验证数据展示
经过测试的应用
| Positive WB detected in | A431 cells, HeLa cells, Jurkat cells |
| Positive IP detected in | Jurkat cells |
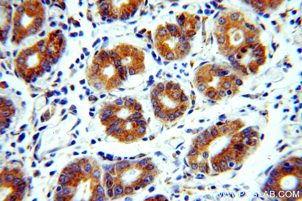
| Positive IHC detected in | human stomach tissue Note: suggested antigen retrieval with TE buffer pH 9.0; (*) Alternatively, antigen retrieval may be performed with citrate buffer pH 6.0 |
| Positive IF/ICC detected in | MCF-7 cells |
推荐稀释比
| 应用 | 推荐稀释比 |
|---|---|
| Western Blot (WB) | WB : 1:1000-1:4000 |
| Immunoprecipitation (IP) | IP : 0.5-4.0 ug for 1.0-3.0 mg of total protein lysate |
| Immunohistochemistry (IHC) | IHC : 1:20-1:200 |
| Immunofluorescence (IF)/ICC | IF/ICC : 1:200-1:800 |
| It is recommended that this reagent should be titrated in each testing system to obtain optimal results. | |
| Sample-dependent, Check data in validation data gallery. | |
产品信息
20639-1-AP targets CHCHD6 in WB, IHC, IF/ICC, IP, CoIP, ELISA applications and shows reactivity with human samples.
| 经测试应用 | WB, IHC, IF/ICC, IP, ELISA Application Description |
| 文献引用应用 | WB, IF, CoIP |
| 经测试反应性 | human |
| 文献引用反应性 | human, mouse |
| 免疫原 |
CatNo: Ag14700 Product name: Recombinant human CHCHD6 protein Source: e coli.-derived, PGEX-4T Tag: GST Domain: 1-235 aa of BC006123 Sequence: MGSTESSEGRRVSFGVDEEERVRVLQGVRLSENVVNRMKEPSSPPPAPTSSTFGLQDGNLRAPHKESTLPRSGSSGGQQPSGMKEGVKRYEQEHAAIQDKLFQVAKREREAATKHSKASLPTGEGSISHEEQKSVRLARELESREAELRRRDTFYKEQLERIERKNAEMYKLSSEQFHEAASKMESTIKPRRVEPVCSGLQAQILHCYRDRPHEVLLCSDLVKAYQRCVSAAHKG 种属同源性预测 |
| 宿主/亚型 | Rabbit / IgG |
| 抗体类别 | Polyclonal |
| 产品类型 | Antibody |
| 全称 | coiled-coil-helix-coiled-coil-helix domain containing 6 |
| 别名 | CHCM1, Coiled-coil-helix cristae morphology protein 1, Coiled-coil-helix-coiled-coil-helix domain-containing protein 6, MIC25, MICOS complex subunit MIC25 |
| 计算分子量 | 235 aa, 26 kDa |
| 观测分子量 | 26-29 kDa |
| GenBank蛋白编号 | BC006123 |
| 基因名称 | CHCHD6 |
| Gene ID (NCBI) | 84303 |
| RRID | AB_10697667 |
| 偶联类型 | Unconjugated |
| 形式 | Liquid |
| 纯化方式 | Antigen affinity purification |
| UNIPROT ID | Q9BRQ6 |
| 储存缓冲液 | PBS with 0.02% sodium azide and 50% glycerol, pH 7.3. |
| 储存条件 | Store at -20°C. Stable for one year after shipment. Aliquoting is unnecessary for -20oC storage. |
实验方案
| Product Specific Protocols | |
|---|---|
| IF protocol for CHCHD6 antibody 20639-1-AP | Download protocol |
| IHC protocol for CHCHD6 antibody 20639-1-AP | Download protocol |
| IP protocol for CHCHD6 antibody 20639-1-AP | Download protocol |
| WB protocol for CHCHD6 antibody 20639-1-AP | Download protocol |
| Standard Protocols | |
|---|---|
| Click here to view our Standard Protocols |
发表文章
| Species | Application | Title |
|---|---|---|
Elife QIL1 is a novel mitochondrial protein required for MICOS complex stability and cristae morphology. | ||
EMBO Rep Cristae undergo continuous cycles of membrane remodelling in a MICOS-dependent manner. | ||
Elife QIL1 mutation causes MICOS disassembly and early onset fatal mitochondrial encephalopathy with liver disease. | ||
Cell Death Differ Mic60/Mitofilin determines MICOS assembly essential for mitochondrial dynamics and mtDNA nucleoid organization.
| ||
Sci Rep Mitofilin and CHCHD6 physically interact with Sam50 to sustain cristae structure.
| ||
Biochim Biophys Acta Biomembr Conserved GxxxG and WN motifs of MIC13 are essential for bridging two MICOS subcomplexes. |




