验证数据展示
经过测试的应用
| Positive WB detected in | HEK-293 cells, human placenta tissue, HeLa cells, Jurkat cells, NIH/3T3 cells, NIH/3T3 cells., mouse liver tissue, rat liver tissue |
| Positive IP detected in | HeLa cells |
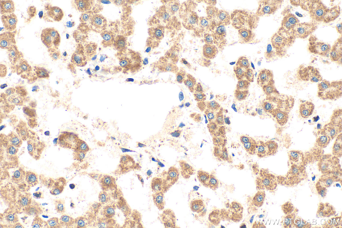
| Positive IHC detected in | human liver tissue Note: suggested antigen retrieval with TE buffer pH 9.0; (*) Alternatively, antigen retrieval may be performed with citrate buffer pH 6.0 |
| Positive IF/ICC detected in | HepG2 cells |
推荐稀释比
| 应用 | 推荐稀释比 |
|---|---|
| Western Blot (WB) | WB : 1:4000-1:12000 |
| Immunoprecipitation (IP) | IP : 0.5-4.0 ug for 1.0-3.0 mg of total protein lysate |
| Immunohistochemistry (IHC) | IHC : 1:50-1:500 |
| Immunofluorescence (IF)/ICC | IF/ICC : 1:50-1:500 |
| It is recommended that this reagent should be titrated in each testing system to obtain optimal results. | |
| Sample-dependent, Check data in validation data gallery. | |
产品信息
25625-1-AP targets CHCHD3/MIC19 in WB, IHC, IF/ICC, IP, CoIP, ELISA applications and shows reactivity with human, mouse, rat samples.
| 经测试应用 | WB, IHC, IF/ICC, IP, ELISA Application Description |
| 文献引用应用 | WB, IHC, IF, IP, CoIP |
| 经测试反应性 | human, mouse, rat |
| 文献引用反应性 | human, mouse |
| 免疫原 |
CatNo: Ag22579 Product name: Recombinant human CHCHD3 protein Source: e coli.-derived, PGEX-4T Tag: GST Domain: 1-227 aa of BC014839 Sequence: MGGTTSTRRVTFEADENENITVVKGIRLSENVIDRMKESSPSGSKSQRYSGAYGASVSDEELKRRVAEELALEQAKKESEDQKRLKQAKELDRERAAANEQLTRAILRERICSEEERAKAKHLARQLEEKDRVLKKQDAFYKEQLARLEERSSEFYRVTTEQYQKAAEEVEAKFKRYESHPVCADLQAKILQCYRENTHQTLKCSALATQYMHCVNHAKQSMLEKGG 种属同源性预测 |
| 宿主/亚型 | Rabbit / IgG |
| 抗体类别 | Polyclonal |
| 产品类型 | Antibody |
| 全称 | coiled-coil-helix-coiled-coil-helix domain containing 3 |
| 别名 | CHCHD3, Coiled-coil-helix-coiled-coil-helix domain-containing protein 3, MIC19, MICOS complex subunit MIC19, MINOS3 |
| 计算分子量 | 227 aa, 26 kDa |
| 观测分子量 | 26 kDa |
| GenBank蛋白编号 | BC014839 |
| 基因名称 | CHCHD3 |
| Gene ID (NCBI) | 54927 |
| RRID | AB_2687533 |
| 偶联类型 | Unconjugated |
| 形式 | Liquid |
| 纯化方式 | Antigen affinity purification |
| UNIPROT ID | Q9NX63 |
| 储存缓冲液 | PBS with 0.02% sodium azide and 50% glycerol, pH 7.3. |
| 储存条件 | Store at -20°C. Stable for one year after shipment. Aliquoting is unnecessary for -20oC storage. |
背景介绍
CHCHD3, initially identified as a substrate for cAMP-dependent protein kinase (PKA), is a ubiquitous protein in the mitochondria and plays a prominent role in maintaining cristae integrity and mitochondrial function. In mitochondria, ChChd3 is predominantly localized to the inner membrane (IM), facing toward the intermembrane space (IMS), and is part of the large protein complex now called as MINOS (mitochondrial inner membrane organizing system), or MIB (mitochondrial intermembrane space bridging) CHCHD3 is highly conserved in mammals with human and mouse protein sharing ∼92% sequence similarity.
实验方案
| Product Specific Protocols | |
|---|---|
| IF protocol for CHCHD3/MIC19 antibody 25625-1-AP | Download protocol |
| IHC protocol for CHCHD3/MIC19 antibody 25625-1-AP | Download protocol |
| IP protocol for CHCHD3/MIC19 antibody 25625-1-AP | Download protocol |
| WB protocol for CHCHD3/MIC19 antibody 25625-1-AP | Download protocol |
| Standard Protocols | |
|---|---|
| Click here to view our Standard Protocols |
发表文章
| Species | Application | Title |
|---|---|---|
Nat Commun Stalled translation by mitochondrial stress upregulates a CNOT4-ZNF598 ribosomal quality control pathway important for tissue homeostasis | ||
Acta Neuropathol Mitochondria, ER, and nuclear membrane defects reveal early mechanisms for upper motor neuron vulnerability with respect to TDP-43 pathology. | ||
Mol Cell Acylglycerol Kinase Mutated in Sengers Syndrome Is a Subunit of the TIM22 Protein Translocase in Mitochondria. | ||
Nat Commun Mitochondrial membrane proteins and VPS35 orchestrate selective removal of mtDNA | ||
EMBO Rep Cristae undergo continuous cycles of membrane remodelling in a MICOS-dependent manner. | ||
Cell Rep Optic Atrophy 1 Is Epistatic to the Core MICOS Component MIC60 in Mitochondrial Cristae Shape Control. |









