验证数据展示
经过测试的应用
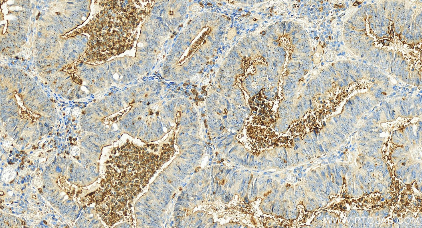
| Positive IHC detected in | human colon cancer tissue Note: suggested antigen retrieval with TE buffer pH 9.0; (*) Alternatively, antigen retrieval may be performed with citrate buffer pH 6.0 |
推荐稀释比
| 应用 | 推荐稀释比 |
|---|---|
| Immunohistochemistry (IHC) | IHC : 1:50-1:500 |
| It is recommended that this reagent should be titrated in each testing system to obtain optimal results. | |
| Sample-dependent, Check data in validation data gallery. | |
产品信息
22238-1-AP targets CEACAM1/CD66a in IHC, ELISA applications and shows reactivity with human samples.
| 经测试应用 | IHC, ELISA Application Description |
| 经测试反应性 | human |
| 免疫原 |
CatNo: Ag17651 Product name: Recombinant human CEACAM1 protein Source: e coli.-derived, PET28a Tag: 6*His Domain: 317-459 aa of BC014473 Sequence: IVTELSPVVAKPQIKASKTTVTGDKDSVNLTCSTNDTGISIRWFFKNQSLPSSERMKLSQGNTTLSINPVKREDAGTYWCEVFNPISKNQSDPIMLNVNYNALPQENGLSPGAIAGIVIGVVALVALIAVALACFLHFGKTGR 种属同源性预测 |
| 宿主/亚型 | Rabbit / IgG |
| 抗体类别 | Polyclonal |
| 产品类型 | Antibody |
| 全称 | carcinoembryonic antigen-related cell adhesion molecule 1 (biliary glycoprotein) |
| 别名 | CEACAM1, Carcinoembryonic antigen-related cell adhesion molecule 1, Biliary glycoprotein 1, BGPI, BGP-1 |
| 计算分子量 | 526 aa, 58 kDa |
| GenBank蛋白编号 | BC014473 |
| 基因名称 | CEACAM1 |
| Gene ID (NCBI) | 634 |
| RRID | AB_3669392 |
| 偶联类型 | Unconjugated |
| 形式 | Liquid |
| 纯化方式 | Antigen affinity purification |
| UNIPROT ID | P13688 |
| 储存缓冲液 | PBS with 0.02% sodium azide and 50% glycerol, pH 7.3. |
| 储存条件 | Store at -20°C. Stable for one year after shipment. Aliquoting is unnecessary for -20oC storage. |
背景介绍
CEACAM1, also known as CD66a or BGP (biliary glycoprotein), is a member of the cacinoembryonic antigen (CEA) family which belongs to the immunoglobulin superfamily of cell adhesion molecules (PMID: 16919437). CEACAMs play major roles in cell-cell and cell-ECM adhesion and have been implicated in the control of cell proliferation, angiogenesis, and tissue remodeling (PMID: 23021083). CEACAM1 is a transmembrane glycoprotein that is expressed on epithelial, endothelial, and immune cells (PMID: 30314283). CEACAM1 has been demonstrated to play a role in morphogenesis, apoptosis, angiogenesis, cell proliferation, cell motility, fibrosis, and immunity (PMID: 31604530).
实验方案
| Product Specific Protocols | |
|---|---|
| IHC protocol for CEACAM1/CD66a antibody 22238-1-AP | Download protocol |
| Standard Protocols | |
|---|---|
| Click here to view our Standard Protocols |

