验证数据展示
经过测试的应用
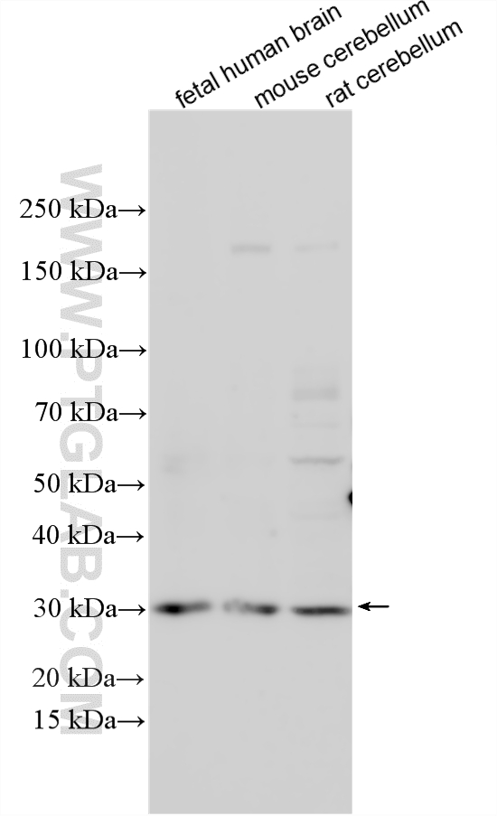
| Positive WB detected in | fetal human brain tissue, mouse heart tissue, mouse cerebellum tissue, rat cerebellum tissue |
| Positive IF-P detected in | mouse skin tissue |
推荐稀释比
| 应用 | 推荐稀释比 |
|---|---|
| Western Blot (WB) | WB : 1:500-1:1000 |
| Immunofluorescence (IF)-P | IF-P : 1:50-1:500 |
| It is recommended that this reagent should be titrated in each testing system to obtain optimal results. | |
| Sample-dependent, Check data in validation data gallery. | |
产品信息
16426-1-AP targets CHST8 in WB, IF-P, ELISA applications and shows reactivity with human, mouse, rat samples.
| 经测试应用 | WB, IF-P, ELISA Application Description |
| 经测试反应性 | human, mouse, rat |
| 免疫原 |
CatNo: Ag9669 Product name: Recombinant human CHST8 protein Source: e coli.-derived, PGEX-4T Tag: GST Domain: 75-424 aa of BC014250 Sequence: VTRDLSSGAPRGRNLPAPDQPQPPLQRGTRLRLRQRRRRLLIKKMPAAATIPANSSDAPFIRPGPGTLDGRWVSLHRSQQERKRVMQEACAKYRASSSRRAVTPRHVSRIFVEDRHRVLYCEVPKAGCSNWKRVLMVLAGLASSTADIQHNTVHYGSALKRLDTFDRQGILHRLSTYTKMLFVREPFERLVSAFRDKFEHPNSYYHPVFGKAILARYRANASREALRTGSGVRFPEFVQYLLDVHRPVGMDIHWDHVSRLCSPCLIDYDFVGKFESMEDDANFFLSLIRAPRNLTFPRFKDRHSQEARTTARIAHQYFAQLSALQRQRTYDFYYMDYLMFNYSKPFADLY 种属同源性预测 |
| 宿主/亚型 | Rabbit / IgG |
| 抗体类别 | Polyclonal |
| 产品类型 | Antibody |
| 全称 | carbohydrate (N-acetylgalactosamine 4-0) sulfotransferase 8 |
| 别名 | EC:2.8.2.-, GalNAc 4 O sulfotransferase 1, GalNAc 4 ST1, GalNAc-4-O-sulfotransferase 1, GalNAc4ST |
| 计算分子量 | 424 aa, 49 kDa |
| 观测分子量 | 30-35 kDa |
| GenBank蛋白编号 | BC014250 |
| 基因名称 | CHST8 |
| Gene ID (NCBI) | 64377 |
| RRID | AB_2229376 |
| 偶联类型 | Unconjugated |
| 形式 | Liquid |
| 纯化方式 | Antigen affinity purification |
| UNIPROT ID | Q9H2A9 |
| 储存缓冲液 | PBS with 0.02% sodium azide and 50% glycerol, pH 7.3. |
| 储存条件 | Store at -20°C. Stable for one year after shipment. Aliquoting is unnecessary for -20oC storage. |
背景介绍
CHST8 (Carbohydrate sulfotransferase 8), also named GalNAc-4-O-sulfotransferase 1 (GalNAc4-ST1), is a Golgi-resident type II transmembrane enzyme that transfers sulfate to the C-4 hydroxyl group of terminal β1,4-linked N-acetylgalactosamine (GalNAc) residues present in both N- and O-glycans.
实验方案
| Product Specific Protocols | |
|---|---|
| IF protocol for CHST8 antibody 16426-1-AP | Download protocol |
| WB protocol for CHST8 antibody 16426-1-AP | Download protocol |
| Standard Protocols | |
|---|---|
| Click here to view our Standard Protocols |



