验证数据展示
产品信息
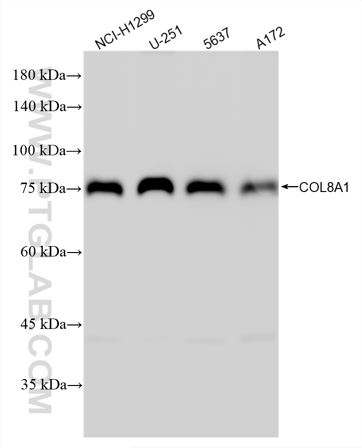
87280-1-PBS targets COL8A1 in WB, Indirect ELISA applications and shows reactivity with human samples.
| 经测试应用 | WB, Indirect ELISA Application Description |
| 经测试反应性 | human |
| 免疫原 |
CatNo: Ag10607 Product name: Recombinant human COL8A1 protein Source: e coli.-derived, PET28a Tag: 6*His Domain: 396-744 aa of BC013581 Sequence: GIPGPMGPPGAIGFPGPKGEGGIVGPQGPPGPKGEPGLQGFPGKPGFLGEVGPPGMRGLPGPIGPKGEAGQKGVPGLPGVPGLLGPKGEPGIPGDQGLQGPPGIPGIGGPSGPIGPPGIPGPKGEPGLPGPPGFPGIGKPGVAGLHGPPGKPGALGPQGQPGLPGPPGPPGPPGPPAVMPPTPPPQGEYLPDMGLGIDGVKPPHAYGAKKGKNGGPAYEMPAFTAELTAPFPPVGAPVKFNKLLYNGRQNYNPQTGIFTCEVPGVYYFAYHVHCKGGNVWVALFKNNEPVMYTYDEYKKGFLDQASGSAVLLLRPGDRVFLQMPSEQAAGLYAGQYVHSSFSGYLLYPM 种属同源性预测 |
| 宿主/亚型 | Rabbit / IgG |
| 抗体类别 | Recombinant |
| 产品类型 | Antibody |
| 全称 | collagen, type VIII, alpha 1 |
| 别名 | COL8, C3orf7, Collagen alpha-1(VIII) chain, Collagen Type VIII |
| 计算分子量 | 744 aa, 73 kDa |
| 观测分子量 | 73-75 kDa |
| GenBank蛋白编号 | BC013581 |
| 基因名称 | COL8A1 |
| Gene ID (NCBI) | 1295 |
| 偶联类型 | Unconjugated |
| 形式 | Liquid |
| 纯化方式 | Protein A purification |
| UNIPROT ID | P27658 |
| 储存缓冲液 | PBS only, pH 7.3. |
| 储存条件 | Store at -80°C. The product is shipped with ice packs. Upon receipt, store it immediately at -80°C |

