验证数据展示
经过测试的应用
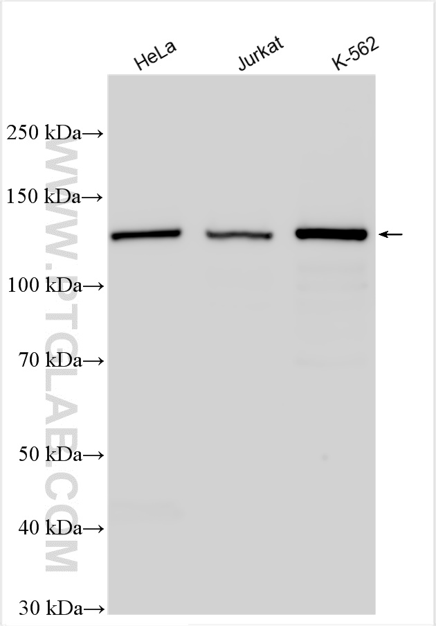
| Positive WB detected in | HeLa cells, mouse testis tissue, Jurkat cells, K-562 cells | 
| Positive IF/ICC detected in | HeLa cells | 
推荐稀释比
| 应用 | 推荐稀释比 | 
|---|---|
| Western Blot (WB) | WB : 1:1000-1:6000 | 
| Immunofluorescence (IF)/ICC | IF/ICC : 1:20-1:200 | 
| It is recommended that this reagent should be titrated in each testing system to obtain optimal results. | |
| Sample-dependent, Check data in validation data gallery. | |
发表文章中的应用
| WB | See 2 publications below | 
产品信息
25612-1-AP targets CEBPZ in WB, IF/ICC, ELISA applications and shows reactivity with human, mouse samples.
| 经测试应用 | WB, IF/ICC, ELISA Application Description | 
| 文献引用应用 | WB | 
| 经测试反应性 | human, mouse | 
| 文献引用反应性 | human, mouse | 
| 免疫原 | 
                                             CatNo: Ag11003 Product name: Recombinant human CEBPZ protein Source: e coli.-derived, PGEX-4T Tag: GST Domain: 705-1054 aa of BC034475 Sequence: FCGAENTSLWELKKLSVHFHPSVALFAKTILQGNYIQYSGDPLQDFTLMRFLDRFVYRNPKPHKGKENTDSVVMQPKRKHFIKDIRHLPVNSKEFLAKEESQIPVDEVFFHRYYKKVAVKEKQKRDADEESIEDVDDEEFEELIDTFEDDNCFSSGKDDMDFAGNVKKRTKGAKDNTLDEDSEGSDDELGNLDDDEVSLGSMDDEEFAEVDEDGGTFMDVLDDESESVPELEVHSKVSTKKSKRKGTDDFDFAGSFQGPRKKKRNLNDSSLFVSAEEFGHLLDENMGSKFDNIGMNAMANKDNASLKQLRWEAERDDWLHNRDAKSIIKKKKHFKKKRIKTTQKTKKQRK 种属同源性预测 | 
                                    
| 宿主/亚型 | Rabbit / IgG | 
| 抗体类别 | Polyclonal | 
| 产品类型 | Antibody | 
| 全称 | CCAAT/enhancer binding protein (C/EBP), zeta | 
| 别名 | CBF, CBF2, CCAAT binding factor, CEBPZ, HSP CBF, NOC1 | 
| 计算分子量 | 1054 aa, 121 kDa | 
| 观测分子量 | 120-130 kDa | 
| GenBank蛋白编号 | BC034475 | 
| 基因名称 | CEBPZ | 
| Gene ID (NCBI) | 10153 | 
| RRID | AB_2880160 | 
| 偶联类型 | Unconjugated | 
| 形式 | Liquid | 
| 纯化方式 | Antigen affinity purification | 
| UNIPROT ID | Q03701 | 
| 储存缓冲液 | PBS with 0.02% sodium azide and 50% glycerol, pH 7.3. | 
| 储存条件 | Store at -20°C. Stable for one year after shipment. Aliquoting is unnecessary for -20oC storage. | 
背景介绍
CEBPZ (CCAAT/enhancer binding protein zeta) belongs to the CBF/Mak21 family, it plays a role in cellular response to environmental stimuli through a transcriptional process that involves heat shock factors, conserved DNA elements (heat shock elements or HSEs) and CCAAT boxes. The protein acts as a DNA-binding transcriptional activator and regulates the heat-shock protein 70 (HSP70) promoter in a CCAAT-dependent manner.
实验方案
| Product Specific Protocols | |
|---|---|
| IF protocol for CEBPZ antibody 25612-1-AP | Download protocol | 
| WB protocol for CEBPZ antibody 25612-1-AP | Download protocol | 
| Standard Protocols | |
|---|---|
| Click here to view our Standard Protocols | 
发表文章
| Species | Application | Title | 
|---|---|---|
Cancer Sci CEBPγ facilitates lamellipodia formation and cancer cell migration through CERS6 upregulation. | ||
Mol Cell Proteomics Characterization of R-Loop-Interacting Proteins in Embryonic Stem Cells Reveals Roles in rRNA Processing and Gene Expression. | 







