验证数据展示
经过测试的应用
| Positive WB detected in | mouse pancreas tissue, human pancreas tissue, human skeletal muscle tissue |
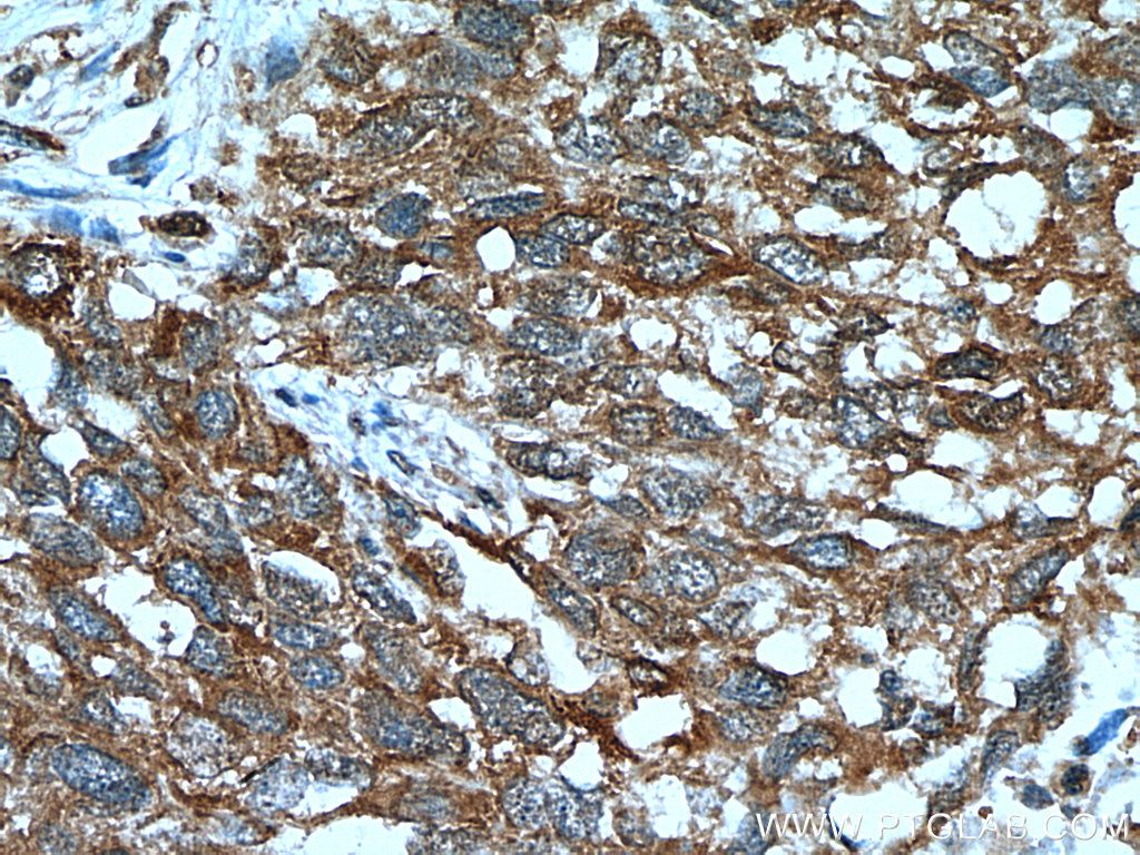
| Positive IHC detected in | human lung cancer tissue, human breast cancer tissue Note: suggested antigen retrieval with TE buffer pH 9.0; (*) Alternatively, antigen retrieval may be performed with citrate buffer pH 6.0 |
| Positive IF/ICC detected in | HeLa cells |
推荐稀释比
| 应用 | 推荐稀释比 |
|---|---|
| Western Blot (WB) | WB : 1:500-1:1000 |
| Immunohistochemistry (IHC) | IHC : 1:50-1:500 |
| Immunofluorescence (IF)/ICC | IF/ICC : 1:50-1:500 |
| It is recommended that this reagent should be titrated in each testing system to obtain optimal results. | |
| Sample-dependent, Check data in validation data gallery. | |
发表文章中的应用
| WB | See 2 publications below |
产品信息
11360-1-AP targets UMP/CMP kinase in WB, IHC, IF/ICC, ELISA applications and shows reactivity with human, mouse, rat samples.
| 经测试应用 | WB, IHC, IF/ICC, ELISA Application Description |
| 文献引用应用 | WB |
| 经测试反应性 | human, mouse, rat |
| 文献引用反应性 | human |
| 免疫原 |
CatNo: Ag1920 Product name: Recombinant human CMPK1 protein Source: e coli.-derived, PGEX-4T Tag: GST Domain: 1-228 aa of BC014961 Sequence: MLSRCRSRLLHVLGLSFLLQTRRPILLCSPRLMKPLVVFVLGGPGAGKGTQCARIVEKYGYTHLSAGELLRDERKNPDSQYGELIEKYIKEGKIVPVEITISLLKREMDQTMAANAQKNKFLIDGFPRNQDNLQGWNKTMDGKADVSFVLFFDCNNEICIERCLERGKSSGRSDDNRESLEKRIQTYLQSTKPIIDLYEEMGKVKKIDASKSVDEVFDEVVQIFDKEG 种属同源性预测 |
| 宿主/亚型 | Rabbit / IgG |
| 抗体类别 | Polyclonal |
| 产品类型 | Antibody |
| 全称 | cytidine monophosphate (UMP-CMP) kinase 1, cytosolic |
| 别名 | CMPK1, Cytidylate kinase, Cytidine monophosphate kinase, CMPK, CMK |
| 计算分子量 | 228 aa, 26 kDa |
| 观测分子量 | 22-26 kDa |
| GenBank蛋白编号 | BC014961 |
| 基因名称 | CMPK1 |
| Gene ID (NCBI) | 51727 |
| RRID | AB_2081395 |
| 偶联类型 | Unconjugated |
| 形式 | Liquid |
| 纯化方式 | Antigen affinity purification |
| UNIPROT ID | P30085 |
| 储存缓冲液 | PBS with 0.02% sodium azide and 50% glycerol, pH 7.3. |
| 储存条件 | Store at -20°C. Stable for one year after shipment. Aliquoting is unnecessary for -20oC storage. |
背景介绍
Pyrimidine nucleoside monophosphate kinase [UMP/CMP kinase (UMP/CMPK)] (CMPK1) is also named as CMK, CMPK, UCK, UMK, UMPK and belongs to the adenylate kinase family. It plays a crucial role in the formation of UDP, CDP, and dCDP, which are required for cellular nucleic acid synthesis(PMID:11912132). CMPK1 can use a broad spectrum of phosphate donors but the best phosphate donors are ATP and dATP. CMPK1 has been reported as a prognostic marker for non-small cell lung cancer, pancreatic cancer and breast cancer (PMID: 21642870, 22838950, 27558661). The longest deduced protein contains 228 amino acids and has a calculated molecular mass of 26 kD. However, translation likely begins at the second initiation methionine, resulting in a protein of 196 amino acids(PMID:10462544). The shorter form is the endogenously translated protein(PMID:11912132). CMPK1 has 3 isoforms with the molecular mass of 22, 16 and 26 kDa.
实验方案
| Product Specific Protocols | |
|---|---|
| IF protocol for UMP/CMP kinase antibody 11360-1-AP | Download protocol |
| IHC protocol for UMP/CMP kinase antibody 11360-1-AP | Download protocol |
| WB protocol for UMP/CMP kinase antibody 11360-1-AP | Download protocol |
| Standard Protocols | |
|---|---|
| Click here to view our Standard Protocols |
发表文章
| Species | Application | Title |
|---|---|---|
J Proteomics Profiling and identification of new proteins involved in brain ischemia using MALDI-imaging-mass-spectrometry. | ||
ACS Pharmacol Transl Sci All Blood Brain Barrier Cell Types Demonstrate Capability to Influence Differential Tenofovir and Emtricitabine Metabolism and Transport in the Brain | ||
Life Sci Integrated multi-omics profiling identifies Cmpk1 as a monocyte-specific therapeutic target for renal ischemia-reperfusion injury |








