验证数据展示
经过测试的应用
| Positive WB detected in | HepG2 cells, Jurkat cells, mouse liver tissue, rat liver tissue |
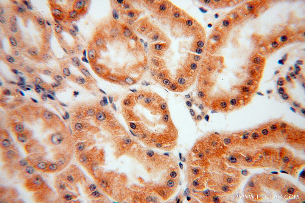
| Positive IHC detected in | human liver cancer tissue, human kidney tissue Note: suggested antigen retrieval with TE buffer pH 9.0; (*) Alternatively, antigen retrieval may be performed with citrate buffer pH 6.0 |
| Positive IF/ICC detected in | HepG2 cells |
推荐稀释比
| 应用 | 推荐稀释比 |
|---|---|
| Western Blot (WB) | WB : 1:800-1:8000 |
| Immunohistochemistry (IHC) | IHC : 1:50-1:500 |
| Immunofluorescence (IF)/ICC | IF/ICC : 1:50-1:500 |
| It is recommended that this reagent should be titrated in each testing system to obtain optimal results. | |
| Sample-dependent, Check data in validation data gallery. | |
产品信息
16912-1-AP targets CES1 in WB, IHC, IF/ICC, ELISA applications and shows reactivity with human, mouse, rat samples.
| 经测试应用 | WB, IHC, IF/ICC, ELISA Application Description |
| 文献引用应用 | WB, IHC, IF |
| 经测试反应性 | human, mouse, rat |
| 文献引用反应性 | human, mouse, pig |
| 免疫原 |
CatNo: Ag10567 Product name: Recombinant human CES1 protein Source: e coli.-derived, PGEX-4T Tag: GST Domain: 215-566 aa of BC012418 Sequence: VTIFGESAGGESVSVLVLSPLAKNLFHRAISESGVALTSVLVKKGDVKPLAEQIAITAGCKTTTSAVMVHCLRQKTEEELLETTLKMKFLSLDLQGDPRESQPLLGTVIDGMLLLKTPEELQAERNFHTVPYMVGINKQEFGWLIPMLMSYPLSEGQLDQKTAMSLLWKSYPLVCIAKELIPEATEKYLGGTDDTVKKKDLFLDLIADVMFGVPSVIVARNHRDAGAPTYMYEFQYRPSFSSDMKPKTVIGDHGDELFSVFGAPFLKEGASEEEIRLSKMVMKFWANFARNGNPNGEGLPHWPEYNQKEGYLQIGANTQAAQKLKDKEVAFWTNLFAKKAVEKPPQTEHIEL 种属同源性预测 |
| 宿主/亚型 | Rabbit / IgG |
| 抗体类别 | Polyclonal |
| 产品类型 | Antibody |
| 全称 | carboxylesterase 1 (monocyte/macrophage serine esterase 1) |
| 别名 | Liver carboxylesterase 1, CES 1, CEH, CE-1, Carboxylesterase 1 |
| 计算分子量 | 566 aa, 62 kDa |
| 观测分子量 | 60-63 kDa |
| GenBank蛋白编号 | BC012418 |
| 基因名称 | CES1 |
| Gene ID (NCBI) | 1066 |
| RRID | AB_2077500 |
| 偶联类型 | Unconjugated |
| 形式 | Liquid |
| 纯化方式 | Antigen affinity purification |
| UNIPROT ID | P23141 |
| 储存缓冲液 | PBS with 0.02% sodium azide and 50% glycerol, pH 7.3. |
| 储存条件 | Store at -20°C. Stable for one year after shipment. Aliquoting is unnecessary for -20oC storage. |
背景介绍
CES1(liver carboxylesterase 1) is also named as SES1 and belongs to the type-B carboxylesterase/lipase family. The deduced 567-amino acid protein contains a putative 18-amino acid signal peptide and a characteristic C-terminal endoplasmic reticulum retention signal (HXEL). It is the major hydrolytic enzyme responsible for the metabolism of numerous therapeutic agents as well as endogenous substrates.Westernblot analysis demonstrated that CES1 is expressed in human liver microsomes (HLM) but not in human intestinal microsomes (HIM)(PMID:19185566).
实验方案
| Product Specific Protocols | |
|---|---|
| IF protocol for CES1 antibody 16912-1-AP | Download protocol |
| IHC protocol for CES1 antibody 16912-1-AP | Download protocol |
| WB protocol for CES1 antibody 16912-1-AP | Download protocol |
| Standard Protocols | |
|---|---|
| Click here to view our Standard Protocols |
发表文章
| Species | Application | Title |
|---|---|---|
Brain ATAD3 gene cluster deletions cause cerebellar dysfunction associated with altered mitochondrial DNA and cholesterol metabolism. | ||
Clin Transl Med Melatonin inhibits lipid accumulation to repress prostate cancer progression by mediating the epigenetic modification of CES1.
| ||
Oncotarget Multifactorial resistance to aminopeptidase inhibitor prodrug CHR2863 in myeloid leukemia cells: down-regulation of carboxylesterase 1, drug sequestration in lipid droplets and pro-survival activation ERK/Akt/mTOR. | ||
Drug Metab Dispos Simultaneous absolute protein quantification of carboxylesterases 1 and 2 in human liver tissue fractions using liquid chromatography-tandem mass spectrometry. | ||
J Pharm Pharmacol Clock gene Bmal1 controls diurnal rhythms in expression and activity of intestinal carboxylesterase 1. |











