验证数据展示
经过测试的应用
| Positive WB detected in | HT-29 cells, human placenta tissue, MDA-MB-453s cells, mouse small intestine tissue, MCF-7 cells, MDA-MB-231 cells |
| Positive IP detected in | human placenta tissue |
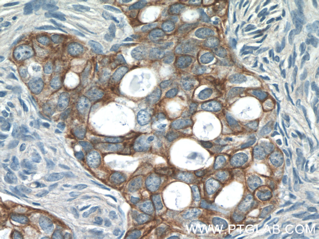
| Positive IHC detected in | human breast cancer tissue, human ovary tumor tissue Note: suggested antigen retrieval with TE buffer pH 9.0; (*) Alternatively, antigen retrieval may be performed with citrate buffer pH 6.0 |
| Positive IF-P detected in | human breast cancer tissue |
推荐稀释比
| 应用 | 推荐稀释比 |
|---|---|
| Western Blot (WB) | WB : 1:2000-1:12000 |
| Immunoprecipitation (IP) | IP : 0.5-4.0 ug for 1.0-3.0 mg of total protein lysate |
| Immunohistochemistry (IHC) | IHC : 1:50-1:500 |
| Immunofluorescence (IF)-P | IF-P : 1:50-1:500 |
| It is recommended that this reagent should be titrated in each testing system to obtain optimal results. | |
| Sample-dependent, Check data in validation data gallery. | |
产品信息
16195-1-AP targets Claudin 4-specific in WB, IHC, IF-P, IP, CoIP, RIP, ELISA applications and shows reactivity with human, mouse, rat samples.
| 经测试应用 | WB, IHC, IF-P, IP, ELISA Application Description |
| 文献引用应用 | WB, IHC, IF, CoIP, RIP |
| 经测试反应性 | human, mouse, rat |
| 文献引用反应性 | human, mouse, rat, pig, canine, bovine |
| 免疫原 |
Peptide 种属同源性预测 |
| 宿主/亚型 | Rabbit / IgG |
| 抗体类别 | Polyclonal |
| 产品类型 | Antibody |
| 全称 | claudin 4 |
| 别名 | Claudin 4, CLDN4, CPE R, CPE receptor, CPER |
| 计算分子量 | 22 kDa |
| 观测分子量 | 22 kDa |
| GenBank蛋白编号 | NM_001305 |
| 基因名称 | Claudin 4 |
| Gene ID (NCBI) | 1364 |
| RRID | AB_2082969 |
| 偶联类型 | Unconjugated |
| 形式 | Liquid |
| 纯化方式 | Antigen affinity purification |
| UNIPROT ID | O14493 |
| 储存缓冲液 | PBS with 0.02% sodium azide and 50% glycerol, pH 7.3. |
| 储存条件 | Store at -20°C. Stable for one year after shipment. Aliquoting is unnecessary for -20oC storage. |
背景介绍
Claudins are a family of proteins that are the most important components of tight junctions, where they establish the paracellular barrier that controls the flow of molecules in the intercellular space between the cells of an epithelium. They are small (20-27 kDa) proteins with similar structures. They have four transmembrane domains, with the N-terminus and the C-terminus in the cytoplasm. This antibody is specifically against Claudin 4. Claudin 4 is overexpressed in a variety of cancers. It can be used as a predictor of recurrent malignant pleural effusion in patients with advanced non-small cell lung cancer (PMID: 38629624).
实验方案
| Product Specific Protocols | |
|---|---|
| IF protocol for Claudin 4-specific antibody 16195-1-AP | Download protocol |
| IHC protocol for Claudin 4-specific antibody 16195-1-AP | Download protocol |
| IP protocol for Claudin 4-specific antibody 16195-1-AP | Download protocol |
| WB protocol for Claudin 4-specific antibody 16195-1-AP | Download protocol |
| Standard Protocols | |
|---|---|
| Click here to view our Standard Protocols |
发表文章
| Species | Application | Title |
|---|---|---|
Cell Metab Gut microbiota modulate distal symmetric polyneuropathy in patients with diabetes | ||
Gut Microbes S-amlodipine induces liver inflammation and dysfunction through the alteration of intestinal microbiome in a rat model | ||
J Hazard Mater Dual effects of JNK activation in blood-milk barrier damage induced by zinc oxide nanoparticles. | ||
Free Radic Biol Med Prenylated xanthones from mangosteen (Garcinia mangostana) activate the AhR and Nrf2 pathways and protect intestinal barrier integrity in HT-29 cells. | ||
Cancers (Basel) Targeting PVT1 Exon 9 Re-Expresses Claudin 4 Protein and Inhibits Migration by Claudin-Low Triple Negative Breast Cancer Cells. | ||
EBioMedicine Akkermansia muciniphila prevents cold-related atrial fibrillation in rats by modulation of TMAO induced cardiac pyroptosis. |












