验证数据展示
经过测试的应用
| Positive WB detected in | mouse skeletal muscle tissue, mouse heart tissue, rat heart tissue, rat skeletal muscle tissue |
| Positive IP detected in | mouse heart tissue, mouse skeletal muscle tissue |
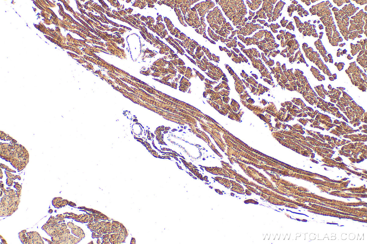
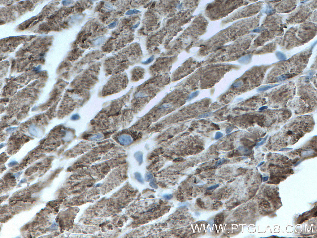
| Positive IHC detected in | mouse heart tissue Note: suggested antigen retrieval with TE buffer pH 9.0; (*) Alternatively, antigen retrieval may be performed with citrate buffer pH 6.0 |
| Positive IF-P detected in | mouse heart tissue |
推荐稀释比
| 应用 | 推荐稀释比 |
|---|---|
| Western Blot (WB) | WB : 1:20000-1:100000 |
| Immunoprecipitation (IP) | IP : 0.5-4.0 ug for 1.0-3.0 mg of total protein lysate |
| Immunohistochemistry (IHC) | IHC : 1:500-1:2000 |
| Immunofluorescence (IF)-P | IF-P : 1:50-1:500 |
| It is recommended that this reagent should be titrated in each testing system to obtain optimal results. | |
| Sample-dependent, Check data in validation data gallery. | |
产品信息
22170-1-AP targets CPT1B-specific in WB, IHC, IF-P, IP, ELISA applications and shows reactivity with human, mouse, rat samples.
| 经测试应用 | WB, IHC, IF-P, IP, ELISA Application Description |
| 文献引用应用 | WB, IHC, IF, IP |
| 经测试反应性 | human, mouse, rat |
| 文献引用反应性 | human, mouse, rat, pig, zebrafish, sheep, ewes |
| 免疫原 |
CatNo: Ag17840 Product name: Recombinant human CPT1B protein Source: e coli.-derived, PGEX-4T Tag: GST Domain: 110-250 aa of BC131570 Sequence: FNTTRIPGKDTDVLQHLSDSRHVAVYHKGRFFKLWLYEGARLLKPQDLEMQFQRILDDPSPPQPGEEKLAALTAGGRVEWAQARQAFFSSGKNKAALEAIERAAFFVALDEESYSYDPEDEASLSLYGKALLHGNCYNRWF 种属同源性预测 |
| 宿主/亚型 | Rabbit / IgG |
| 抗体类别 | Polyclonal |
| 产品类型 | Antibody |
| 全称 | carnitine palmitoyltransferase 1B (muscle) |
| 别名 | CPT1B, Carnitine O palmitoyltransferase 1, muscle isoform, Carnitine O-palmitoyltransferase 1, muscle isoform, Carnitine O-palmitoyltransferase I, muscle isoform, Carnitine palmitoyltransferase I-like protein |
| 计算分子量 | 567 aa, 64 kDa |
| 观测分子量 | 75-85 kDa |
| GenBank蛋白编号 | BC131570 |
| 基因名称 | CPT1B |
| Gene ID (NCBI) | 1375 |
| RRID | AB_2713959 |
| 偶联类型 | Unconjugated |
| 形式 | Liquid |
| 纯化方式 | Antigen affinity purification |
| UNIPROT ID | Q92523 |
| 储存缓冲液 | PBS with 0.02% sodium azide and 50% glycerol, pH 7.3. |
| 储存条件 | Store at -20°C. Stable for one year after shipment. Aliquoting is unnecessary for -20oC storage. |
背景介绍
Carnitine palmitoyltransferases (CPTs) mediate the transport of long chain fatty acyl groups into the mitochondrial matrix to undergo b-oxidation. Type I CPT resides in the outer mitochondrial membrane. Mammalian tissues express three isoforms: CPT1A (liver), CPT1B (muscle and heart), and CPT1C (brain). Several isoforms of CPT1B exist due to the alternative splicing, with predicted MW of 88/84/79/66 kDa.
实验方案
| Product Specific Protocols | |
|---|---|
| IF protocol for CPT1B-specific antibody 22170-1-AP | Download protocol |
| IHC protocol for CPT1B-specific antibody 22170-1-AP | Download protocol |
| IP protocol for CPT1B-specific antibody 22170-1-AP | Download protocol |
| WB protocol for CPT1B-specific antibody 22170-1-AP | Download protocol |
| Standard Protocols | |
|---|---|
| Click here to view our Standard Protocols |
发表文章
| Species | Application | Title |
|---|---|---|
Cell Metab A mechanosensitive lipolytic factor in the bone marrow promotes osteogenesis and lymphopoiesis. | ||
Cell Metab Global Analysis of Plasma Lipids Identifies Liver-Derived Acylcarnitines as a Fuel Source for Brown Fat Thermogenesis.
| ||
Nat Commun Moderate-intensity interval exercise exacerbates cardiac lipotoxicity in high-fat, high-calories diet-fed mice | ||
Adv Sci (Weinh) m6A-Modified circTET2 Interacting with HNRNPC Regulates Fatty Acid Oxidation to Promote the Proliferation of Chronic Lymphocytic Leukemia | ||
Nat Commun Mechanism of action and therapeutic route for a muscular dystrophy caused by a genetic defect in lipid metabolism. | ||
J Biomed Sci Adipocyte pyroptosis occurs in omental tumor microenvironment and is associated with chemoresistance of ovarian cancer |










