验证数据展示
经过测试的应用
| Positive WB detected in | human placenta tissue, mouse skeletal muscle tissue, C6 cells |
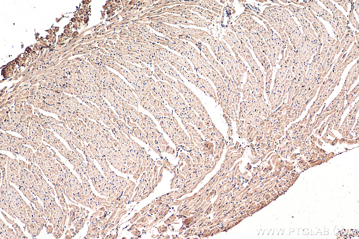
| Positive IHC detected in | mouse heart tissue Note: suggested antigen retrieval with TE buffer pH 9.0; (*) Alternatively, antigen retrieval may be performed with citrate buffer pH 6.0 |
| Positive IF/ICC detected in | HepG2 cells |
推荐稀释比
| 应用 | 推荐稀释比 |
|---|---|
| Western Blot (WB) | WB : 1:500-1:2000 |
| Immunohistochemistry (IHC) | IHC : 1:50-1:500 |
| Immunofluorescence (IF)/ICC | IF/ICC : 1:50-1:500 |
| It is recommended that this reagent should be titrated in each testing system to obtain optimal results. | |
| Sample-dependent, Check data in validation data gallery. | |
产品信息
23953-1-AP targets CHPF N-terminal in WB, IHC, IF/ICC, ELISA applications and shows reactivity with human, mouse, rat samples.
| 经测试应用 | WB, IHC, IF/ICC, ELISA Application Description |
| 文献引用应用 | WB, IHC, IF |
| 经测试反应性 | human, mouse, rat |
| 文献引用反应性 | human |
| 免疫原 |
CatNo: Ag20819 Product name: Recombinant human CHPF protein Source: e coli.-derived, PET30a Tag: 6*His Domain: 1-350 aa of BC023531 Sequence: MRASLLLSVLRPAGPVAVGISLGFTLSLLSVTWVEEPCGPGPPQPGDSELPPRGNTNAARRPNSVQPGAEREKPGAGEGAGENWEPRVLPYHPAQPGQAAKKAVRTRYISTELGIRQRLLVAVLTSQTTLPTLGVAVNRTLGHRLERVVFLTGARGRRAPPGMAVVTLGEERPIGHLHLALRHLLEQHGDDFDWFFLVPDTTYTEAHGLARLTGHLSLASAAHLYLGRPQDFIGGEPTPGRYCHGGFGVLLSRMLLQQLRPHLEGCRNDIVSARPDEWLGRCILDATGVGCTGDHEGVHYSHLELSPGEPVQEGDPHFRSALTAHPVRDPVHMYQLHKAFARAELERTYQ 种属同源性预测 |
| 宿主/亚型 | Rabbit / IgG |
| 抗体类别 | Polyclonal |
| 产品类型 | Antibody |
| 全称 | chondroitin polymerizing factor |
| 别名 | ChPF, Chondroitin-polymerizing factor, EC:2.4.1.175, CSS2, CHSY2 |
| 计算分子量 | 85 kDa |
| 观测分子量 | 85-90 kDa, 65-70 kDa |
| GenBank蛋白编号 | BC023531 |
| 基因名称 | CHPF |
| Gene ID (NCBI) | 79586 |
| RRID | AB_2879373 |
| 偶联类型 | Unconjugated |
| 形式 | Liquid |
| 纯化方式 | Antigen Affinity purified |
| UNIPROT ID | Q8IZ52 |
| 储存缓冲液 | PBS with 0.02% sodium azide and 50% glycerol, pH 7.3. |
| 储存条件 | Store at -20°C. Stable for one year after shipment. Aliquoting is unnecessary for -20oC storage. |
实验方案
| Product Specific Protocols | |
|---|---|
| IF protocol for CHPF N-terminal antibody 23953-1-AP | Download protocol |
| IHC protocol for CHPF N-terminal antibody 23953-1-AP | Download protocol |
| WB protocol for CHPF N-terminal antibody 23953-1-AP | Download protocol |
| Standard Protocols | |
|---|---|
| Click here to view our Standard Protocols |
发表文章
| Species | Application | Title |
|---|---|---|
Cells Targeting Chondroitin Sulfate Reduces Invasiveness of Glioma Cells by Suppressing CD44 and Integrin β1 Expression. | ||
J Cell Commun Signal Chondroitin polymerizing factor predicts a poor prognosis and promotes breast cancer progression via the upstream TGF-β1/SMAD3 and JNK axis activation | ||
Aging (Albany NY) The HNF4A-CHPF pathway promotes proliferation and invasion through interactions with MAD1L1 in glioma
| ||
Cancer Innov Identification of Chondroitin Polymerizing Factor as a Biomarker for Colorectal Cancer by the Human Villi Development Model.
|





