验证数据展示
经过测试的应用
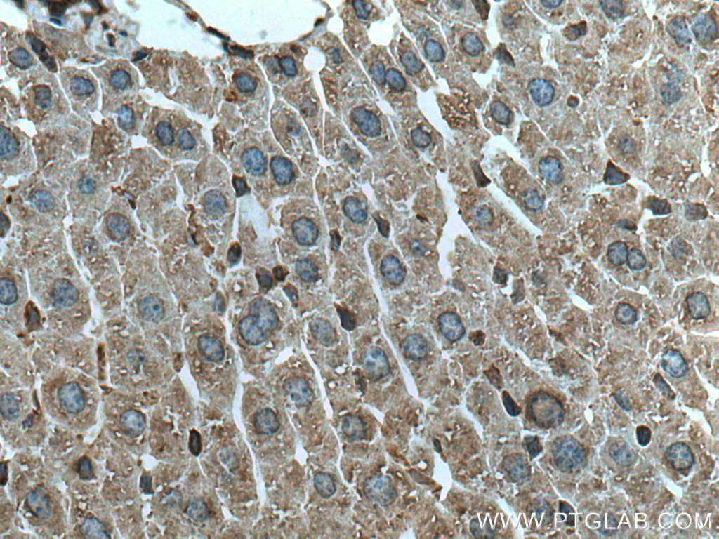
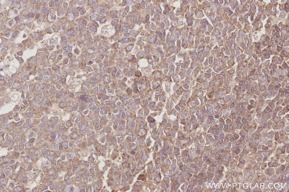
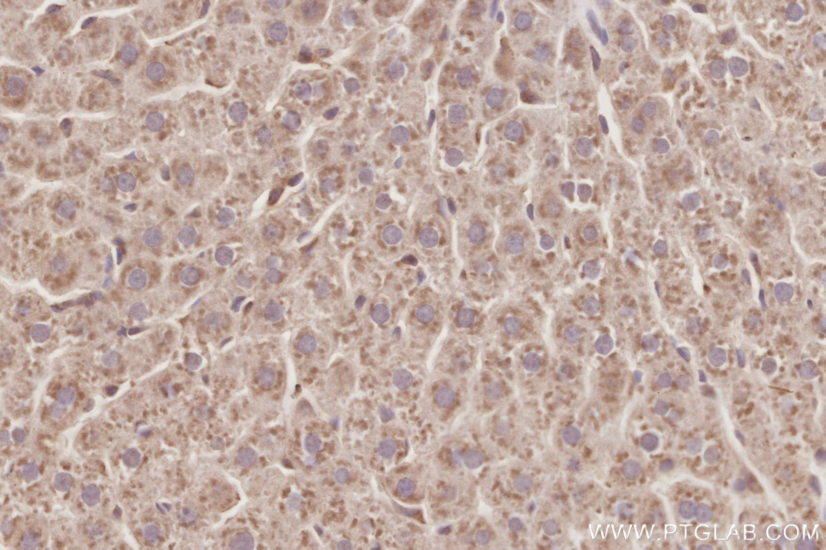
| Positive IHC detected in | mouse liver tissue, human cervical cancer tissue, human pancreas tissue, human tonsillitis tissue, rat liver tissue Note: suggested antigen retrieval with TE buffer pH 9.0; (*) Alternatively, antigen retrieval may be performed with citrate buffer pH 6.0 |
| Positive IF/ICC detected in | HepG2 cells |
推荐稀释比
| 应用 | 推荐稀释比 |
|---|---|
| Immunohistochemistry (IHC) | IHC : 1:20-1:1000 |
| Immunofluorescence (IF)/ICC | IF/ICC : 1:10-1:100 |
| It is recommended that this reagent should be titrated in each testing system to obtain optimal results. | |
| Sample-dependent, Check data in validation data gallery. | |
发表文章中的应用
| IF | See 4 publications below |
产品信息
20496-1-AP targets CEPT1 in IHC, IF/ICC, ELISA applications and shows reactivity with human, mouse, rat samples.
| 经测试应用 | IHC, IF/ICC, ELISA Application Description |
| 文献引用应用 | IF |
| 经测试反应性 | human, mouse, rat |
| 文献引用反应性 | human |
| 免疫原 |
CatNo: Ag14140 Product name: Recombinant human CEPT1 protein Source: e coli.-derived, PGEX-4T Tag: GST Domain: 1-91 aa of BC032610 Sequence: MSGHRSTRKRCGDSHPESPVGFGHMSTTGCVLNKLFQLPTPPLSRHQLKRLEEHRYQSAGRSLLEPLMQGYWEWLVRRVPSWIAPNLITII 种属同源性预测 |
| 宿主/亚型 | Rabbit / IgG |
| 抗体类别 | Polyclonal |
| 产品类型 | Antibody |
| 全称 | choline/ethanolamine phosphotransferase 1 |
| 别名 | 1-alkenyl-2-acylglycerol choline phosphotransferase, choline/ethanolamine phosphotransferase 1, EC:2.7.8.1, EC:2.7.8.22, hCEPT1 |
| 计算分子量 | 416 aa, 47 kDa |
| GenBank蛋白编号 | BC032610 |
| 基因名称 | CEPT1 |
| Gene ID (NCBI) | 10390 |
| RRID | AB_10694283 |
| 偶联类型 | Unconjugated |
| 形式 | Liquid |
| 纯化方式 | Antigen affinity purification |
| UNIPROT ID | Q9Y6K0 |
| 储存缓冲液 | PBS with 0.02% sodium azide and 50% glycerol, pH 7.3. |
| 储存条件 | Store at -20°C. Stable for one year after shipment. Aliquoting is unnecessary for -20oC storage. |
背景介绍
Choline-enthanolamine phosphotransferase 1 (CEPT1) is a 47-kDa membrane-bound protein that catalyzes the terminal step of the Kennedy pathway. CEPT1 is encoded by the Cept1 gene and is responsible for phosphatidylcholine (PC) and phosphatidylethanolamine (PE) production (PMID: 33214136, 30030520).
实验方案
| Product Specific Protocols | |
|---|---|
| IF protocol for CEPT1 antibody 20496-1-AP | Download protocol |
| IHC protocol for CEPT1 antibody 20496-1-AP | Download protocol |
| Standard Protocols | |
|---|---|
| Click here to view our Standard Protocols |
发表文章
| Species | Application | Title |
|---|---|---|
Protein Cell Proteomic analysis of ferroptosis pathways reveals a role of CEPT1 in suppressing ferroptosis | ||
Cell Res DNA damage triggers tubular endoplasmic reticulum extension to promote apoptosis by facilitating ER-mitochondria signaling. | ||
J Lipid Res Diabetes Adversely Affects Phospholipid Profiles in Human Carotid Artery Endarterectomy Plaques. | ||
Hepatol Commun Dysregulation of lipid metabolism in the pseudolobule promotes region-specific autophagy in hepatitis B liver cirrhosis | ||
J Hazard Mater YTHDC2 mediated RNA m6A modification contributes to PM2.5-induced hepatic steatosis | ||
J Pharm Anal Disorder of phospholipid metabolism in the renal cortex and medulla contributes to acute tubular necrosis in mice after cantharidin exposure using integrative lipidomics and spatial metabolomics |








