验证数据展示
经过测试的应用
| Positive WB detected in | pig liver tissue, mouse liver tissue, rat liver tissue |
| Positive IP detected in | mouse liver tissue |
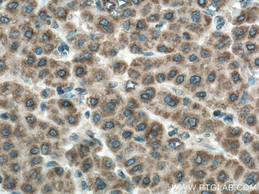
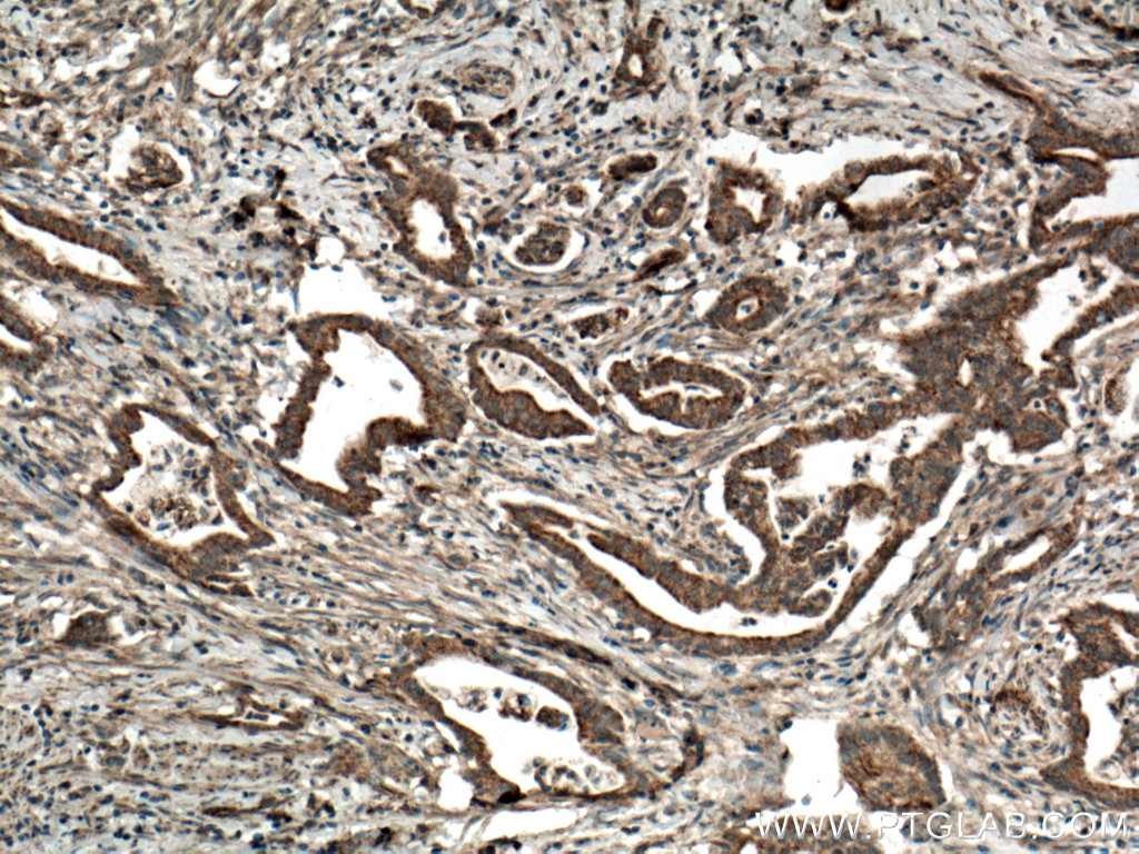
| Positive IHC detected in | human liver cancer tissue, human placenta tissue, human pancreas cancer tissue Note: suggested antigen retrieval with TE buffer pH 9.0; (*) Alternatively, antigen retrieval may be performed with citrate buffer pH 6.0 |
| Positive IF/ICC detected in | HepG2 cells |
推荐稀释比
| 应用 | 推荐稀释比 |
|---|---|
| Western Blot (WB) | WB : 1:1000-1:8000 |
| Immunoprecipitation (IP) | IP : 0.5-4.0 ug for 1.0-3.0 mg of total protein lysate |
| Immunohistochemistry (IHC) | IHC : 1:50-1:500 |
| Immunofluorescence (IF)/ICC | IF/ICC : 1:200-1:800 |
| It is recommended that this reagent should be titrated in each testing system to obtain optimal results. | |
| Sample-dependent, Check data in validation data gallery. | |
产品信息
12589-1-AP targets CDO1 in WB, IHC, IF/ICC, IP, ELISA applications and shows reactivity with human, mouse, rat, pig samples.
| 经测试应用 | WB, IHC, IF/ICC, IP, ELISA Application Description |
| 文献引用应用 | WB, IHC, IF |
| 经测试反应性 | human, mouse, rat, pig |
| 文献引用反应性 | human, mouse, rat |
| 免疫原 |
CatNo: Ag3294 Product name: Recombinant human CDO1 protein Source: e coli.-derived, PGEX-4T Tag: GST Domain: 1-200 aa of BC024241 Sequence: MEQTEVLKPRTLADLIRILHQLFAGDEVNVEEVQAIMEAYESDPTEWAMYAKFDQYRYTRNLVDQGNGKFNLMILCWGEGHGSSIHDHTNSHCFLKMLQGNLKETLFAWPDKKSNEMVKKSERVLRENQCAYINDSVGLHRVENISHTEPAVSLHLYSPPFDTCHAFDQRTGHKNKVTMTFHSKFGIRTPNATSGSLENN 种属同源性预测 |
| 宿主/亚型 | Rabbit / IgG |
| 抗体类别 | Polyclonal |
| 产品类型 | Antibody |
| 全称 | cysteine dioxygenase, type I |
| 别名 | CDO, CDO I, CDO-I, Cysteine dioxygenase type 1, Cysteine dioxygenase type I |
| 计算分子量 | 200 aa, 23 kDa |
| 观测分子量 | 23 kDa |
| GenBank蛋白编号 | BC024241 |
| 基因名称 | CDO1 |
| Gene ID (NCBI) | 1036 |
| RRID | AB_10638145 |
| 偶联类型 | Unconjugated |
| 形式 | Liquid |
| 纯化方式 | Antigen affinity purification |
| UNIPROT ID | Q16878 |
| 储存缓冲液 | PBS with 0.02% sodium azide and 50% glycerol, pH 7.3. |
| 储存条件 | Store at -20°C. Stable for one year after shipment. Aliquoting is unnecessary for -20oC storage. |
背景介绍
CDO1(cysteine dioxygenase type 1) is also named as CDO and belongs to the cysteine dioxygenase family. It is an enzyme that adds molecular oxygen to the sulfur of cysteine, converting the thiol to a sulfinic acid known as cysteinesulfinic acid (3-sulfinoalanine) and CDO1 is one of the most highly regulated metabolic enzymes responding to diet(PMID:19011731). The expression of CDO can significantly decrease the level of intracellular cysteine and this reduction is also associated with a decrease in total glutathione levels(PMID:17327371). Cysteine dioxygenase (CDO) plays a critical role in the regulation of cellular cysteine concentration andmultiple forms of CDO (23 kDa, 25 kDa, and 68 kDa) have been claimed based upon separation and detection using SDS-PAGE/western blotting(PMID: 14752623).
实验方案
| Product Specific Protocols | |
|---|---|
| IF protocol for CDO1 antibody 12589-1-AP | Download protocol |
| IHC protocol for CDO1 antibody 12589-1-AP | Download protocol |
| IP protocol for CDO1 antibody 12589-1-AP | Download protocol |
| WB protocol for CDO1 antibody 12589-1-AP | Download protocol |
| Standard Protocols | |
|---|---|
| Click here to view our Standard Protocols |
发表文章
| Species | Application | Title |
|---|---|---|
Cell Death Discov Cysteine dioxygenase 1 attenuates the proliferation via inducing oxidative stress and integrated stress response in gastric cancer cells | ||
Int J Biol Sci Ferroptosis-associated molecular classification characterized by distinct tumor microenvironment profiles in colorectal cancer. | ||
J Ethnopharmacol Integration of metabolomics and transcriptomics to reveal anti-chronic myocardial ischemia mechanism of Gualou Xiebai decoction. | ||
Ann Surg Oncol Promoter DNA Hypermethylation of the Cysteine Dioxygenase 1 (CDO1) Gene in Intraductal Papillary Mucinous Neoplasm (IPMN). | ||
Cell Mol Neurobiol Taurine Alleviates Chronic Social Defeat Stress-Induced Depression by Protecting Cortical Neurons from Dendritic Spine Loss. |













