验证数据展示
经过测试的应用
| Positive WB detected in | JAR cells, human placenta tissue, mouse testis tissue, rat testis tissue |
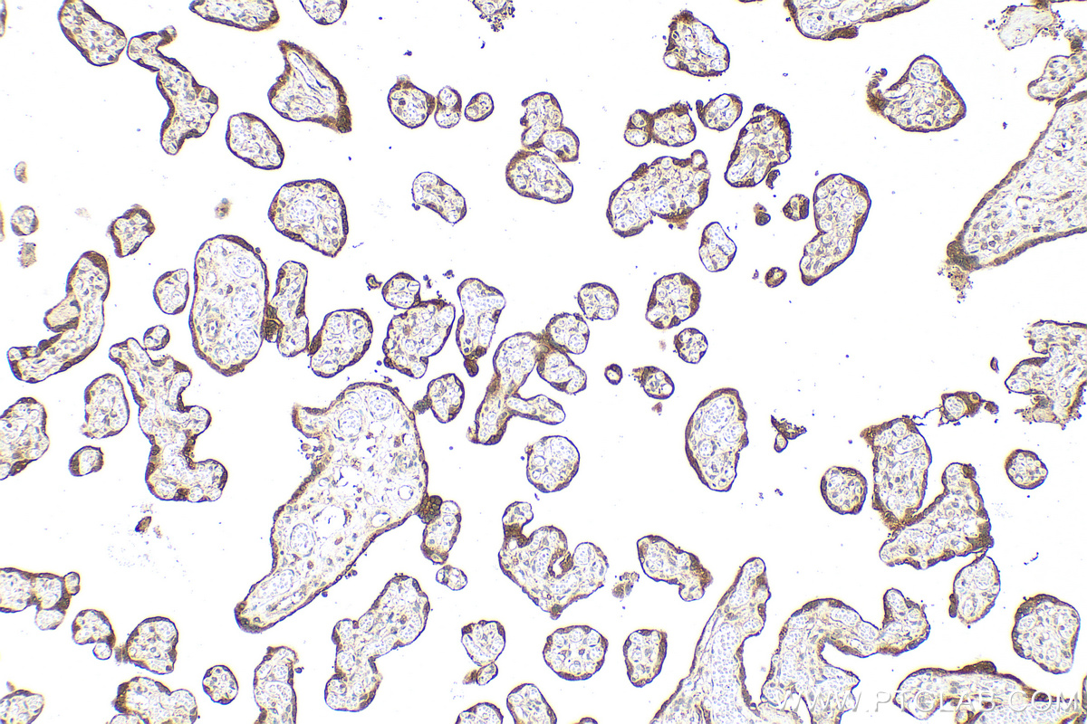
| Positive IHC detected in | human placenta tissue, human breast cancer tissue Note: suggested antigen retrieval with TE buffer pH 9.0; (*) Alternatively, antigen retrieval may be performed with citrate buffer pH 6.0 |
推荐稀释比
| 应用 | 推荐稀释比 |
|---|---|
| Western Blot (WB) | WB : 1:2000-1:12000 |
| Immunohistochemistry (IHC) | IHC : 1:500-1:2000 |
| It is recommended that this reagent should be titrated in each testing system to obtain optimal results. | |
| Sample-dependent, Check data in validation data gallery. | |
产品信息
11615-1-AP targets hCG Beta in WB, IHC, IF, ELISA applications and shows reactivity with human, mouse, rat samples.
| 经测试应用 | WB, IHC, ELISA Application Description |
| 文献引用应用 | WB, IHC, IF |
| 经测试反应性 | human, mouse, rat |
| 文献引用反应性 | human |
| 免疫原 |
CatNo: Ag2191 Product name: Recombinant human CGB,hCG protein Source: e coli.-derived, PGEX-4T Tag: GST Domain: 1-165 aa of BC022796 Sequence: MEMFQGLLLLLLLSMGGTWASKEPLRPRCRPINATLAVEKEGCPVCITVNTTICAGYCPTMTRVLQGVLPALPQVVCNYRDVRFESIRLPGCPRGVNPVVSYAVALSCQCALCRRSTTDCGGPKDHPLTCDDPRFQDSSSSKAPPPSLPSPSRLPGPSDTPILPQ 种属同源性预测 |
| 宿主/亚型 | Rabbit / IgG |
| 抗体类别 | Polyclonal |
| 产品类型 | Antibody |
| 全称 | CG beta |
| 别名 | CGB, CGB,hCG, CG beta, CGB3, CGbeta |
| 计算分子量 | 165 aa, 18 kDa |
| GenBank蛋白编号 | BC022796 |
| 基因名称 | hCG Beta |
| Gene ID (NCBI) | 1082 |
| RRID | AB_2877783 |
| 偶联类型 | Unconjugated |
| 形式 | Liquid |
| 纯化方式 | Antigen affinity purification |
| UNIPROT ID | P0DN86 |
| 储存缓冲液 | PBS with 0.02% sodium azide and 50% glycerol, pH 7.3. |
| 储存条件 | Store at -20°C. Stable for one year after shipment. Aliquoting is unnecessary for -20oC storage. |
背景介绍
Beta-hCG (beta-human chorionic gonadotropin) is a glycoprotein hormone produced by the placenta during pregnancy. It is a critical marker used in both obstetrics and oncology for various diagnostic and monitoring purposes. hCG is composed of two subunits: an alpha subunit (similar to other glycoprotein hormones like LH, FSH, and TSH) and a unique beta subunit (β-hCG). The beta subunit is the primary focus for diagnostic tests due to its specificity. β-hCG is initially secreted by the syncytiotrophoblast cells surrounding the developing embryo and later by the placenta.
实验方案
| Product Specific Protocols | |
|---|---|
| IHC protocol for hCG Beta antibody 11615-1-AP | Download protocol |
| WB protocol for hCG Beta antibody 11615-1-AP | Download protocol |
| Standard Protocols | |
|---|---|
| Click here to view our Standard Protocols |
发表文章
| Species | Application | Title |
|---|---|---|
J Transl Med STK40 inhibits trophoblast fusion by mediating COP1 ubiquitination to degrade P57Kip2 | ||
iScience Demethylase FTO-mediated m6A modification of SIK1 modulates placental cytotrophoblast syncytialization in type 2 diabetes mellitus | ||
EBioMedicine Molecular mechanisms underlying altered neurobehavioural development of female offspring of mothers with polycystic ovary syndrome: FOS-mediated regulation of neurotrophins in placenta. | ||
Cell Signal Hypermethylation and low expression of FOXM1 predisposes women to unexplained recurrent miscarriage by impairing trophoblast stem cell proliferation | ||
Eur J Pharm Sci Transplacental transfer of metformin and interaction of metformin with the uptake transporters of placental trophoblast cells | ||
Mol Cell Endocrinol Activation of G protein-coupled estrogen receptor stimulates placental human chorionic gonadotropin expression through PKA-CREB signaling |





