验证数据展示
经过测试的应用
| Positive WB detected in | mouse pancreas tissue |
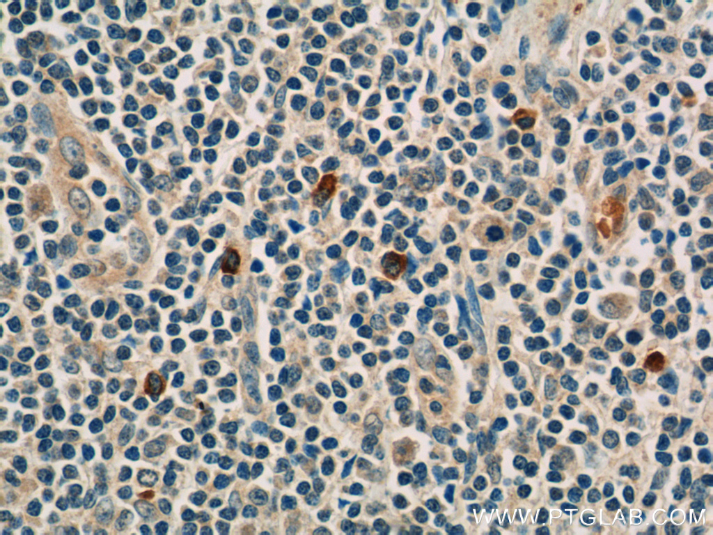
| Positive IHC detected in | human tonsillitis tissue, human pancreas tissue, human small intestine tissue Note: suggested antigen retrieval with TE buffer pH 9.0; (*) Alternatively, antigen retrieval may be performed with citrate buffer pH 6.0 |
推荐稀释比
| 应用 | 推荐稀释比 |
|---|---|
| Western Blot (WB) | WB : 1:500-1:2400 |
| Immunohistochemistry (IHC) | IHC : 1:50-1:500 |
| It is recommended that this reagent should be titrated in each testing system to obtain optimal results. | |
| Sample-dependent, Check data in validation data gallery. | |
发表文章中的应用
| WB | See 3 publications below |
| IF | See 1 publications below |
产品信息
16236-1-AP targets CPA3 in WB, IHC, IF, ELISA applications and shows reactivity with human, mouse, rat samples.
| 经测试应用 | WB, IHC, ELISA Application Description |
| 文献引用应用 | WB, IF |
| 经测试反应性 | human, mouse, rat |
| 文献引用反应性 | mouse |
| 免疫原 |
CatNo: Ag8984 Product name: Recombinant human CPA3 protein Source: e coli.-derived, PET28a Tag: 6*His Domain: 69-417 aa of BC012613 Sequence: RVSEKESQAIQSALDQNKMHYEILIHDLQEEIEKQFDVKEDIPGRHSYAKYNNWEKIVAWTEKMMDKYPEMVSRIKIGSTVEDNPLYVLKIGEKNERRKAIFMDCGIHAREWVSPAFCQWFVYQATKTYGRNKIMTKLLDRMNFYILPVFNVDGYIWSWTKNRMWRKNRSKNQNSKCIGTDLNRNFNASWNSIPNTNDPCADNYRGSAPESEKETKAVTNFIRSHLNEIKVYITFHSYSQMLLFPYGYTSKLPPNHEDLAKVAKIGTDVLSTRYETRYIYGPIESTIYPISGSSLDWAYDLGIKHTFAFELRDKGKFGFLLPESRIKPTCRETMLAVKFIAKYILKHTS 种属同源性预测 |
| 宿主/亚型 | Rabbit / IgG |
| 抗体类别 | Polyclonal |
| 产品类型 | Antibody |
| 全称 | carboxypeptidase A3 (mast cell) |
| 别名 | Carboxypeptidase A3, EC:3.4.17.1, Mast cell carboxypeptidase A, MC CPA, MC-CPA |
| 计算分子量 | 417 aa, 49 kDa |
| 观测分子量 | 49 kDa |
| GenBank蛋白编号 | BC012613 |
| 基因名称 | Carboxypeptidase A3 |
| Gene ID (NCBI) | 1359 |
| RRID | AB_2085856 |
| 偶联类型 | Unconjugated |
| 形式 | Liquid |
| 纯化方式 | Antigen affinity purification |
| UNIPROT ID | P15088 |
| 储存缓冲液 | PBS with 0.02% sodium azide and 50% glycerol, pH 7.3. |
| 储存条件 | Store at -20°C. Stable for one year after shipment. Aliquoting is unnecessary for -20oC storage. |
实验方案
| Product Specific Protocols | |
|---|---|
| IHC protocol for CPA3 antibody 16236-1-AP | Download protocol |
| WB protocol for CPA3 antibody 16236-1-AP | Download protocol |
| Standard Protocols | |
|---|---|
| Click here to view our Standard Protocols |
发表文章
| Species | Application | Title |
|---|---|---|
Am J Pathol Rare Pulmonary Connective Tissue Type Mast Cells Regulate Lung Endothelial Cell Angiogenesis. | ||
Dev Cell Mast cells proliferate in the peri-hippocampal space during early development and modulate local and peripheral immune cells | ||
bioRxiv Mast cell extracellular granules are bioactive condensates driven by heparin and polyamine. | ||
Nat Chem Biol Mast cell extracellular granules are bioactive condensates assembled by heparin and polyamine. |









