验证数据展示
经过测试的应用
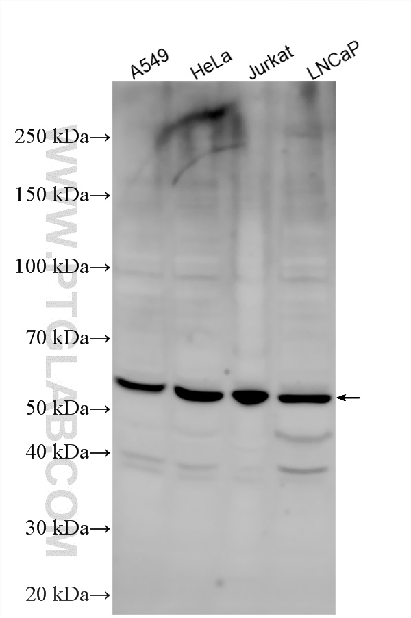
| Positive WB detected in | A549 cells, COLO 320 cells, HeLa cells, Jurkat cells, LNCaP cells |
| Positive IP detected in | COLO 320 cells |
推荐稀释比
| 应用 | 推荐稀释比 |
|---|---|
| Western Blot (WB) | WB : 1:500-1:2000 |
| Immunoprecipitation (IP) | IP : 0.5-4.0 ug for 1.0-3.0 mg of total protein lysate |
| It is recommended that this reagent should be titrated in each testing system to obtain optimal results. | |
| Sample-dependent, Check data in validation data gallery. | |
发表文章中的应用
| WB | See 2 publications below |
产品信息
20439-1-AP targets CLK1 in WB, IP, ELISA applications and shows reactivity with human samples.
| 经测试应用 | WB, IP, ELISA Application Description |
| 文献引用应用 | WB |
| 经测试反应性 | human |
| 文献引用反应性 | human |
| 免疫原 |
CatNo: Ag14214 Product name: Recombinant human CLK1 protein Source: e coli.-derived, PGEX-4T Tag: GST Domain: 1-143 aa of BC031549 Sequence: MRHSKRTYCPDWDDKDWDYGKWRSSSSHKRRKRSHSSAQENKRCKYNHSKMCDSHYLESRSINEKDYHSRRYIDEYRNDYTQGCEPGHRQRDHESRYQNHSSKSSGRSGRSSYKSKHRIHHSTSHRRSHGKSHRRKRTRSVED 种属同源性预测 |
| 宿主/亚型 | Rabbit / IgG |
| 抗体类别 | Polyclonal |
| 产品类型 | Antibody |
| 全称 | CDC-like kinase 1 |
| 别名 | CDC-like kinase 1, CLK, EC:2.7.12.1, STY |
| 计算分子量 | 484 aa, 57 kDa |
| 观测分子量 | 62 kDa |
| GenBank蛋白编号 | BC031549 |
| 基因名称 | CLK1 |
| Gene ID (NCBI) | 1195 |
| RRID | AB_2878686 |
| 偶联类型 | Unconjugated |
| 形式 | Liquid |
| 纯化方式 | Antigen affinity purification |
| UNIPROT ID | P49759 |
| 储存缓冲液 | PBS with 0.02% sodium azide and 50% glycerol, pH 7.3. |
| 储存条件 | Store at -20°C. Stable for one year after shipment. Aliquoting is unnecessary for -20oC storage. |
背景介绍
CLK1 (CDC-like kinase 1) is the dual specificity kinase acting on both serine/threonine and tyrosine-containing substrates. It phosphorylates serine- and arginine-rich (SR) proteins of the spliceosomal complex and may be a constituent of a network of regulatory mechanisms that enable SR proteins to control RNA splicing. It can phosphorylate: SRSF1, SRSF3 and PTPN1 (PMID: 10480872; 19168442). It also regulates the alternative splicing of tissue factor (F3) pre-mRNA in endothelial cells (PMID: 19168442). Elevated CLK1 activity is frequently detected in cancers, where it alters splice isoform balance to promote proliferation, invasion and chemoresistance, making it an emerging therapeutic target.
实验方案
| Product Specific Protocols | |
|---|---|
| IP protocol for CLK1 antibody 20439-1-AP | Download protocol |
| WB protocol for CLK1 antibody 20439-1-AP | Download protocol |
| Standard Protocols | |
|---|---|
| Click here to view our Standard Protocols |
发表文章
| Species | Application | Title |
|---|---|---|
Front Immunol Machine learning-based selection of immune cell markers in osteosarcoma: prognostic determination and validation of CLK1 in disease progression | ||
Front Cell Dev Biol CLK1 is a potential tumor suppressor for NSCLC by regulating cell proliferation and immune infiltration. |




