验证数据展示
经过测试的应用
| Positive WB detected in | mouse heart tissue, HeLa cells, human heart tissue, human skeletal muscle tissue, mouse brain tissue, mouse kidney tissue | 
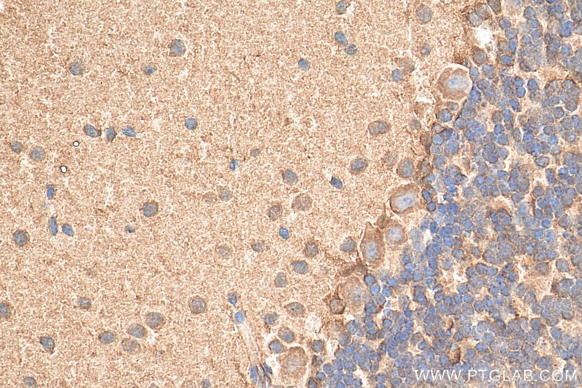
| Positive IHC detected in | mouse heart tissue, human cerebellum tissue,  human heart tissue,  mouse cerebellum tissue Note: suggested antigen retrieval with TE buffer pH 9.0; (*) Alternatively, antigen retrieval may be performed with citrate buffer pH 6.0 | 
推荐稀释比
| 应用 | 推荐稀释比 | 
|---|---|
| Western Blot (WB) | WB : 1:500-1:2000 | 
| Immunohistochemistry (IHC) | IHC : 1:50-1:500 | 
| It is recommended that this reagent should be titrated in each testing system to obtain optimal results. | |
| Sample-dependent, Check data in validation data gallery. | |
发表文章中的应用
| WB | See 1 publications below | 
产品信息
16111-1-AP targets COPG2 in WB, IHC, ELISA applications and shows reactivity with human, mouse samples.
| 经测试应用 | WB, IHC, ELISA Application Description | 
| 文献引用应用 | WB | 
| 经测试反应性 | human, mouse | 
| 文献引用反应性 | human | 
| 免疫原 | CatNo: Ag9034 Product name: Recombinant human COPG2 protein Source: e coli.-derived, PGEX-4T Tag: GST Domain: 517-865 aa of BC017443 Sequence: EVRDRATFYLNVLQQRQMALNATYIFNGLTVSVPGMEKALHQYTLEPSEKPFDMKSIPLAMAPVFEQKAEITLVATKPEKLAPSRQDIFQEQLAAIPEFLNIGPLFKSSEPVQLTEAETEYFVRCIKHMFTNHIVFQFDCTNTLNDQLLEKVTVQMEPSDSYEVLSCIPAPSLPYNQPGICYTLVRLPDDDPTAVAGSFSCTMKFTVRDCDPNTGVPDEDGYDDEYVLEDLEVTVSDHIQKVLKPNFAAAWEEVGDTFEKEETFALSSTKTLEEAVNNIITFLGMQPCERSDKVPENKNSHSLYLAGIFRGGYDLLVRSRLALADGVTMQVTVRSKERTPVDVILASVG种属同源性预测 | 
| 宿主/亚型 | Rabbit / IgG | 
| 抗体类别 | Polyclonal | 
| 产品类型 | Antibody | 
| 全称 | coatomer protein complex, subunit gamma 2 | 
| 别名 | 2 COP, Coatomer subunit gamma 2, COPG2, Gamma 2 coat protein, Gamma 2 COP | 
| 计算分子量 | 871 aa, 98 kDa | 
| 观测分子量 | 98 kDa | 
| GenBank蛋白编号 | BC017443 | 
| 基因名称 | COPG2 | 
| Gene ID (NCBI) | 26958 | 
| RRID | AB_10897182 | 
| 偶联类型 | Unconjugated | 
| 形式 | Liquid | 
| 纯化方式 | Antigen affinity purification | 
| UNIPROT ID | Q9UBF2 | 
| 储存缓冲液 | PBS with 0.02% sodium azide and 50% glycerol, pH 7.3. | 
| 储存条件 | Store at -20°C. Stable for one year after shipment. Aliquoting is unnecessary for -20oC storage. | 
实验方案
| Product Specific Protocols | |
|---|---|
| IHC protocol for COPG2 antibody 16111-1-AP | Download protocol | 
| WB protocol for COPG2 antibody 16111-1-AP | Download protocol | 
| Standard Protocols | |
|---|---|
| Click here to view our Standard Protocols | 















