验证数据展示
经过测试的应用
| Positive WB detected in | HeLa cells, Y79 cells |
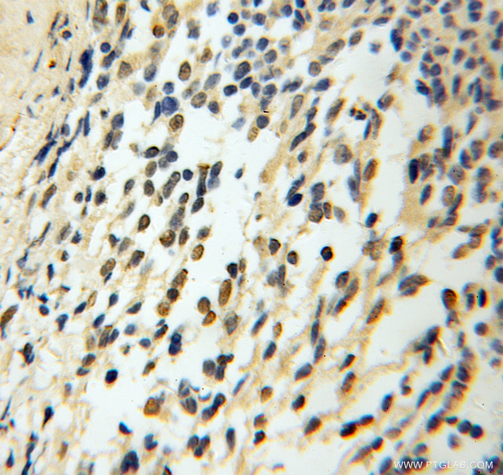
| Positive IHC detected in | human medulloblastoma tissue Note: suggested antigen retrieval with TE buffer pH 9.0; (*) Alternatively, antigen retrieval may be performed with citrate buffer pH 6.0 |
推荐稀释比
| 应用 | 推荐稀释比 |
|---|---|
| Western Blot (WB) | WB : 1:500-1:1000 |
| Immunohistochemistry (IHC) | IHC : 1:20-1:200 |
| It is recommended that this reagent should be titrated in each testing system to obtain optimal results. | |
| Sample-dependent, Check data in validation data gallery. | |
发表文章中的应用
| WB | See 1 publications below |
产品信息
13030-1-AP targets CHTF18 in WB, IHC, ELISA applications and shows reactivity with human, mouse, rat samples.
| 经测试应用 | WB, IHC, ELISA Application Description |
| 文献引用应用 | WB |
| 经测试反应性 | human, mouse, rat |
| 文献引用反应性 | human |
| 免疫原 |
CatNo: Ag3672 Product name: Recombinant human CHTF18 protein Source: e coli.-derived, PGEX-4T Tag: GST Domain: 657-975 aa of BC018184 Sequence: LRLRLRDSSLGAVCVALDWLAFDDLLAGAAHHSQSFQLLRYPPFLPVAFHVLFASSHTPRITFPSSQQEAQNRMSQMRNLIQTLVSGIAPATRSRATPQALLLDALCLLLDILAPKLRPVSTQLYSTREKQQLASLVGTMLAYSLTYRQERTPDGQYIYRLEPNVEELCRFPELPARKPLTYQTKQLIAREIEVEKMRRAEASARVENSPQVDGSPPGLEGLLGGIGEKGVHRPAPRNHEQRLEHIMRRAAREEQPEKDFFGRVVVRSTAVPSAGDTAPEQDSVERRMGTAVGRSEVWFRFNEGVSNAVRRSLYIRDLL 种属同源性预测 |
| 宿主/亚型 | Rabbit / IgG |
| 抗体类别 | Polyclonal |
| 产品类型 | Antibody |
| 全称 | CTF18, chromosome transmission fidelity factor 18 homolog (S. cerevisiae) |
| 别名 | C16orf41, C321D2.2, C321D2.3, C321D2.4, CHL12, CHTF18, Ctf18, hCTF18, RUVBL |
| 计算分子量 | 1184 aa, 129 kDa |
| 观测分子量 | 110 kDa |
| GenBank蛋白编号 | BC018184 |
| 基因名称 | CHTF18 |
| Gene ID (NCBI) | 63922 |
| RRID | AB_2260469 |
| 偶联类型 | Unconjugated |
| 形式 | Liquid |
| 纯化方式 | Antigen affinity purification |
| UNIPROT ID | Q8WVB6 |
| 储存缓冲液 | PBS with 0.02% sodium azide and 50% glycerol, pH 7.3. |
| 储存条件 | Store at -20°C. Stable for one year after shipment. Aliquoting is unnecessary for -20oC storage. |
实验方案
| Product Specific Protocols | |
|---|---|
| IHC protocol for CHTF18 antibody 13030-1-AP | Download protocol |
| WB protocol for CHTF18 antibody 13030-1-AP | Download protocol |
| Standard Protocols | |
|---|---|
| Click here to view our Standard Protocols |


