验证数据展示
经过测试的应用
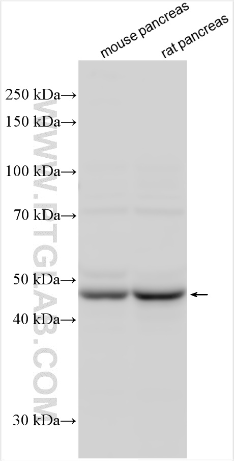
| Positive WB detected in | rat pancreas tissue, mouse brain tissue |
| Positive IHC detected in | human placenta tissue Note: suggested antigen retrieval with TE buffer pH 9.0; (*) Alternatively, antigen retrieval may be performed with citrate buffer pH 6.0 |
| Positive IF/ICC detected in | A431 cells |
推荐稀释比
| 应用 | 推荐稀释比 |
|---|---|
| Western Blot (WB) | WB : 1:1000-1:8000 |
| Immunohistochemistry (IHC) | IHC : 1:400-1:1600 |
| Immunofluorescence (IF)/ICC | IF/ICC : 1:200-1:800 |
| It is recommended that this reagent should be titrated in each testing system to obtain optimal results. | |
| Sample-dependent, Check data in validation data gallery. | |
产品信息
13006-1-AP targets CMAS in WB, IHC, IF/ICC, ELISA applications and shows reactivity with human, mouse, rat samples.
| 经测试应用 | WB, IHC, IF/ICC, ELISA Application Description |
| 经测试反应性 | human, mouse, rat |
| 免疫原 |
CatNo: Ag3686 Product name: Recombinant human CMAS protein Source: e coli.-derived, PGEX-4T Tag: GST Domain: 1-263 aa of BC016609 Sequence: MDSVEKGAATSVSNPRGRPSRGRPPKLQRNSRGGQGRGVEKPPHLAALILARGGSKGIPLKNIKHLAGVPLIGWVLRAALDSGAFQSVWVSTDHDEIENVAKQFGAQVHRRSSEVSKDSSTSLDAIIEFLNYHNEVDIVGNIQATSPCLHPTDLQKVAEMIREEGYDSVFSVVRRHQFRWSEIQKGVREVTEPLNLNPAKRPRRQDWDGELYENGSFYFAKRHLIEMGYLQGGKMAYYEMRAEHSVDIDVDIDWPIAEQRVLR 种属同源性预测 |
| 宿主/亚型 | Rabbit / IgG |
| 抗体类别 | Polyclonal |
| 产品类型 | Antibody |
| 全称 | cytidine monophosphate N-acetylneuraminic acid synthetase |
| 别名 | CMP Neu5Ac SYNTHETASE, CMP NeuNAc synthase, CMP-N-acetylneuraminic acid synthase, CMP-NeuNAc synthase, EC:2.7.7.43 |
| 计算分子量 | 48 kDa |
| 观测分子量 | 48 kDa |
| GenBank蛋白编号 | BC016609 |
| 基因名称 | CMAS |
| Gene ID (NCBI) | 55907 |
| RRID | AB_3085404 |
| 偶联类型 | Unconjugated |
| 形式 | Liquid |
| 纯化方式 | Antigen affinity purification |
| UNIPROT ID | Q8NFW8 |
| 储存缓冲液 | PBS with 0.02% sodium azide and 50% glycerol, pH 7.3. |
| 储存条件 | Store at -20°C. Stable for one year after shipment. Aliquoting is unnecessary for -20oC storage. |
背景介绍
Cytidine monophosphate N-acetylneuraminic acid synthetase (CMAS), a key enzyme in the incorporation pathway, catalyzes the synthesis of CMP-sialic acid by utilizing CTP and sialic acid. Neu5Ac is activated in the nucleus by CMAS to form CMP-Neu5Ac, which is transported to the Golgi apparatus by SLC35A1 for sialylation of glycoproteins and gangliosides catalyzed by specific sialy ltransferases (PMID: 30568043). Low CMAS gene expression correlated with reduced recurrence-free survival in a human colorectal cancer cohort (PMID: 30578646). Western blots indicated a range of bands at ~ 48 kDa.
实验方案
| Product Specific Protocols | |
|---|---|
| IF protocol for CMAS antibody 13006-1-AP | Download protocol |
| IHC protocol for CMAS antibody 13006-1-AP | Download protocol |
| WB protocol for CMAS antibody 13006-1-AP | Download protocol |
| Standard Protocols | |
|---|---|
| Click here to view our Standard Protocols |




