验证数据展示
经过测试的应用
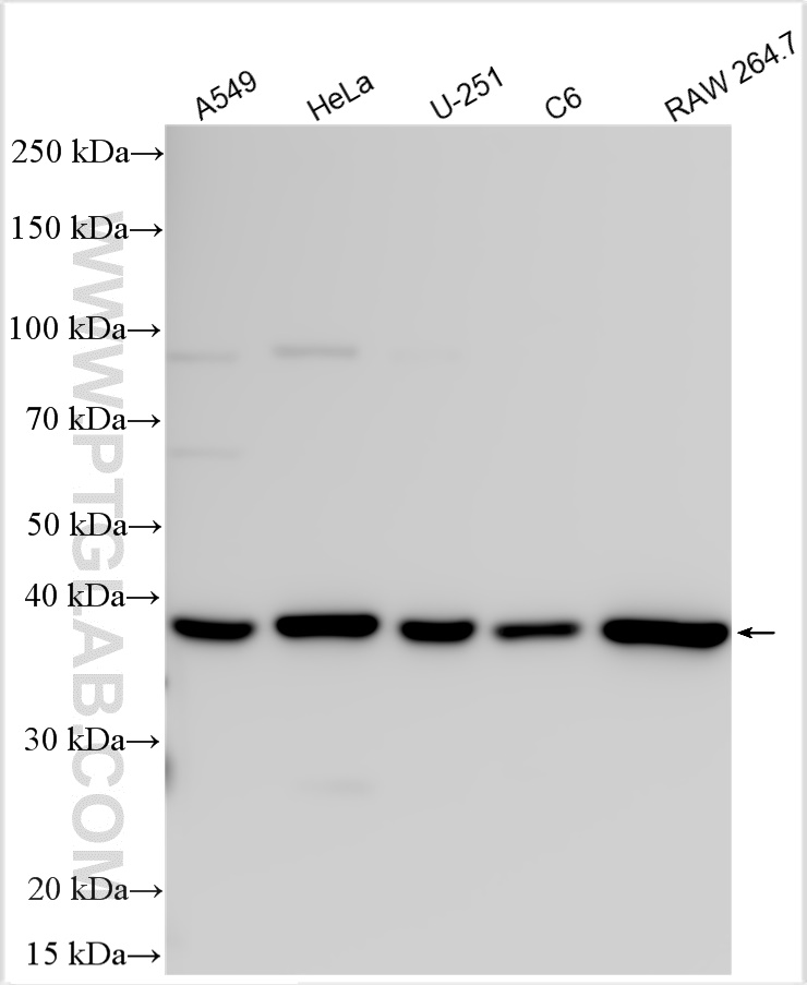
| Positive WB detected in | HeLa cells, A549 cells, CHO cells, U-251 cells, C6 cells, RAW 264.7 cells |
| Positive IHC detected in | human stomach tissue Note: suggested antigen retrieval with TE buffer pH 9.0; (*) Alternatively, antigen retrieval may be performed with citrate buffer pH 6.0 |
推荐稀释比
| 应用 | 推荐稀释比 |
|---|---|
| Western Blot (WB) | WB : 1:500-1:2000 |
| Immunohistochemistry (IHC) | IHC : 1:50-1:500 |
| It is recommended that this reagent should be titrated in each testing system to obtain optimal results. | |
| Sample-dependent, Check data in validation data gallery. | |
产品信息
15207-1-AP targets CHAC1 in WB, IHC, IF, IP, CoIP, ELISA applications and shows reactivity with human, mouse, rat, hamster samples.
| 经测试应用 | WB, IHC, ELISA Application Description |
| 文献引用应用 | WB, IHC, IF, IP, CoIP |
| 经测试反应性 | human, mouse, rat, hamster |
| 文献引用反应性 | human, mouse, rat, chicken, yeast |
| 免疫原 |
CatNo: Ag7360 Product name: Recombinant human CHAC1 protein Source: e coli.-derived, PGEX-4T Tag: GST Domain: 1-222 aa of BC001847 Sequence: MKQESAAPNTPPTSQSPTPSAQFPRNDGDPQALWIFGYGSLVWRPDFAYSDSRVGFVRGYSRRFWQGDTFHRGSDKMPGRVVTLLEDHEGCTWGVAYQVQGEQVSKALKYLNVREAVLGGYDTKEVTFYPQDAPDQPLKALAYVATPQNPGYLGPAPEEAIATQILACRGFSGHNLEYLLRLADFMQLCGPQAQDEHLAAIVDAVGTMLPCFCPTEQALALV 种属同源性预测 |
| 宿主/亚型 | Rabbit / IgG |
| 抗体类别 | Polyclonal |
| 产品类型 | Antibody |
| 全称 | ChaC, cation transport regulator homolog 1 (E. coli) |
| 别名 | Blocks Notch protein, Botch, Cation transport regulator-like protein 1, EC:4.3.2.7, Gamma-GCG 1 |
| 计算分子量 | 24 kDa |
| 观测分子量 | 38 kDa |
| GenBank蛋白编号 | BC001847 |
| 基因名称 | CHAC1 |
| Gene ID (NCBI) | 79094 |
| RRID | AB_2878118 |
| 偶联类型 | Unconjugated |
| 形式 | Liquid |
| 纯化方式 | Antigen affinity purification |
| UNIPROT ID | Q9BUX1 |
| 储存缓冲液 | PBS with 0.02% sodium azide and 50% glycerol, pH 7.3. |
| 储存条件 | Store at -20°C. Stable for one year after shipment. Aliquoting is unnecessary for -20oC storage. |
背景介绍
CHAC1(Cation transport regulator-like protein 1) was identified in a co-regulated group of genes enriched for components of the ATF4 (activating transcription factor 4) arm of the unfolded protein response pathway. CHAC1 is a proapoptotic ER stress protein downstream of the pancreatic EIF2α kinase-ATF4 pathway that appears to be important for human physiology and disease(PMID: 19109178). In addition, the study found that high CHAC1 expression is associated with a bad prognosis hinting that CHAC1 may have a possible prognostic significance in breast cancer(PMID: 35930144). The predicted molecular weight of CHAC1 is 24 kDa, and the molecular weight detected by Proteintech is 38 kDa (PMID: 39368995).
实验方案
| Product Specific Protocols | |
|---|---|
| IHC protocol for CHAC1 antibody 15207-1-AP | Download protocol |
| WB protocol for CHAC1 antibody 15207-1-AP | Download protocol |
| Standard Protocols | |
|---|---|
| Click here to view our Standard Protocols |
发表文章
| Species | Application | Title |
|---|---|---|
Proc Natl Acad Sci U S A Consequences of poly(ethylene oxide) and poloxamer P188 on transcription in healthy and stressed myoblasts | ||
Cell Mol Gastroenterol Hepatol Hepatic TGFβr1 Deficiency Attenuates Lipopolysaccharide/D-Galactosamine-Induced Acute Liver Failure Through Inhibiting GSK3β-Nrf2-Mediated Hepatocyte Apoptosis and Ferroptosis. | ||
Free Radic Biol Med High-fat diet aggravates colitis-associated carcinogenesis by evading ferroptosis in the ER stress-mediated pathway. | ||
Liver Int miR-210-3p Ameliorates Metabolic Dysfunction-Associated Steatohepatitis-Related Fibrosis by Targeting ISCU and Induces Ferroptosis | ||
Commun Biol Astragalin promotes HSCs ferroptosis through NCOA4 mediated ferritinophagy to alleviate liver fibrosis in zebrafish and mice | ||
Lung ETS1 Ameliorates Hyperoxia-Induced Bronchopulmonary Dysplasia in Mice by Activating Nrf2/HO-1 Mediated Ferroptosis |





