验证数据展示
经过测试的应用
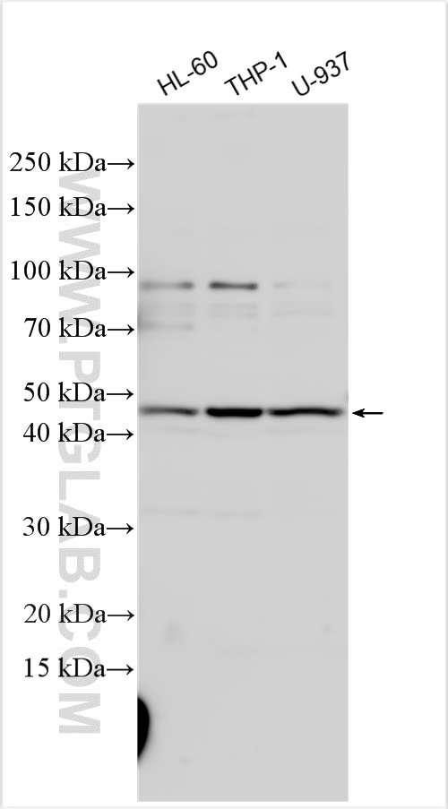
| Positive WB detected in | HL-60 cells, THP-1 cells, U-937 cells |
推荐稀释比
| 应用 | 推荐稀释比 |
|---|---|
| Western Blot (WB) | WB : 1:500-1:1000 |
| It is recommended that this reagent should be titrated in each testing system to obtain optimal results. | |
| Sample-dependent, Check data in validation data gallery. | |
产品信息
22809-1-AP targets Dectin-1 in WB, ELISA applications and shows reactivity with human samples.
| 经测试应用 | WB, ELISA Application Description |
| 经测试反应性 | human |
| 免疫原 |
CatNo: Ag18924 Product name: Recombinant human CLEC7A protein Source: e coli.-derived, PGEX-4T Tag: GST Domain: 1-77 aa of BC013385 Sequence: MEYHPDLENLDEDGYTQLHFDSQSNTRIAVVSEKGSCAASPPWRLIAVILGILCLVILVIAVVLGTMAGFKAVEFKG 种属同源性预测 |
| 宿主/亚型 | Rabbit / IgG |
| 抗体类别 | Polyclonal |
| 产品类型 | Antibody |
| 全称 | C-type lectin domain family 7, member A |
| 别名 | Beta glucan receptor, BGR, CD369, CLEC7A, CLECSF12, DC associated C type lectin 1, Dectin 1, DECTIN1, Dectin-1 |
| 计算分子量 | 247 aa, 28 kDa |
| 观测分子量 | 45 kDa |
| GenBank蛋白编号 | BC013385 |
| 基因名称 | Dectin-1 |
| Gene ID (NCBI) | 64581 |
| RRID | AB_3085702 |
| 偶联类型 | Unconjugated |
| 形式 | Liquid |
| 纯化方式 | Antigen affinity purification |
| UNIPROT ID | Q9BXN2 |
| 储存缓冲液 | PBS with 0.02% sodium azide and 50% glycerol, pH 7.3. |
| 储存条件 | Store at -20°C. Stable for one year after shipment. Aliquoting is unnecessary for -20oC storage. |
背景介绍
Dectin-1, also known as CLEC7A or CD369, is a type II membrane receptor consisting of an extracellular C-terminal C-type lectin domain, a short stalk region, a single transmembrane domain and a short N-terminal cytoplasmic tail, which contains an immunoreceptor tyrosine-based activation motif (PMID: 10779524; 21612412). Dectin-1 is expressed on monocytes, macrophages, neutrophils, dendritic cells and a subpopulation of T cells (PMID: 12244185). Dectin-1 plays a role in the innate immune response. It functions as a pattern-recognition receptor and recognizes a variety of β-glucans from fungi, plants and bacteria. Dectin-1 may also participate in orchestrating the adaptive immune response (PMID: 21612412). The apparent molecular weight is larger than the calculated molecular weight due to glycosylation (PMID: 10779524).
实验方案
| Product Specific Protocols | |
|---|---|
| WB protocol for Dectin-1 antibody 22809-1-AP | Download protocol |
| Standard Protocols | |
|---|---|
| Click here to view our Standard Protocols |
