验证数据展示
经过测试的应用
| Positive WB detected in | mouse brain tissue, HAP1 cells, HEK-293 cells, mouse colon tissue, rat brain tissue |
| Positive IP detected in | mouse brain tissue |
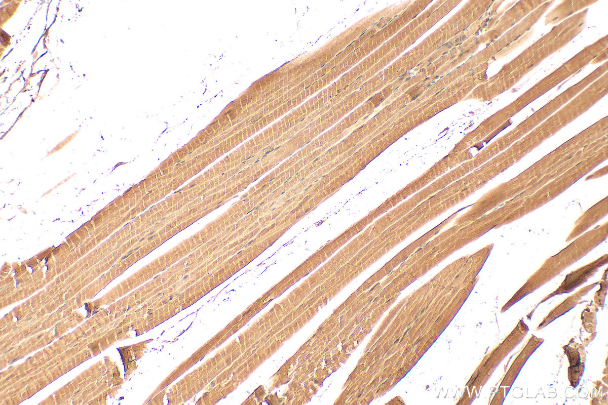
| Positive IHC detected in | mouse skeletal muscle tissue Note: suggested antigen retrieval with TE buffer pH 9.0; (*) Alternatively, antigen retrieval may be performed with citrate buffer pH 6.0 |
推荐稀释比
| 应用 | 推荐稀释比 |
|---|---|
| Western Blot (WB) | WB : 1:5000-1:50000 |
| Immunoprecipitation (IP) | IP : 0.5-4.0 ug for 1.0-3.0 mg of total protein lysate |
| Immunohistochemistry (IHC) | IHC : 1:1000-1:4000 |
| It is recommended that this reagent should be titrated in each testing system to obtain optimal results. | |
| Sample-dependent, Check data in validation data gallery. | |
发表文章中的应用
| WB | See 8 publications below |
| IF | See 2 publications below |
产品信息
15137-1-AP targets CKB/CKM in WB, IHC, IF, IP, ELISA applications and shows reactivity with human, mouse, rat samples.
| 经测试应用 | WB, IHC, IP, ELISA Application Description |
| 文献引用应用 | WB, IF |
| 经测试反应性 | human, mouse, rat |
| 文献引用反应性 | human, mouse, rat |
| 免疫原 |
CatNo: Ag7285 Product name: Recombinant human CKB protein Source: e coli.-derived, PGEX-4T Tag: GST Domain: 1-381 aa of BC001190 Sequence: MPFSNSHNALKLRFPAEDEFPDLSAHNNHMAKVLTPELYAELRAKSTPSGFTLDDVIQTGVDNPGHPYIMTVGCVAGDEESYEVFKDLFDPIIEDRHGGYKPSDEHKTDLNPDNLQGGDDLDPNYVLSSRVRTGRSIRGFCLPPHCSRGERRAIEKLAVEALSSLDGDLAGRYYALKSMTEAEQQQLIDDHFLFDKPVSPLLLASGMARDWPDARGIWHNDNKTFLVWVNEEDHLRVISMQKGGNMKEVFTRFCTGLTQIETLFKSKDYEFMWNPHLGYILTCPSNLGTGLRAGVHIKLPNLGKHEKFSEVLKRLRLQKRGTGGVDTAAVGGVFDVSNADRLGFSEVELVQMVVDGVKLLIEMEQRLEQGQAIDDLMPAQK 种属同源性预测 |
| 宿主/亚型 | Rabbit / IgG |
| 抗体类别 | Polyclonal |
| 产品类型 | Antibody |
| 全称 | creatine kinase, brain |
| 别名 | CKB, KCRB, B CK, B-CK, CKBB |
| 计算分子量 | 43 kDa |
| 观测分子量 | 43 kDa |
| GenBank蛋白编号 | BC001190 |
| 基因名称 | CKB |
| Gene ID (NCBI) | 1152 |
| RRID | AB_2080878 |
| 偶联类型 | Unconjugated |
| 形式 | Liquid |
| 纯化方式 | Antigen affinity purification |
| UNIPROT ID | P12277 |
| 储存缓冲液 | PBS with 0.02% sodium azide and 50% glycerol, pH 7.3. |
| 储存条件 | Store at -20°C. Stable for one year after shipment. Aliquoting is unnecessary for -20oC storage. |
背景介绍
CKBB, also named as B-CK and CKB, is a member of the ATP:guanido phosphotransferase protein family. It is a cytoplasmic enzyme involved in energy homeostasis. CKBB reversibly catalyzes the transfer of phosphate between ATP and various phosphogens such as creatine phosphate. It acts as a homodimer in brain as well as in other tissues, and as a heterodimer with a similar muscle isozyme in heart. CK isoenzymes play a central role in energy transduction in tissues with large, fluctuating energy demands, such as skeletal muscle, heart, brain and spermatozoa. CK MB consists of a dimer of nonidentical chains. With MM being the major form in skeletal muscle and myocardium, MB existing in myocardium, and BB existing in many tissues, especially brain. This antibody can recognize both CKB and CKM due to the high homology.
实验方案
| Product Specific Protocols | |
|---|---|
| IHC protocol for CKB/CKM antibody 15137-1-AP | Download protocol |
| IP protocol for CKB/CKM antibody 15137-1-AP | Download protocol |
| WB protocol for CKB/CKM antibody 15137-1-AP | Download protocol |
| Standard Protocols | |
|---|---|
| Click here to view our Standard Protocols |
发表文章
| Species | Application | Title |
|---|---|---|
Cell Metab Tyrosine Phosphorylation of Mitochondrial Creatine Kinase 1 Enhances a Druggable Tumor Energy Shuttle Pathway. | ||
Sci Adv Glioblastoma exploits ATP from leading-edge astrocytes to fuel its infiltrative growth revealed by spatially resolved chimeric analysis | ||
Food Chem Pu-erh tea increases the metabolite Cinnabarinic acid to improve circadian rhythm disorder-induced obesity. | ||
Toxicol Appl Pharmacol Cytochalasin Q exerts anti-melanoma effect by inhibiting creatine kinase B. | ||
Cell Death Dis Exosomes derived from cardiac progenitor cells attenuate CVB3-induced apoptosis via abrogating the proliferation of CVB3 and modulating the mTOR signaling pathways. | ||
Anticancer Res Comparative Proteomic Profiling of Cisplatin-resistant Nasopharyngeal Carcinoma Cell Lines: Novel Biomarkers for Improving Chemotherapy of NPC. |






