验证数据展示
经过测试的应用
| Positive WB detected in | Caco-2 cells, mouse small intestine tissue, mouse stomach tissue, mouse colon tissue, rat colon tissue |
| Positive IP detected in | Caco-2 cells |
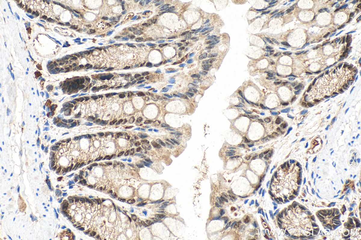
| Positive IHC detected in | human colon cancer tissue, mouse colon tissue Note: suggested antigen retrieval with TE buffer pH 9.0; (*) Alternatively, antigen retrieval may be performed with citrate buffer pH 6.0 |
| Positive IF/ICC detected in | Caco-2 cells |
推荐稀释比
| 应用 | 推荐稀释比 |
|---|---|
| Western Blot (WB) | WB : 1:500-1:1000 |
| Immunoprecipitation (IP) | IP : 0.5-4.0 ug for 1.0-3.0 mg of total protein lysate |
| Immunohistochemistry (IHC) | IHC : 1:50-1:500 |
| Immunofluorescence (IF)/ICC | IF/ICC : 1:200-1:800 |
| It is recommended that this reagent should be titrated in each testing system to obtain optimal results. | |
| Sample-dependent, Check data in validation data gallery. | |
产品信息
21655-1-AP targets CDX1 in WB, IHC, IF/ICC, IP, ELISA applications and shows reactivity with human, mouse, rat samples.
| 经测试应用 | WB, IHC, IF/ICC, IP, ELISA Application Description |
| 经测试反应性 | human, mouse, rat |
| 免疫原 |
CatNo: Ag16376 Product name: Recombinant human CDX1 protein Source: e coli.-derived, PGEX-4T Tag: GST Domain: 105-154 aa of BC096252 Sequence: KQQQQQPPQPPMAHDITATPAGPSLGGLCPSNTSLLATSSPMPVKEEFLP 种属同源性预测 |
| 宿主/亚型 | Rabbit / IgG |
| 抗体类别 | Polyclonal |
| 产品类型 | Antibody |
| 全称 | caudal type homeobox 1 |
| 别名 | Caudal type homeobox 1, Caudal type homeobox protein 1, Caudal-type homeobox protein 1, Homeobox protein CDX 1, Homeobox protein CDX-1 |
| 计算分子量 | 265 aa, 28 kDa |
| 观测分子量 | 28-35 kDa |
| GenBank蛋白编号 | BC096252 |
| 基因名称 | CDX1 |
| Gene ID (NCBI) | 1044 |
| RRID | AB_2878901 |
| 偶联类型 | Unconjugated |
| 形式 | Liquid |
| 纯化方式 | Antigen affinity purification |
| UNIPROT ID | P47902 |
| 储存缓冲液 | PBS with 0.02% sodium azide and 50% glycerol, pH 7.3. |
| 储存条件 | Store at -20°C. Stable for one year after shipment. Aliquoting is unnecessary for -20oC storage. |
实验方案
| Product Specific Protocols | |
|---|---|
| IF protocol for CDX1 antibody 21655-1-AP | Download protocol |
| IHC protocol for CDX1 antibody 21655-1-AP | Download protocol |
| IP protocol for CDX1 antibody 21655-1-AP | Download protocol |
| WB protocol for CDX1 antibody 21655-1-AP | Download protocol |
| Standard Protocols | |
|---|---|
| Click here to view our Standard Protocols |









