验证数据展示
经过测试的应用
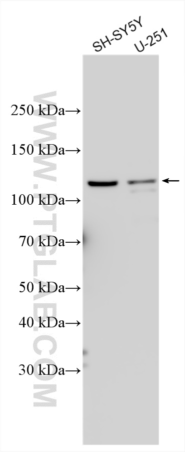
| Positive WB detected in | HEK-293 cells, SH-SY5Y cells, U-251 cells |
推荐稀释比
| 应用 | 推荐稀释比 |
|---|---|
| Western Blot (WB) | WB : 1:500-1:2000 |
| It is recommended that this reagent should be titrated in each testing system to obtain optimal results. | |
| Sample-dependent, Check data in validation data gallery. | |
产品信息
27410-1-AP targets CNTNAP3 in WB, ELISA applications and shows reactivity with human samples.
| 经测试应用 | WB, ELISA Application Description |
| 经测试反应性 | human |
| 免疫原 |
CatNo: Ag26624 Product name: Recombinant human CNTNAP3 protein Source: e coli.-derived, PGEX-4T Tag: GST Domain: 625-695 aa of BC132737 Sequence: TDAAWTVVQHGGPDAVTLRGAPSGHPRSAVSFAYAAGAGQLRSAVNLAERCEQRLALRCGTARRPDSRDGT 种属同源性预测 |
| 宿主/亚型 | Rabbit / IgG |
| 抗体类别 | Polyclonal |
| 产品类型 | Antibody |
| 全称 | contactin associated protein-like 3 |
| 别名 | CASPR3, CNTNAP3A, Contactin-associated protein-like 3, RP11 138L21.1, RP11 290L7.1 |
| 观测分子量 | 124 kDa |
| GenBank蛋白编号 | BC132737 |
| 基因名称 | CNTNAP3 |
| Gene ID (NCBI) | 79937 |
| RRID | AB_2880864 |
| 偶联类型 | Unconjugated |
| 形式 | Liquid |
| 纯化方式 | Antigen affinity purification |
| UNIPROT ID | Q9BZ76 |
| 储存缓冲液 | PBS with 0.02% sodium azide and 50% glycerol, pH 7.3. |
| 储存条件 | Store at -20°C. Stable for one year after shipment. Aliquoting is unnecessary for -20oC storage. |
背景介绍
CNTNAP3 belongs to the Neurexin superfamily and is a member of the Contactin-Associated Protein (CNTNAP) family, which also includes well-studied members like CNTNAP2. CNTNAP3 is predominantly expressed in the central nervous system (CNS), including regions such as the cerebral cortex, hippocampus, and cerebellum. Its expression is primarily in neurons. Compared to its family member CNTNAP2, CNTNAP3 expression begins later in development and persists into adulthood, suggesting roles in both developmental processes and the maintenance of mature neural circuits.
实验方案
| Product Specific Protocols | |
|---|---|
| WB protocol for CNTNAP3 antibody 27410-1-AP | Download protocol |
| Standard Protocols | |
|---|---|
| Click here to view our Standard Protocols |

