验证数据展示
经过测试的应用
| Positive WB detected in | U-937 cells, THP-1 cells |
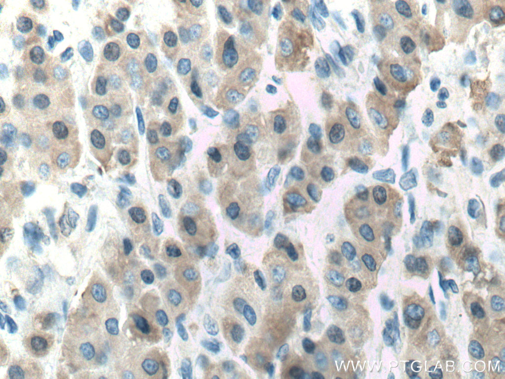
| Positive IHC detected in | human liver tissue, human liver cancer tissue Note: suggested antigen retrieval with TE buffer pH 9.0; (*) Alternatively, antigen retrieval may be performed with citrate buffer pH 6.0 |
| Positive IF/ICC detected in | HepG2 cells |
推荐稀释比
| 应用 | 推荐稀释比 |
|---|---|
| Western Blot (WB) | WB : 1:2000-1:10000 |
| Immunohistochemistry (IHC) | IHC : 1:300-1:1200 |
| Immunofluorescence (IF)/ICC | IF/ICC : 1:50-1:500 |
| It is recommended that this reagent should be titrated in each testing system to obtain optimal results. | |
| Sample-dependent, Check data in validation data gallery. | |
发表文章中的应用
| WB | See 1 publications below |
产品信息
67079-1-Ig targets CES1 in WB, IHC, IF/ICC, ELISA applications and shows reactivity with Human samples.
| 经测试应用 | WB, IHC, IF/ICC, ELISA Application Description |
| 文献引用应用 | WB |
| 经测试反应性 | Human |
| 文献引用反应性 | human |
| 免疫原 |
CatNo: Ag10647 Product name: Recombinant human CES1 protein Source: e coli.-derived, PET28a Tag: 6*His Domain: 215-566 aa of BC012418 Sequence: VTIFGESAGGESVSVLVLSPLAKNLFHRAISESGVALTSVLVKKGDVKPLAEQIAITAGCKTTTSAVMVHCLRQKTEEELLETTLKMKFLSLDLQGDPRESQPLLGTVIDGMLLLKTPEELQAERNFHTVPYMVGINKQEFGWLIPMLMSYPLSEGQLDQKTAMSLLWKSYPLVCIAKELIPEATEKYLGGTDDTVKKKDLFLDLIADVMFGVPSVIVARNHRDAGAPTYMYEFQYRPSFSSDMKPKTVIGDHGDELFSVFGAPFLKEGASEEEIRLSKMVMKFWANFARNGNPNGEGLPHWPEYNQKEGYLQIGANTQAAQKLKDKEVAFWTNLFAKKAVEKPPQTEHIEL 种属同源性预测 |
| 宿主/亚型 | Mouse / IgG1 |
| 抗体类别 | Monoclonal |
| 产品类型 | Antibody |
| 全称 | carboxylesterase 1 (monocyte/macrophage serine esterase 1) |
| 别名 | ACAT, Brain carboxylesterase hBr1, CEH, CES1, CES2, Cocaine carboxylesterase, Egasyn, HMSE, HMSE1, Liver carboxylesterase 1, PCE 1, REH, Retinyl ester hydrolase, Serine esterase 1, SES1, TGH, Triacylglycerol hydrolase |
| 计算分子量 | 566 aa, 62 kDa |
| 观测分子量 | 60-63 kDa |
| GenBank蛋白编号 | BC012418 |
| 基因名称 | CES1 |
| Gene ID (NCBI) | 1066 |
| RRID | AB_2882387 |
| 偶联类型 | Unconjugated |
| 形式 | Liquid |
| 纯化方式 | Protein G purification |
| UNIPROT ID | P23141 |
| 储存缓冲液 | PBS with 0.02% sodium azide and 50% glycerol, pH 7.3. |
| 储存条件 | Store at -20°C. Stable for one year after shipment. Aliquoting is unnecessary for -20oC storage. |
背景介绍
CES1(liver carboxylesterase 1) is also named as CES2, SES1 and belongs to the type-B carboxylesterase/lipase family. The deduced 567-amino acid protein contains a putative 18-amino acid signal peptide and a characteristic C-terminal endoplasmic reticulum retention signal (HXEL). It is the major hydrolytic enzyme responsible for the metabolism of numerous therapeutic agents as well as endogenous substrates.Westernblot analysis demonstrated that CES1 is expressed in human liver microsomes (HLM) but not in human intestinal microsomes (HIM)(PMID:19185566).
实验方案
| Product Specific Protocols | |
|---|---|
| IF protocol for CES1 antibody 67079-1-Ig | Download protocol |
| IHC protocol for CES1 antibody 67079-1-Ig | Download protocol |
| WB protocol for CES1 antibody 67079-1-Ig | Download protocol |
| Standard Protocols | |
|---|---|
| Click here to view our Standard Protocols |






