验证数据展示
经过测试的应用
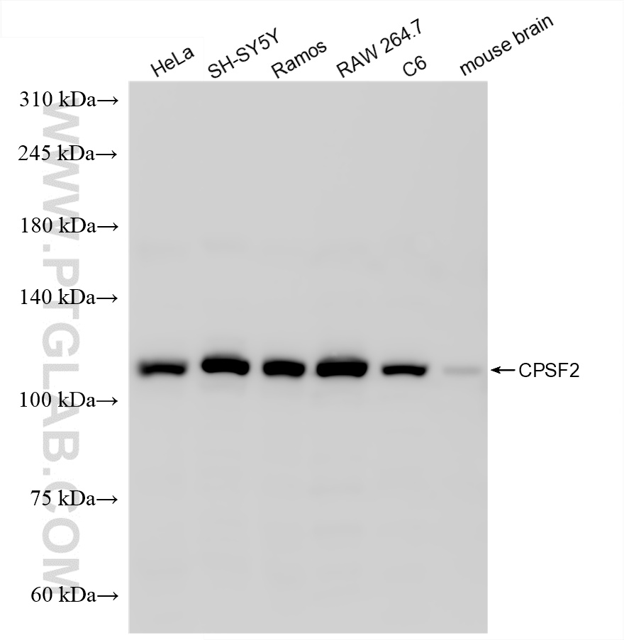
| Positive WB detected in | HeLa cells, SH-SY5Y cells, Ramos cells, RAW 264.7 cells, C6 cells, mouse brain tissue |
| Positive IF/ICC detected in | HeLa cells |
推荐稀释比
| 应用 | 推荐稀释比 |
|---|---|
| Western Blot (WB) | WB : 1:2000-1:10000 |
| Immunofluorescence (IF)/ICC | IF/ICC : 1:50-1:500 |
| It is recommended that this reagent should be titrated in each testing system to obtain optimal results. | |
| Sample-dependent, Check data in validation data gallery. | |
产品信息
86513-3-RR targets CPSF2 in WB, IF/ICC, ELISA applications and shows reactivity with human, mouse, rat samples.
| 经测试应用 | WB, IF/ICC, ELISA Application Description |
| 经测试反应性 | human, mouse, rat |
| 免疫原 |
CatNo: Ag11950 Product name: Recombinant human CPSF2 protein Source: e coli.-derived, PGEX-4T Tag: GST Domain: 433-782 aa of BC070095 Sequence: SAHKTKHDLMMKGEGSRKGSFFKQAKKSYPMFPAPEERIKWDEYGEIIKPEDFLVPELQATEEEKSKLESGLTNGDEPMDQDLSDVPTKCISTTESIEIKARVTYIDYEGRSDGDSIKKIINQMKPRQLIIVHGPPEASQDLAECCRAFGGKDIKVYMPKLHETVDATSETHIYQVRLKDSLVSSLQFCKAKDAELAWIDGVLDMRVSKVDTGVILEEGELRDDGEDSEMQVEAPSDSSVIAQQKAMKSLFGDDEKETGEESEIIPTLEPLPPHEVPGHQSVFMNEPRLSDFKQVLLREGIQAEFVGGVLVCNNQVAVRRTETGRIGLEGCLCQDFYRIRDLLYEQYAIV 种属同源性预测 |
| 宿主/亚型 | Rabbit / IgG |
| 抗体类别 | Recombinant |
| 产品类型 | Antibody |
| 全称 | cleavage and polyadenylation specific factor 2, 100kDa |
| 别名 | CPSF 100 kDa subunit, CPSF100, KIAA1367 |
| 计算分子量 | 782 aa, 88 kDa |
| 观测分子量 | 110 kDa |
| GenBank蛋白编号 | BC070095 |
| 基因名称 | CPSF2 |
| Gene ID (NCBI) | 53981 |
| 偶联类型 | Unconjugated |
| 形式 | Liquid |
| 纯化方式 | Protein A purification |
| UNIPROT ID | Q9P2I0 |
| 储存缓冲液 | PBS with 0.02% sodium azide and 50% glycerol, pH 7.3. |
| 储存条件 | Store at -20°C. Stable for one year after shipment. Aliquoting is unnecessary for -20oC storage. |
背景介绍
Cleavage and Polyadenylation Specificity Factor Subunit 2 (CPSF2) is a critical component of the mRNA 3′ end processing machinery, playing a pivotal role in the cleavage and polyadenylation of pre-mRNA. This process is essential for the stability, nuclear export, and translation efficiency of mRNA, making CPSF2 a key player in gene expression regulation. Recent studies have highlighted the significance of CPSF2 in various diseases, particularly cancer. It's reported that in papillary thyroid carcinoma (PTC), negative expression of CPSF2 has been associated with poorer clinical outcomes, including higher rates of cervical lymph node metastasis, distant metastasis, and reduced recurrence-free survival. (PMID:26148673)
实验方案
| Product Specific Protocols | |
|---|---|
| IF protocol for CPSF2 antibody 86513-3-RR | Download protocol |
| WB protocol for CPSF2 antibody 86513-3-RR | Download protocol |
| Standard Protocols | |
|---|---|
| Click here to view our Standard Protocols |


