验证数据展示
经过测试的应用
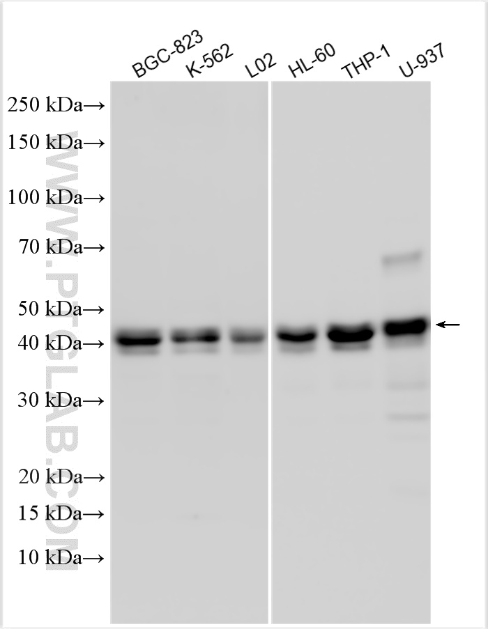
| Positive WB detected in | BGC-823 cells, LNCaP cells, THP-1 cells, U-937 cells, K-562 cells, L02 cells, HL-60 cells |
| Positive IP detected in | THP-1 cells |
| Positive IHC detected in | human colon tissue Note: suggested antigen retrieval with TE buffer pH 9.0; (*) Alternatively, antigen retrieval may be performed with citrate buffer pH 6.0 |
| Positive IF/ICC detected in | A431 cells |
推荐稀释比
| 应用 | 推荐稀释比 |
|---|---|
| Western Blot (WB) | WB : 1:1000-1:6000 |
| Immunoprecipitation (IP) | IP : 0.5-4.0 ug for 1.0-3.0 mg of total protein lysate |
| Immunohistochemistry (IHC) | IHC : 1:500-1:2000 |
| Immunofluorescence (IF)/ICC | IF/ICC : 1:200-1:800 |
| It is recommended that this reagent should be titrated in each testing system to obtain optimal results. | |
| Sample-dependent, Check data in validation data gallery. | |
产品信息
29388-1-AP targets CEBP Alpha/CEBPA in WB, IHC, IF/ICC, IP, ELISA applications and shows reactivity with human samples.
| 经测试应用 | WB, IHC, IF/ICC, IP, ELISA Application Description |
| 文献引用应用 | WB, IHC, IF |
| 经测试反应性 | human |
| 文献引用反应性 | human, mouse, rat |
| 免疫原 |
CatNo: Ag29947 Product name: Recombinant human CEBPA protein Source: e coli.-derived, PGEX-4T Tag: GST Domain: 1-125 aa of NM_004364 Sequence: MESADFYEAEPRPPMSSHLQSPPHAPSSAAFGFPRGAGPAQPPAPPAAPEPLGGICEHETSIDISAYIDPAAFNDEFLADLFQHSRQQEKAKAAVGPTGGGGGGDFDYPGAPAGPGGAVMPGGAH 种属同源性预测 |
| 宿主/亚型 | Rabbit / IgG |
| 抗体类别 | Polyclonal |
| 产品类型 | Antibody |
| 全称 | CCAAT/enhancer binding protein (C/EBP), alpha |
| 别名 | CEBP alpha, CEBPA, C/EBP alpha, C/EBPα, CCAAT/enhancer-binding protein alpha |
| 计算分子量 | 38 kDa |
| 观测分子量 | 40-45 kDa |
| GenBank蛋白编号 | NM_004364 |
| 基因名称 | CEBPA |
| Gene ID (NCBI) | 1050 |
| RRID | AB_3086127 |
| 偶联类型 | Unconjugated |
| 形式 | Liquid |
| 纯化方式 | Antigen affinity purification |
| UNIPROT ID | P49715 |
| 储存缓冲液 | PBS with 0.02% sodium azide and 50% glycerol, pH 7.3. |
| 储存条件 | Store at -20°C. Stable for one year after shipment. Aliquoting is unnecessary for -20oC storage. |
背景介绍
CEBPA and its isoforms play important roles in lineage determination and gene activation in a variety of cell types by activating transcription from lineage-specific promoters. CEBPA is a DNA-binding protein that recognizes two different motifs: the CCAAT homology common to many promoters and the enhanced core homology common to many enhancers. In hematopoiesis, C/EBPa is a key factor in driving the development of myeloid cells interacting with a variety of factors, including c-Myc, PU.1, and microRNAs. It can also form heterodimers with the related proteins CEBP-beta and CEBP-gamma. The encoded protein has been shown to bind to the promoter and modulate the expression of the gene encoding leptin which plays an important role in body weight homeostasis. CEBPA can interact with CDK2 and CDK4, thereby inhibiting these kinases and causing growth arrest in cultured cells. Several pathways have been implicated as the means by which CEBPA mediates cell cycle arrest and proliferation, including p21, cyclin-dependent kinases and the E2F complex via c-Myc. The calcualted molecular weight of CEBPA is 38 kDa, but modified CEBPA is about 42 kDa (PMID: 19623175).
实验方案
| Product Specific Protocols | |
|---|---|
| IF protocol for CEBP Alpha/CEBPA antibody 29388-1-AP | Download protocol |
| IHC protocol for CEBP Alpha/CEBPA antibody 29388-1-AP | Download protocol |
| IP protocol for CEBP Alpha/CEBPA antibody 29388-1-AP | Download protocol |
| WB protocol for CEBP Alpha/CEBPA antibody 29388-1-AP | Download protocol |
| Standard Protocols | |
|---|---|
| Click here to view our Standard Protocols |
发表文章
| Species | Application | Title |
|---|---|---|
J Agric Food Chem Enzymatic Synthesis and Evaluation of Eight Methylated Quercetin Products: In Vitro Chemical Properties and Adipogenesis Regulation | ||
Front Pharmacol Bushen Huoxue formula attenuates lipid accumulation evoking excessive autophagy in premature ovarian insufficiency rats and palmitic acid-challenged KGN cells by modulating lipid metabolism | ||
J Virol Dengue virus NS1 leads to downregulation of HNF4 alpha in liver cells resulting in a decrease in coagulation factors I, V, X, and XIII, contributing to coagulopathy | ||
Toxicol Lett The Effects of Citalopram and Sertraline on Adipogenesis and Lipogenesis in 3T3-L1 Cells | ||
FASEB Bioadv NPC1L1 Drives Osteoporosis by Activating the C/EBPα/Cyp27a1/27-Hydroxycholesterol Axis: A Novel Therapeutic Target for Bone Loss | ||
Pharmaceuticals (Basel) Potential Anti-Obesity Effect of Hazel Leaf Extract in Mice and Network Pharmacology of Selected Polyphenols |




