验证数据展示
经过测试的应用
| Positive WB detected in | mouse liver tissue | 
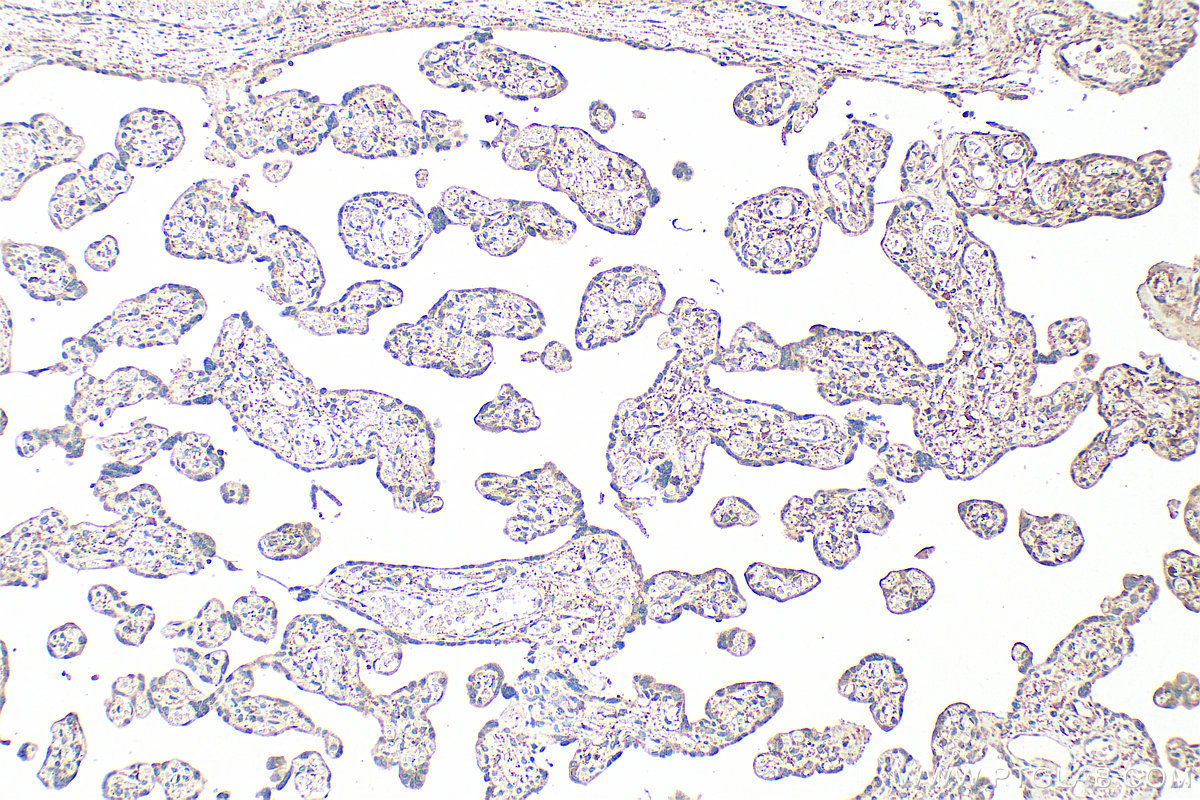
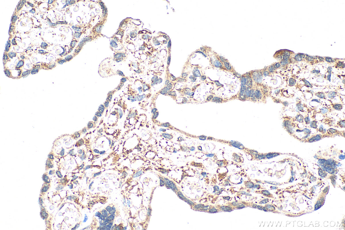
| Positive IHC detected in | human placenta tissue Note: suggested antigen retrieval with TE buffer pH 9.0; (*) Alternatively, antigen retrieval may be performed with citrate buffer pH 6.0  | 
推荐稀释比
| 应用 | 推荐稀释比 | 
|---|---|
| Western Blot (WB) | WB : 1:500-1:1000 | 
| Immunohistochemistry (IHC) | IHC : 1:50-1:500 | 
| It is recommended that this reagent should be titrated in each testing system to obtain optimal results. | |
| Sample-dependent, Check data in validation data gallery. | |
产品信息
17209-1-AP targets CEACAM21 in WB, IHC, ELISA applications and shows reactivity with human, mouse samples.
| 经测试应用 | WB, IHC, ELISA Application Description | 
| 经测试反应性 | human, mouse | 
| 免疫原 | 
                                             CatNo: Ag10992 Product name: Recombinant human CEACAM21 protein Source: e coli.-derived, PGEX-4T Tag: GST Domain: 1-191 aa of BC012001 Sequence: MGPPSACPHRECIPWQGLLLTASLLTFWNAPTTAWLFIASAPFEVAEGENVHLSVVYLPENLYSYGWYKGKTVEPNQLIAAYVIDTHVRTPGPAYSGRETISPSGDLHFQNVTLEDTGYYNLQVTYRNSQIEQASHHLRVYGECSKFDSEISEDAAWPQDTFCWSLYPQSQWLSPPSKPAAPQSQRRAPWS 种属同源性预测 | 
                                    
| 宿主/亚型 | Rabbit / IgG | 
| 抗体类别 | Polyclonal | 
| 产品类型 | Antibody | 
| 全称 | carcinoembryonic antigen-related cell adhesion molecule 21 | 
| 别名 | Carcinoembryonic antigen-related cell adhesion molecule 21, UNQ3098/PRO10075 | 
| 计算分子量 | 32 kDa | 
| 观测分子量 | 30 kDa | 
| GenBank蛋白编号 | BC012001 | 
| 基因名称 | CEACAM21 | 
| Gene ID (NCBI) | 90273 | 
| RRID | AB_2077481 | 
| 偶联类型 | Unconjugated | 
| 形式 | Liquid | 
| 纯化方式 | Antigen affinity purification | 
| UNIPROT ID | Q3KPI0 | 
| 储存缓冲液 | PBS with 0.02% sodium azide and 50% glycerol, pH 7.3. | 
| 储存条件 | Store at -20°C. Stable for one year after shipment. Aliquoting is unnecessary for -20oC storage. | 
背景介绍
Carcinoembryonic antigen-related cell adhesion molecule 21 (CEACAM21) is a member of the CEACAM family that has diverse functions in cell adhesion, in intracellular and intercellular signaling, and during complex biological processes such as cancer progression, inflammation, angiogenesis, and metastasis (PMID: 23903773; 32488569). CEACAM21 acts as a heterophilic ligand for TIM-3, leading to the dissociation of Bat3 and increasing proximal TCR signaling and proapoptotic protein expression in late effector T cells, thereby mediating T cell suppression (PMID: 38490257).
实验方案
| Product Specific Protocols | |
|---|---|
| WB protocol for CEACAM21 antibody 17209-1-AP | Download protocol | 
| Standard Protocols | |
|---|---|
| Click here to view our Standard Protocols | 


