验证数据展示
经过测试的应用
| Positive WB detected in | A549 cells, HT-29 cells |
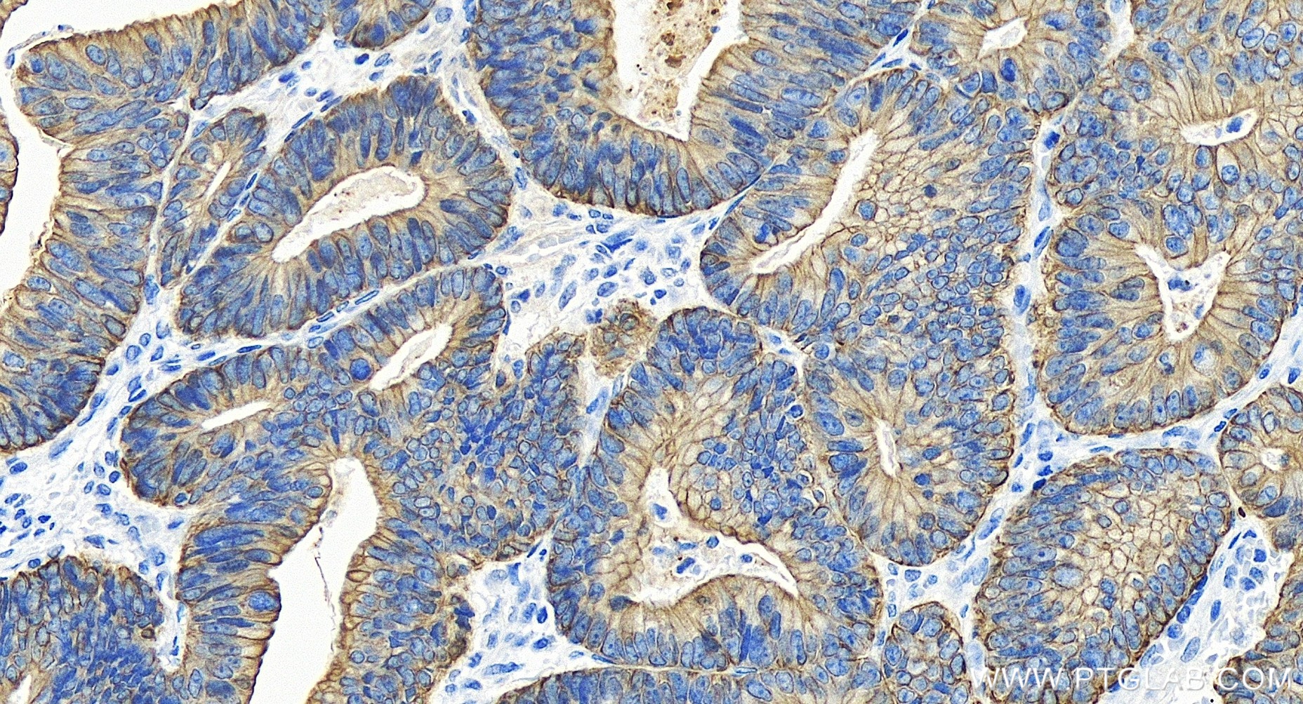
| Positive IHC detected in | human colon cancer tissue Note: suggested antigen retrieval with TE buffer pH 9.0; (*) Alternatively, antigen retrieval may be performed with citrate buffer pH 6.0 |
| Positive IF/ICC detected in | HT-29 cells |
推荐稀释比
| 应用 | 推荐稀释比 |
|---|---|
| Western Blot (WB) | WB : 1:500-1:2000 |
| Immunohistochemistry (IHC) | IHC : 1:1000-1:4000 |
| Immunofluorescence (IF)/ICC | IF/ICC : 1:200-1:800 |
| It is recommended that this reagent should be titrated in each testing system to obtain optimal results. | |
| Sample-dependent, Check data in validation data gallery. | |
产品信息
84982-1-RR targets CEACAM6/CD66c in WB, IHC, IF/ICC, ELISA applications and shows reactivity with human samples.
| 经测试应用 | WB, IHC, IF/ICC, ELISA Application Description |
| 经测试反应性 | human |
| 免疫原 |
CatNo: Eg2450 Product name: recombinant human CEACAM6 protein Source: mammalian cells-derived, pHZ-KIsec-C-rFc Tag: C-rFc Domain: 35-320 aa of BC005008 Sequence: KLTIESTPFNVAEGKEVLLLAHNLPQNRIGYSWYKGERVDGNSLIVGYVIGTQQATPGPAYSGRETIYPNASLLIQNVTQNDTGFYTLQVIKSDLVNEEATGQFHVYPELPKPSISSNNSNPVEDKDAVAFTCEPEVQNTTYLWWVNGQSLPVSPRLQLSNGNMTLTLLSVKRNDAGSYECEIQNPASANRSDPVTLNVLYGPDVPTISPSKANYRPGENLNLSCHAASNPPAQYSWFINGTFQQSTQELFIPNITVNNSGSYMCQAHNSATGLNRTTVTMITVSG 种属同源性预测 |
| 宿主/亚型 | Rabbit / IgG |
| 抗体类别 | Recombinant |
| 产品类型 | Antibody |
| 全称 | carcinoembryonic antigen-related cell adhesion molecule 6 (non-specific cross reacting antigen) |
| 别名 | CEACAM6, 241997F7, Carcinoembryonic antigen-related cell adhesion molecule 6, CD66c, CEAL |
| 计算分子量 | 37 kDa |
| 观测分子量 | 40-100 kDa |
| GenBank蛋白编号 | BC005008 |
| 基因名称 | CEACAM6 |
| Gene ID (NCBI) | 4680 |
| RRID | AB_3743910 |
| 偶联类型 | Unconjugated |
| 形式 | Liquid |
| 纯化方式 | Protein A purfication |
| UNIPROT ID | P40199 |
| 储存缓冲液 | PBS with 0.02% sodium azide and 50% glycerol, pH 7.3. |
| 储存条件 | Store at -20°C. Stable for one year after shipment. Aliquoting is unnecessary for -20oC storage. |
背景介绍
CEACAM6, also known as CD66c, is a glycosylphosphatidylinositol (GPI)-linked cell surface protein that belongs to the CEACAM family of the immunoglobulin superfamily (PMID: 23903773). It is normally expressed on the surface of myeloid and epithelial surfaces and upregulated preferentially at the apical/luminal membranes of many tumors (PMID: 27595061; 35082925). CEACAM6 plays an important role in cell adhesion, proliferation, tumorigenesis, metastasis, and immunity (PMID: 31797958).
实验方案
| Product Specific Protocols | |
|---|---|
| IF protocol for CEACAM6/CD66c antibody 84982-1-RR | Download protocol |
| IHC protocol for CEACAM6/CD66c antibody 84982-1-RR | Download protocol |
| WB protocol for CEACAM6/CD66c antibody 84982-1-RR | Download protocol |
| Standard Protocols | |
|---|---|
| Click here to view our Standard Protocols |




