验证数据展示
经过测试的应用
| Positive WB detected in | A431 cells, A375 cells, HEK-293 cells, Jurkat cells, MCF-7 cells, PC-3 cells |
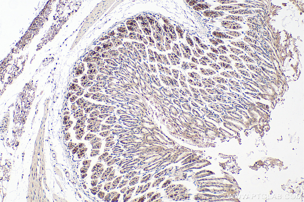
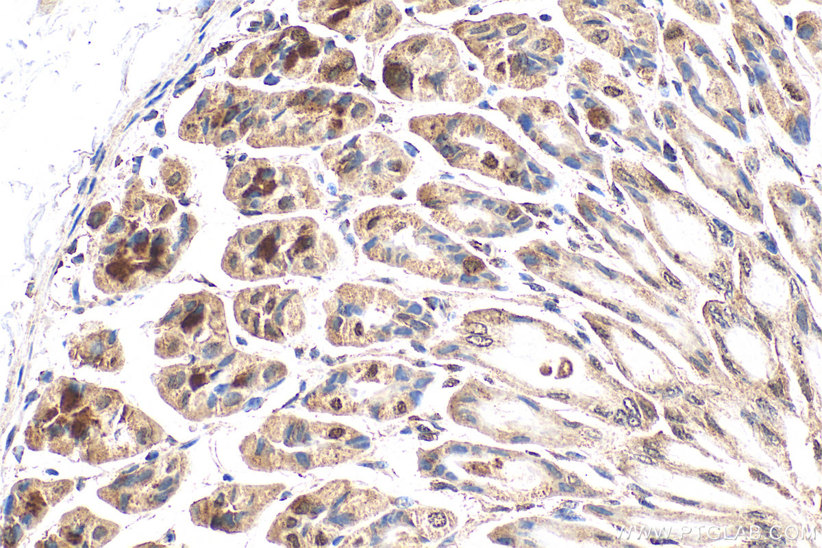
| Positive IHC detected in | human stomach cancer tissue, human liver cancer tissue, mouse stomach tissue, rat stomach tissue Note: suggested antigen retrieval with TE buffer pH 9.0; (*) Alternatively, antigen retrieval may be performed with citrate buffer pH 6.0 |
| Positive IF/ICC detected in | HepG2 cells |
推荐稀释比
| 应用 | 推荐稀释比 |
|---|---|
| Western Blot (WB) | WB : 1:1000-1:8000 |
| Immunohistochemistry (IHC) | IHC : 1:50-1:500 |
| Immunofluorescence (IF)/ICC | IF/ICC : 1:200-1:800 |
| It is recommended that this reagent should be titrated in each testing system to obtain optimal results. | |
| Sample-dependent, Check data in validation data gallery. | |
产品信息
11457-1-AP targets COPE in WB, IHC, IF/ICC, ELISA applications and shows reactivity with human, mouse, rat samples.
| 经测试应用 | WB, IHC, IF/ICC, ELISA Application Description |
| 经测试反应性 | human, mouse, rat |
| 免疫原 |
CatNo: Ag2024 Product name: Recombinant human COPE protein Source: e coli.-derived, PGEX-4T Tag: GST Domain: 1-308 aa of BC017285 Sequence: MAPPAPGPASGGSGEVDELFDVKNAFYIGSYQQCINEAQRVKLSSPERDVERDVFLYRAYLAQRKFGVVLDEIKPSSAPELQAVRMFADYLAHESRRDSIVAELDREMSRSVDVTNTTFLLMAASIYLHDQNPDAALRALHQGDSLECTAMTVQILLKLDRLDLARKELKRMQDLDEDATLTQLATAWVSLATGGEKLQDAYYIFQEMADKCSPTLLLLNGQAACHMAQGRWEAAEGLLQEALDKDSGYPETLVNLIVLSQHLGKPPEVTNRYLSQLKDAHRSHPFIKEYQAKENDFDRLVLQYAPSA 种属同源性预测 |
| 宿主/亚型 | Rabbit / IgG |
| 抗体类别 | Polyclonal |
| 产品类型 | Antibody |
| 全称 | coatomer protein complex, subunit epsilon |
| 别名 | Coatomer subunit epsilon, Epsilon-coat protein, Epsilon-COP |
| 计算分子量 | 34 kDa |
| 观测分子量 | 32-34 kDa |
| GenBank蛋白编号 | BC017285 |
| 基因名称 | COPE |
| Gene ID (NCBI) | 11316 |
| RRID | AB_11182386 |
| 偶联类型 | Unconjugated |
| 形式 | Liquid |
| 纯化方式 | Antigen affinity purification |
| UNIPROT ID | O14579 |
| 储存缓冲液 | PBS with 0.02% sodium azide and 50% glycerol, pH 7.3. |
| 储存条件 | Store at -20°C. Stable for one year after shipment. Aliquoting is unnecessary for -20oC storage. |
背景介绍
COPE (Coatomer Protein Complex Subunit Epsilon) is the ε subunit of the COPI complex, a cytoplasmic protein complex composed of seven subunits. It mediates vesicle transport between the Golgi apparatus and the endoplasmic reticulum by binding a double lysine motif, and is crucial for retrograde protein transport (from the Golgi apparatus to the endoplasmic reticulum). (PMID: 10469566; 24497546; 20674546)
实验方案
| Product Specific Protocols | |
|---|---|
| IF protocol for COPE antibody 11457-1-AP | Download protocol |
| IHC protocol for COPE antibody 11457-1-AP | Download protocol |
| WB protocol for COPE antibody 11457-1-AP | Download protocol |
| Standard Protocols | |
|---|---|
| Click here to view our Standard Protocols |










