验证数据展示
经过测试的应用
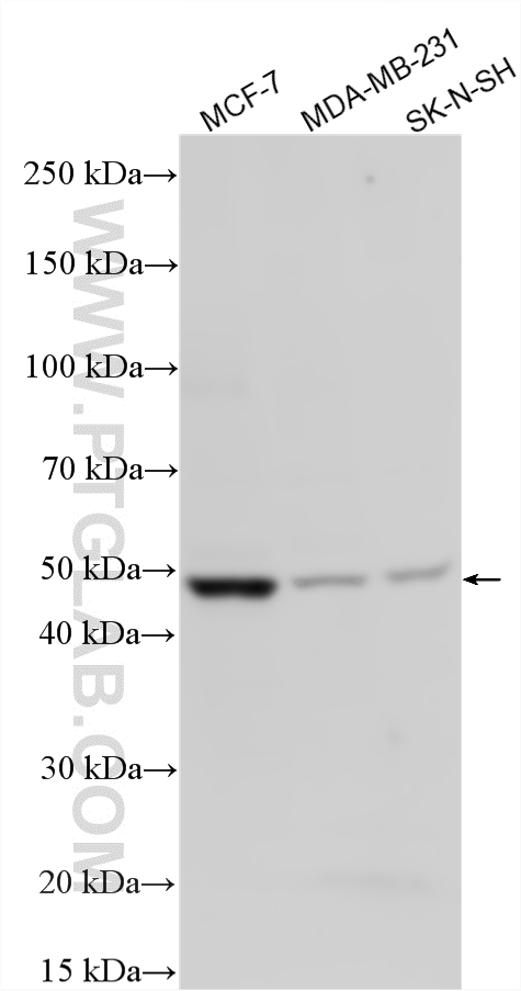
| Positive WB detected in | MCF-7 cells, Jurkat cells, SH-SY5Y cells, Raji cells, MDA-MB-231 cells, SK-N-SH cells |
| Positive IHC detected in | mouse small intestine tissue Note: suggested antigen retrieval with TE buffer pH 9.0; (*) Alternatively, antigen retrieval may be performed with citrate buffer pH 6.0 |
推荐稀释比
| 应用 | 推荐稀释比 |
|---|---|
| Western Blot (WB) | WB : 1:1000-1:4000 |
| Immunohistochemistry (IHC) | IHC : 1:200-1:800 |
| It is recommended that this reagent should be titrated in each testing system to obtain optimal results. | |
| Sample-dependent, Check data in validation data gallery. | |
产品信息
20386-1-AP targets CLN3 in WB, IHC, ELISA applications and shows reactivity with human, mouse samples.
| 经测试应用 | WB, IHC, ELISA Application Description |
| 经测试反应性 | human, mouse |
| 免疫原 |
CatNo: Ag14224 Product name: Recombinant human CLN3 protein Source: e coli.-derived, PGEX-4T Tag: GST Domain: 288-368 aa of BC002394 Sequence: LVVVYFAEYFINQGLFELLFFWNTSLSHAQQYRWYQMLYQAGVFASRSSLRCCRIRFTWALALLQCLNLVFLLADVWFGFL 种属同源性预测 |
| 宿主/亚型 | Rabbit / IgG |
| 抗体类别 | Polyclonal |
| 产品类型 | Antibody |
| 全称 | ceroid-lipofuscinosis, neuronal 3 |
| 别名 | Batten disease protein, BATTENIN, BTS, JNCL, Protein CLN3 |
| 计算分子量 | 438 aa, 48 kDa |
| 观测分子量 | 45-48 kDa |
| GenBank蛋白编号 | BC002394 |
| 基因名称 | CLN3 |
| Gene ID (NCBI) | 1201 |
| RRID | AB_10694819 |
| 偶联类型 | Unconjugated |
| 形式 | Liquid |
| 纯化方式 | Antigen affinity purification |
| UNIPROT ID | Q13286 |
| 储存缓冲液 | PBS with 0.02% sodium azide and 50% glycerol, pH 7.3. |
| 储存条件 | Store at -20°C. Stable for one year after shipment. Aliquoting is unnecessary for -20oC storage. |
背景介绍
Neuronal ceroid lipofuscinosis (NCL, or Batten disease) refers to a group of lethal pediatric neurodegenerative diseases originating from mutations in one of the thus far identified 13 CLN genes (Ceroid Lipofuscinosis, Neuronal type; CLN1 to CLN14) (PMID: 25051496). CLN3 is a multi-membrane spanning protein that is involved in microtubule-dependent, anterograde transport of late endosomes and lysosomes. The CLN3 gene is located on chromosome 16p12.1and produces three mRNA splicing variants. The 438-amino-acid CLN3 protein has a calculated molecular weight of 48 kDa. It has been reported that CLN3 can be glycosylated and form homodimeric complex (PMID: 10356317; 17286803).
实验方案
| Product Specific Protocols | |
|---|---|
| IHC protocol for CLN3 antibody 20386-1-AP | Download protocol |
| WB protocol for CLN3 antibody 20386-1-AP | Download protocol |
| Standard Protocols | |
|---|---|
| Click here to view our Standard Protocols |





