验证数据展示
经过测试的应用
| Positive WB detected in | HCT 116 cells, HeLa cells, HEK-293T cells, Jurkat cells, MOLT-4 cells |
| Positive IP detected in | Jurkat cells |
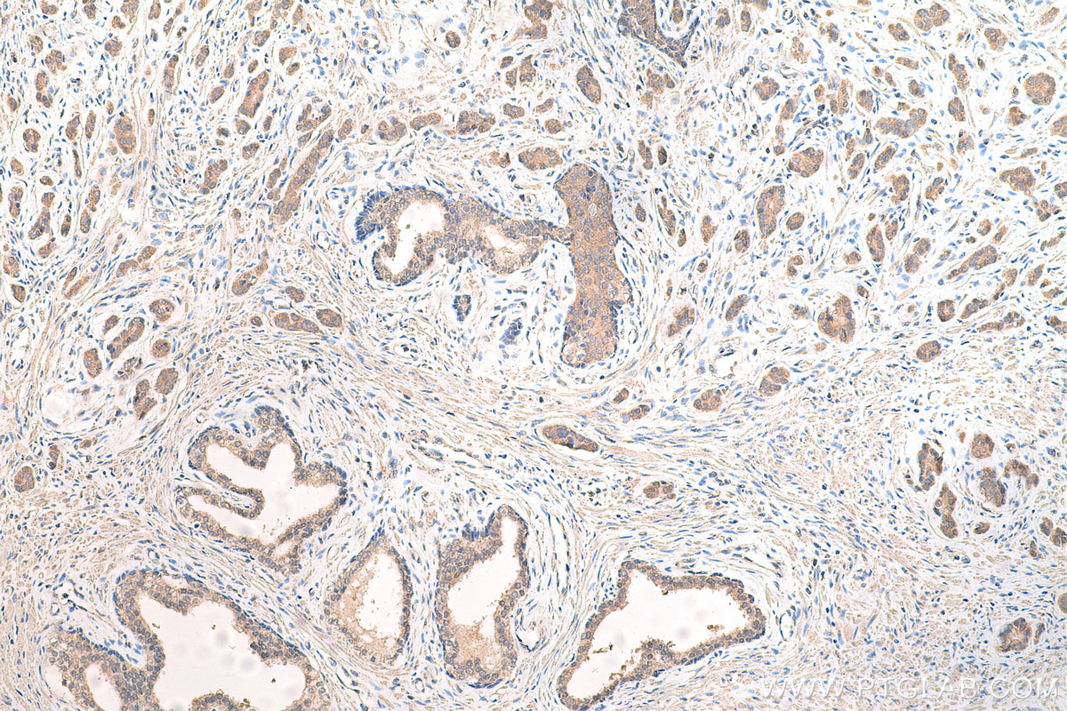
| Positive IHC detected in | human prostate cancer tissue Note: suggested antigen retrieval with TE buffer pH 9.0; (*) Alternatively, antigen retrieval may be performed with citrate buffer pH 6.0 |
| Positive IF/ICC detected in | hTERT-RPE1 cells, U2OS cells |
| Positive FC (Intra) detected in | HeLa cells |
推荐稀释比
| 应用 | 推荐稀释比 |
|---|---|
| Western Blot (WB) | WB : 1:2000-1:12000 |
| Immunoprecipitation (IP) | IP : 0.5-4.0 ug for 1.0-3.0 mg of total protein lysate |
| Immunohistochemistry (IHC) | IHC : 1:250-1:1000 |
| Immunofluorescence (IF)/ICC | IF/ICC : 1:50-1:500 |
| Flow Cytometry (FC) (INTRA) | FC (INTRA) : 0.20 ug per 10^6 cells in a 100 µl suspension |
| It is recommended that this reagent should be titrated in each testing system to obtain optimal results. | |
| Sample-dependent, Check data in validation data gallery. | |
产品信息
12780-1-AP targets CP110 in WB, IHC, IF/ICC, FC (Intra), IP, ELISA applications and shows reactivity with human samples.
| 经测试应用 | WB, IHC, IF/ICC, FC (Intra), IP, ELISA Application Description |
| 文献引用应用 | WB, IHC, IF, IP |
| 经测试反应性 | human |
| 文献引用反应性 | human, canine, drosophila, xenopus |
| 免疫原 |
CatNo: Ag3489 Product name: Recombinant human CP110 protein Source: e coli.-derived, PGEX-4T Tag: GST Domain: 1-337 aa of BC036654 Sequence: MEEYEKFCEKSLARIQEASLSTESFLPAQSESISLIRFHGVAILSPLLNIEKRKEMQQEKQKALDVEARKQVNRKKALLTRVQEILDNVQVRKAPNASDFDQWEMETVYSNSEVRNLNVPATFPNSFPSHTEHSTAAKLDKIAGILPLDNEDQCKTDGIDLARDSEGFNSPKQCDSSNISHVENEAFPKTSSATPQETLISDGPFSVNEQQDLPLLAEVIPDPYVMSLQNLMKKSKEYIEREQSRRSLRGSMNRIVNESHLDKEHDAVEVADCVKEKGQLTGKHCVSVIPDKPSLNKSNVLLQGASTQASSMSMPVLASFSKVDIPIRTGHPTVLES 种属同源性预测 |
| 宿主/亚型 | Rabbit / IgG |
| 抗体类别 | Polyclonal |
| 产品类型 | Antibody |
| 全称 | CP110 protein |
| 别名 | CCP110, Centriolar coiled-coil protein of 110 kDa, Cep110, CP 110, CP110 protein |
| 计算分子量 | 991 aa, 111 kDa |
| 观测分子量 | 113 kDa |
| GenBank蛋白编号 | BC036654 |
| 基因名称 | CP110 |
| Gene ID (NCBI) | 9738 |
| RRID | AB_10638480 |
| 偶联类型 | Unconjugated |
| 形式 | Liquid |
| 纯化方式 | Antigen affinity purification |
| UNIPROT ID | O43303 |
| 储存缓冲液 | PBS with 0.02% sodium azide and 50% glycerol, pH 7.3. |
| 储存条件 | Store at -20°C. Stable for one year after shipment. Aliquoting is unnecessary for -20oC storage. |
背景介绍
CP110, also named as CCP110 and KIAA0419, is an 110kDa protein. This gene is different to the gene CEP110 (geneID:11064; CNTRL). CP110 is a centriolar protein that positively regulates centrioleduplication while restricting centriole elongation and ciliogenesis. And it acts as a key negative regulator of ciliogenesis in collaboration with CEP97 by capping the mother centriole thereby preventing cilia formation.
实验方案
| Product Specific Protocols | |
|---|---|
| FC protocol for CP110 antibody 12780-1-AP | Download protocol |
| IF protocol for CP110 antibody 12780-1-AP | Download protocol |
| IHC protocol for CP110 antibody 12780-1-AP | Download protocol |
| IP protocol for CP110 antibody 12780-1-AP | Download protocol |
| WB protocol for CP110 antibody 12780-1-AP | Download protocol |
| Standard Protocols | |
|---|---|
| Click here to view our Standard Protocols |
发表文章
| Species | Application | Title |
|---|---|---|
Science A liquid-like spindle domain promotes acentrosomal spindle assembly in mammalian oocytes. | ||
Nature USP33 regulates centrosome biogenesis via deubiquitination of the centriolar protein CP110. | ||
Nat Nanotechnol Intrinsic bioactivity of black phosphorus nanomaterials on mitotic centrosome destabilization through suppression of PLK1 kinase. | ||
Nat Cell Biol miR-129-3p controls cilia assembly by regulating CP110 and actin dynamics.
| ||
Nat Cell Biol CEP162 is an axoneme-recognition protein promoting ciliary transition zone assembly at the cilia base. | ||
Nat Cell Biol The Cep63 paralogue Deup1 enables massive de novo centriole biogenesis for vertebrate multiciliogenesis. |







