验证数据展示
经过测试的应用
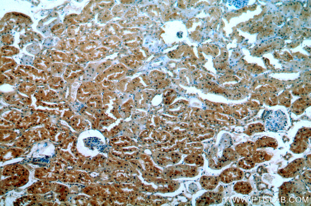
| Positive IHC detected in | human lung tissue,  human kidney tissue Note: suggested antigen retrieval with TE buffer pH 9.0; (*) Alternatively, antigen retrieval may be performed with citrate buffer pH 6.0  | 
推荐稀释比
| 应用 | 推荐稀释比 | 
|---|---|
| Immunohistochemistry (IHC) | IHC : 1:20-1:200 | 
| It is recommended that this reagent should be titrated in each testing system to obtain optimal results. | |
| Sample-dependent, Check data in validation data gallery. | |
发表文章中的应用
| IHC | See 1 publications below | 
产品信息
20097-1-AP targets CPNE8 in IHC, ELISA applications and shows reactivity with human, mouse, rat samples.
| 经测试应用 | IHC, ELISA Application Description | 
| 文献引用应用 | IHC | 
| 经测试反应性 | human, mouse, rat | 
| 文献引用反应性 | human, mouse | 
| 免疫原 | 
                                             Peptide 种属同源性预测 | 
                                    
| 宿主/亚型 | Rabbit / IgG | 
| 抗体类别 | Polyclonal | 
| 产品类型 | Antibody | 
| 全称 | copine VIII | 
| 别名 | Copine 8, copine VIII, CPNE8 | 
| 计算分子量 | 63 kDa | 
| GenBank蛋白编号 | NM_153634 | 
| 基因名称 | CPNE8 | 
| Gene ID (NCBI) | 144402 | 
| RRID | AB_10697834 | 
| 偶联类型 | Unconjugated | 
| 形式 | Liquid | 
| 纯化方式 | Antigen affinity purification | 
| UNIPROT ID | Q86YQ8 | 
| 储存缓冲液 | PBS with 0.02% sodium azide and 50% glycerol, pH 7.3. | 
| 储存条件 | Store at -20°C. Stable for one year after shipment. Aliquoting is unnecessary for -20oC storage. | 
背景介绍
Copines are a family of evolutionarily conserved calcium-dependent phospholipid-binding proteins (PMID: 9430674). They contain two Ca(2+)- and phospholipid-binding domains known as C2 domains. Copines are potentially involved in regulating membrane trafficking and in protein-protein interactions. CPNE8 belongs to the copine family. The antibody has no cross reaction with CPNE5.
实验方案
| Product Specific Protocols | |
|---|---|
| IHC protocol for CPNE8 antibody 20097-1-AP | Download protocol | 
| Standard Protocols | |
|---|---|
| Click here to view our Standard Protocols | 



