验证数据展示
经过测试的应用
| Positive WB detected in | mouse brain tissue, rat brain tissue |
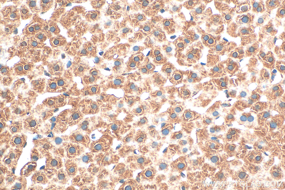
| Positive IHC detected in | rat liver tissue Note: suggested antigen retrieval with TE buffer pH 9.0; (*) Alternatively, antigen retrieval may be performed with citrate buffer pH 6.0 |
推荐稀释比
| 应用 | 推荐稀释比 |
|---|---|
| Western Blot (WB) | WB : 1:500-1:2000 |
| Immunohistochemistry (IHC) | IHC : 1:50-1:500 |
| It is recommended that this reagent should be titrated in each testing system to obtain optimal results. | |
| Sample-dependent, Check data in validation data gallery. | |
产品信息
24054-1-AP targets CNKSR2 in WB, IHC, ELISA applications and shows reactivity with human, mouse, rat samples.
| 经测试应用 | WB, IHC, ELISA Application Description |
| 经测试反应性 | human, mouse, rat |
| 免疫原 |
CatNo: Ag21183 Product name: Recombinant human CNKSR2 protein Source: e coli.-derived, PET30a Tag: 6*His Domain: 400-558 aa of BC126121 Sequence: RKRFNIVEEDTVLYCYEYEKGRSSSQGRRESTPTYGKLRPISMPVEYNWVGDYEDPNKMKRDSRRENSLLRYMSNEKIAQEEYMFQRNSKKDTGKKSKKKGDKSNSPTHYSLLPSLQMDALRQDIMGTPVPETTLYHTFQQSSLQHKSKKKNKGPIAGK 种属同源性预测 |
| 宿主/亚型 | Rabbit / IgG |
| 抗体类别 | Polyclonal |
| 产品类型 | Antibody |
| 全称 | connector enhancer of kinase suppressor of Ras 2 |
| 别名 | CNK homolog protein 2, CNK2, Connector enhancer of KSR 2, KIAA0902, KSR2 |
| 计算分子量 | 1034 aa, 118 kDa |
| 观测分子量 | 110 kDa, 130 kDa |
| GenBank蛋白编号 | BC126121 |
| 基因名称 | CNKSR2 |
| Gene ID (NCBI) | 22866 |
| RRID | AB_3669430 |
| 偶联类型 | Unconjugated |
| 形式 | Liquid |
| 纯化方式 | Antigen Affinity purified |
| UNIPROT ID | Q8WXI2 |
| 储存缓冲液 | PBS with 0.02% sodium azide and 50% glycerol, pH 7.3. |
| 储存条件 | Store at -20°C. Stable for one year after shipment. Aliquoting is unnecessary for -20oC storage. |
背景介绍
The Connector Enhancer of Kinase Suppressor of Ras-2 (CNKSR2), also known as CNK2 or MAGUIN, KIAA0902 and KSR2, is a scaffolding molecule that contains functional protein binding domains (PMID: 35053419). CNKSR2 interacts with different molecules, including RAF1, ARHGAP39, and CYTH2, and regulates the Mitogen-Activated Protein Kinase (MAPK) cascade and small GTPase signaling (PMID: 35053419). The study identify a molecular complex comprising CNKSR2 and the guanine nucleotide exchange factor (GEF) for ARF small GTPases, CYTH2, that is necessary for the proper development of granule neurons in the mouse hippocampus (PMID: 34800437). CNKSR2 plays a key role in regulating cell proliferation, and differentiation through multiple receptor tyrosine kinase pathways (PMID: 35053419). The molecular weight of CNKSR2 is mainly 117 kDa (PMID: 29534682). It has also been reported that CNKSR2 immunoblotted signal of about 110 kDa was detected, while a 130 kDa signal was detected (PMID: 34800437).
实验方案
| Product Specific Protocols | |
|---|---|
| IHC protocol for CNKSR2 antibody 24054-1-AP | Download protocol |
| WB protocol for CNKSR2 antibody 24054-1-AP | Download protocol |
| Standard Protocols | |
|---|---|
| Click here to view our Standard Protocols |

