验证数据展示
经过测试的应用
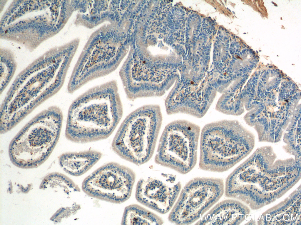
| Positive IHC detected in | mouse pancreas tissue, human lung cancer tissue, human small intestine tissue, human colon tissue, mouse colon tissue, human appendicitis tissue Note: suggested antigen retrieval with TE buffer pH 9.0; (*) Alternatively, antigen retrieval may be performed with citrate buffer pH 6.0 |
| Positive IF-P detected in | mouse small intestine tissue |
| Positive IF-Fro detected in | mouse small intestine tissue |
| Positive IF/ICC detected in | Neuro-2a cells |
推荐稀释比
| 应用 | 推荐稀释比 |
|---|---|
| Immunohistochemistry (IHC) | IHC : 1:500-1:2000 |
| Immunofluorescence (IF)-P | IF-P : 1:50-1:500 |
| Immunofluorescence (IF)-FRO | IF-FRO : 1:50-1:500 |
| Immunofluorescence (IF)/ICC | IF/ICC : 1:200-1:800 |
| It is recommended that this reagent should be titrated in each testing system to obtain optimal results. | |
| Sample-dependent, Check data in validation data gallery. | |
发表文章中的应用
| IHC | See 3 publications below |
| IF | See 2 publications below |
产品信息
23342-1-AP targets Chromogranin A in IHC, IF/ICC, IF-P, IF-Fro, ELISA applications and shows reactivity with human, mouse samples.
| 经测试应用 | IHC, IF/ICC, IF-P, IF-Fro, ELISA Application Description |
| 文献引用应用 | IHC, IF |
| 经测试反应性 | human, mouse |
| 文献引用反应性 | human, mouse |
| 免疫原 |
CatNo: Ag19780 Product name: Recombinant human CHGA protein Source: e coli.-derived, PET28a Tag: 6*His Domain: 19-457 aa of BC006459 Sequence: LPVNSPMNKGDTEVMKCIVEVISDTLSKPSPMPVSQECFETLRGDERILSILRHQNLLKELQDLALQGAKERAHQQKKHSGFEDELSEVLENQSSQAELKEAVEEPSSKDVMEKREDSKEAEKSGEATDGARPQALPEPMQESKAEGNNQAPGEEEEEEEEATNTHPPASLPSQKYPGPQAEGDSEGLSQGLVDREKGLSAEPGWQAKREEEEEEEEEAEAGEEAVPEEEGPTVVLNPHPSLGYKEIRKGESRSEALAVDGAGKPGAEEAQDPEGKGEQEHSQQKEEEEEMAVVPQGLFRGGKSGELEQEEERLSKEWEDSKRWSKMDQLAKELTAEKRLEGQEEEEDNRDSSMKLSFRARAYGFRGPGPQLRRGWRPSSREDSLEAGLPLQVRGYPEEKKEEEGSANRRPEDQELESLSAIEAELEKVAHQLQALRRG 种属同源性预测 |
| 宿主/亚型 | Rabbit / IgG |
| 抗体类别 | Polyclonal |
| 产品类型 | Antibody |
| 全称 | chromogranin A (parathyroid secretory protein 1) |
| 别名 | CGA, CHGA, AL-11, Chromogranin-A, EA-92 |
| 计算分子量 | 51 kDa |
| GenBank蛋白编号 | BC006459 |
| 基因名称 | Chromogranin A |
| Gene ID (NCBI) | 1113 |
| RRID | AB_2879259 |
| 偶联类型 | Unconjugated |
| 形式 | Liquid |
| 纯化方式 | Antigen affinity purification |
| UNIPROT ID | P10645 |
| 储存缓冲液 | PBS with 0.02% sodium azide and 50% glycerol, pH 7.3. |
| 储存条件 | Store at -20°C. Stable for one year after shipment. Aliquoting is unnecessary for -20oC storage. |
背景介绍
Chromogranin A is a member of the granin family of neuroendocrine secretory proteins. It is located in secretory vesicles of neurons and endocrine cells. Chromogranin A is the precursor to several functional peptides including vasostatin, pancreastatin, catestatin and parastatin. These peptides negatively modulate the neuroendocrine function of the releasing cell (autocrine) or nearby cells (paracrine). CgA is one of the most used tumor markers in NET's (neuroendocrine tumors) , and elevated CgA concentrations have been demonstrated in serum or plasma of patients with different types of these tumors.
实验方案
| Product Specific Protocols | |
|---|---|
| IF protocol for Chromogranin A antibody 23342-1-AP | Download protocol |
| IHC protocol for Chromogranin A antibody 23342-1-AP | Download protocol |
| Standard Protocols | |
|---|---|
| Click here to view our Standard Protocols |
发表文章
| Species | Application | Title |
|---|---|---|
Front Immunol New insights into markers for distinguishing neuroendocrine prostate cancer: evidence from single-cell analysis | ||
J Transl Med SLIT3-mediated intratumoral crosstalk induces neuroblastoma differentiation via a spontaneous regression-like program | ||
Cell Biol Int Modeling Lipopolysaccharide-Elicited Inflammation Using 3D Mouse Gastric Organoids | ||
Dev Cell Neuroendocrine control of intestinal regeneration through the vascular niche in Drosophila. | ||
Cell Mol Gastroenterol Hepatol Elevated Protein Kinase A Activity in Stomach Mesenchyme Disrupts Mesenchymal-epithelial Crosstalk and Induces Preneoplasia |


















