验证数据展示
经过测试的应用
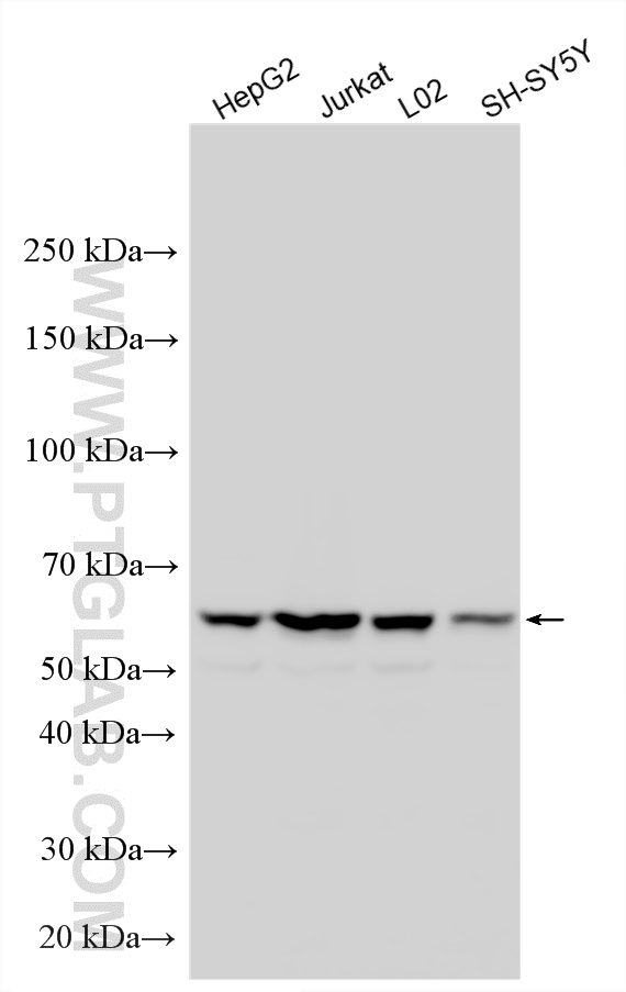
| Positive WB detected in | HepG2 cells, HT-1080 cells, mouse lung tissue, Jurkat cells, L02 cells, SH-SY5Y cells, rat lung tissue |
| Positive IHC detected in | human oesophagus tissue Note: suggested antigen retrieval with TE buffer pH 9.0; (*) Alternatively, antigen retrieval may be performed with citrate buffer pH 6.0 |
| Positive IF/ICC detected in | HepG2 cells |
推荐稀释比
| 应用 | 推荐稀释比 |
|---|---|
| Western Blot (WB) | WB : 1:2000-1:12000 |
| Immunohistochemistry (IHC) | IHC : 1:50-1:500 |
| Immunofluorescence (IF)/ICC | IF/ICC : 1:20-1:200 |
| It is recommended that this reagent should be titrated in each testing system to obtain optimal results. | |
| Sample-dependent, Check data in validation data gallery. | |
产品信息
22988-1-AP targets CDKAL1 in WB, IHC, IF/ICC, ELISA applications and shows reactivity with human, mouse, rat samples.
| 经测试应用 | WB, IHC, IF/ICC, ELISA Application Description |
| 文献引用应用 | WB, IF |
| 经测试反应性 | human, mouse, rat |
| 文献引用反应性 | human, mouse |
| 免疫原 |
CatNo: Ag19060 Product name: Recombinant human CDKAL1 protein Source: e coli.-derived, PET28a Tag: 6*His Domain: 1-357 aa of BC121020 Sequence: MPSASCDTLLDDIEDIVSQEDSKPQDRHFVRKDVVPKVRRRNTQKYLQEEENSPPSDSTIPGIQKIWIRTWGCSHNNSDGEYMAGQLAAYGYKITENASDADLWLLNSCTVKNPAEDHFRNSIKKAQEENKKIVLAGCVPQAQPRQDYLKGLSIIGVQQIDRVVEVVEETIKGHSVRLLGQKKDNGRRLGGARLDLPKIRKNPLIEIISINTGCLNACTYCKTKHARGNLASYPIDELVDRAKQSFQEGVCEIWLTSEDTGAYGRDIGTNLPTLLWKLVEVIPEGAMLRLGMTNPPYILEHLEEMAKILNHPRVYAFLHIPVQSASDSVLMEMKREYCVADFKRVVDFLKEKVPGIT 种属同源性预测 |
| 宿主/亚型 | Rabbit / IgG |
| 抗体类别 | Polyclonal |
| 产品类型 | Antibody |
| 全称 | CDK5 regulatory subunit associated protein 1-like 1 |
| 别名 | CDK5 regulatory subunit-associated protein 1-like 1, EC:2.8.4.5, Threonylcarbamoyladenosine tRNA methylthiotransferase, tRNA-t(6)A37 methylthiotransferase |
| 计算分子量 | 579 aa, 65 kDa |
| 观测分子量 | 60-65 kDa |
| GenBank蛋白编号 | BC121020 |
| 基因名称 | CDKAL1 |
| Gene ID (NCBI) | 54901 |
| RRID | AB_2879192 |
| 偶联类型 | Unconjugated |
| 形式 | Liquid |
| 纯化方式 | Antigen Affinity purified |
| UNIPROT ID | Q5VV42 |
| 储存缓冲液 | PBS with 0.02% sodium azide and 50% glycerol, pH 7.3. |
| 储存条件 | Store at -20°C. Stable for one year after shipment. Aliquoting is unnecessary for -20oC storage. |
背景介绍
Cell cycle progression is controlled, in part, by a family of cyclin dependent kinases (Cdks) that work to phosphorylate key substrates involved in each phase of cell cycle progression. Cdks are the catalytic subunits of serine/threonine protein kinases, a large family of proteins that act as regulators of the eukaryotic cell cycle. CDKAL1 (Cdk5 regulatory subunit associated protein 1-like 1) is a 579 amino acid single-pass membrane protein that contains one TRAM domain and is similar to Cdk5 regulatory subunit associated proteins (CDK5RAPs). Expressed in pancreas, brain and skeletal muscle, CDKAL1 uses iron as a cofactor and is involved in glucose-stimulated INS secretion. Defects in the gene encoding CDKAL1 impair INS secretion and are associated with the development of type 2 diabetes. Multiple isoforms of CDKAL1 exist due to alternative splicing events. This antibody recognizes the 65kd isoform of CDKAL1.
实验方案
| Product Specific Protocols | |
|---|---|
| IF protocol for CDKAL1 antibody 22988-1-AP | Download protocol |
| IHC protocol for CDKAL1 antibody 22988-1-AP | Download protocol |
| WB protocol for CDKAL1 antibody 22988-1-AP | Download protocol |
| Standard Protocols | |
|---|---|
| Click here to view our Standard Protocols |
发表文章
| Species | Application | Title |
|---|---|---|
Adv Sci (Weinh) CDKAL1 Drives the Maintenance of Cancer Stem-Like Cells by Assembling the eIF4F Translation Initiation Complex | ||
J Clin Invest CIAO1 loss of function causes a neuromuscular disorder with compromise of nucleocytoplasmic Fe-S enzymes | ||
EMBO J CDKAL1 dysfunction impairs lysine codon translation in podocytes and accelerates chronic kidney disease.
|





