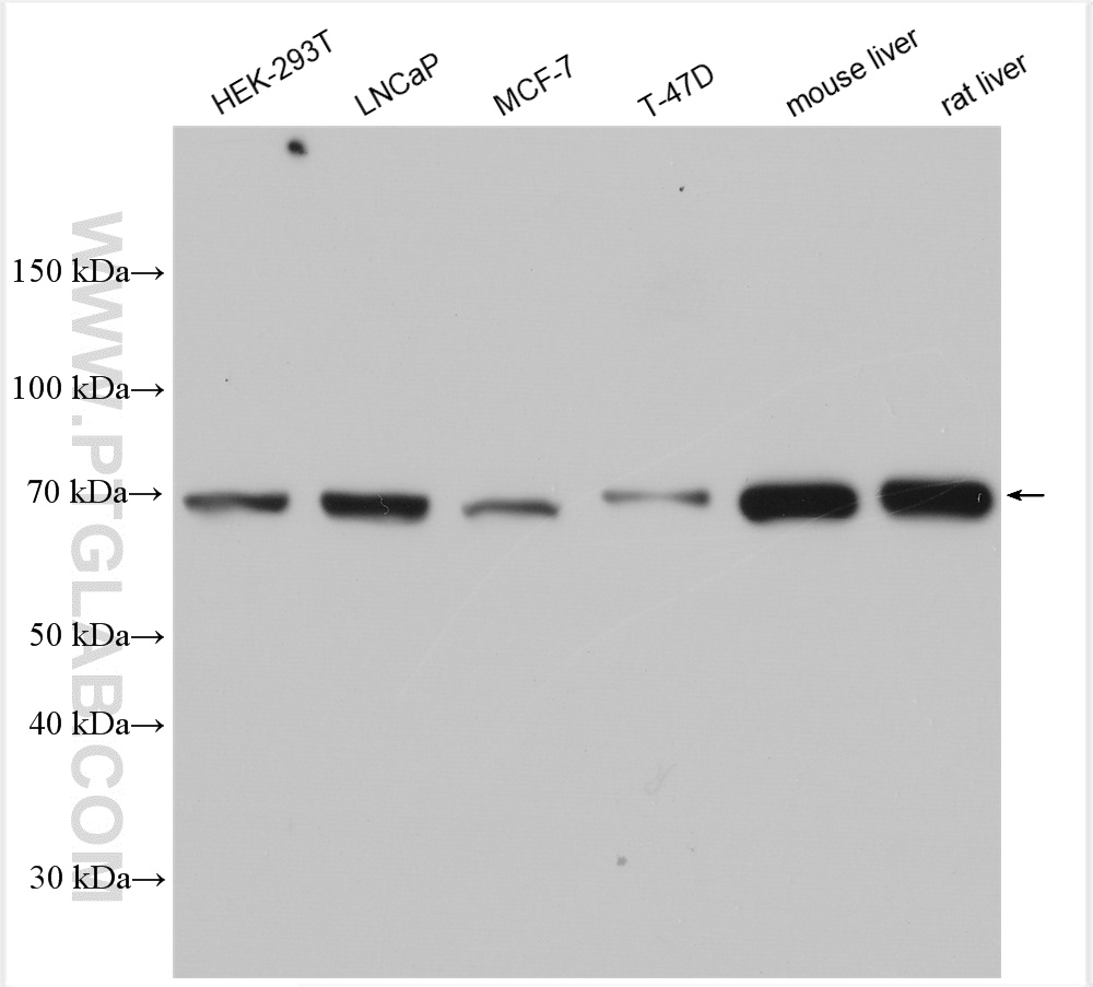
| Positive WB detected in | HEK-293T cells, LNCaP cells, T-47D cells, MCF-7 cells, mouse liver tissue, rat liver tissue |
| Positive IP detected in | mouse liver tissue |
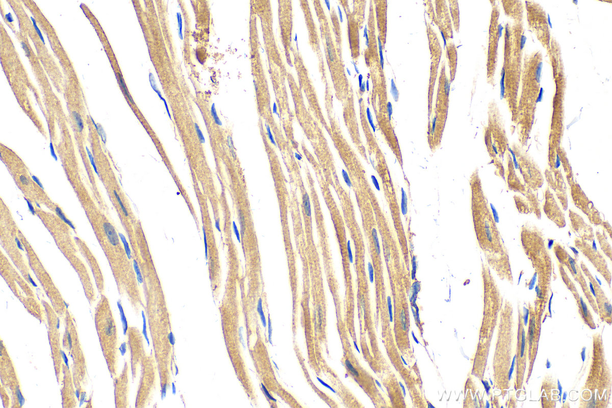
| Positive IHC detected in | mouse heart tissue Note: suggested antigen retrieval with TE buffer pH 9.0; (*) Alternatively, antigen retrieval may be performed with citrate buffer pH 6.0 |
| Positive IF/ICC detected in | C2C12 cells |
推荐稀释比
| 应用 | 推荐稀释比 |
|---|---|
| Western Blot (WB) | WB : 1:2000-1:16000 |
| Immunoprecipitation (IP) | IP : 0.5-4.0 ug for 1.0-3.0 mg of total protein lysate |
| Immunohistochemistry (IHC) | IHC : 1:300-1:1200 |
| Immunofluorescence (IF)/ICC | IF/ICC : 1:50-1:500 |
| It is recommended that this reagent should be titrated in each testing system to obtain optimal results. | |
| Sample-dependent, Check data in validation data gallery. | |
产品信息
26555-1-AP targets CPT2 in WB, IHC, IF/ICC, IP, ELISA applications and shows reactivity with human, mouse, rat samples.
| 经测试应用 | WB, IHC, IF/ICC, IP, ELISA Application Description |
| 文献引用应用 | WB, IHC, IF, IP |
| 经测试反应性 | human, mouse, rat |
| 文献引用反应性 | human, mouse, rat, pig, monkey, zebrafish, bovine |
| 免疫原 |
CatNo: Ag24897 Product name: Recombinant human CPT2 protein Source: e coli.-derived, PGEX-4T Tag: GST Domain: 32-178 aa of BC002445 Sequence: GQYLQRSIVPTMHYQDSLPRLPIPKLEDTIRRYLSAQKPLLNDGQFRKTEQFCKSFENGIGKELHEQLVALDKQNKHTSYILGPWFDMYLSARDSVVLNFNPFMAFNPDPKSEYNDQLTRATNMTVSAIRFLKTLRAGLLEPEVFHL 种属同源性预测 |
| 宿主/亚型 | Rabbit / IgG |
| 抗体类别 | Polyclonal |
| 产品类型 | Antibody |
| 全称 | carnitine palmitoyltransferase 2 |
| 别名 | Carnitine O-palmitoyltransferase 2, mitochondrial, carnitine palmitoyltransferase 2, CPT II, CPTASE, EC:2.3.1.21 |
| 计算分子量 | 74 kDa |
| 观测分子量 | 65-70 kDa |
| GenBank蛋白编号 | BC002445 |
| 基因名称 | CPT2 |
| Gene ID (NCBI) | 1376 |
| RRID | AB_2880551 |
| 偶联类型 | Unconjugated |
| 形式 | Liquid |
| 纯化方式 | Antigen affinity purification |
| UNIPROT ID | P23786 |
| 储存缓冲液 | PBS with 0.02% sodium azide and 50% glycerol, pH 7.3. |
| 储存条件 | Store at -20°C. Stable for one year after shipment. Aliquoting is unnecessary for -20oC storage. |
背景介绍
Carnitine palmitoyltransferase-1 and -2 (CPT1 and CPT2) are two genetically distinct mitochondrial membrane bound enzymes and play critical role in the regulation of FAO in normal cells. CPT2 is an ubiquitous protein and locates in the inner membrane of mitochondrial (PMID: 29437870). CPT2 is frequently down-regulated in primary ovarian serous carcinomas, which is significantly correlated with poor survival of ovarian cancer patients (PMID: 33486313). Down-regulation of CPT2 was a major cause of acylcarnitine accumulation and a common feature in mouse models of obesity- and NASH-driven HCC and human SH-HCC (PMID: 29872321).
实验方案
| Product Specific Protocols | |
|---|---|
| IF protocol for CPT2 antibody 26555-1-AP | Download protocol |
| IHC protocol for CPT2 antibody 26555-1-AP | Download protocol |
| IP protocol for CPT2 antibody 26555-1-AP | Download protocol |
| WB protocol for CPT2 antibody 26555-1-AP | Download protocol |
| Standard Protocols | |
|---|---|
| Click here to view our Standard Protocols |
发表文章
| Species | Application | Title |
|---|---|---|
Cell Metab Targeting Erbin-mitochondria axis in platelets/megakaryocytes promotes B cell-mediated antitumor immunity | ||
Cell Stem Cell A small-molecule cocktail promotes mammalian cardiomyocyte proliferation and heart regeneration. | ||
Nat Commun Hyodeoxycholic acid ameliorates nonalcoholic fatty liver disease by inhibiting RAN-mediated PPARα nucleus-cytoplasm shuttling | ||
Nat Commun Moderate-intensity interval exercise exacerbates cardiac lipotoxicity in high-fat, high-calories diet-fed mice | ||
Cell Death Differ NAT10 regulates heart development and function by maintaining the expression of genes related to fatty acid β-oxidation and heart contraction | ||







